네이트
판
검색창 열기
판 검색
검색어 삭제
검색
홈
톡톡
팬톡
기자 PICK 판
MY
톡톡쓰기
'인비'
검색결과
전체검색
톡톡
426개
정확도순
정확도순
최신순
인기순
조회순
댓글순
얼짱 홍영기 부산에서 교정 받는 중?
(123)
얼짱시대7
|
12.11.28 13:48
어제 선여정이올린 동영상본사람
(48)
ㅇㅇ
|
17.07.17 17:32
[국내여행] 아름답고 친절한 통영 갔다왔어요~
(120)
wow
|
14.02.11 23:32
치아교정때문에 걱정입니다.
(150)
이놈의돌출입
|
12.06.15 17:01
[ㅈㄱㄴ] 음지에 익숙해진다는게 무서운게
(1)
ㅇㅇ
|
23.09.17 19:24
[이민] 29에 퇴사 고민합니다
(39)
ㅊ
|
19.09.01 23:05
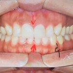
[댓글부탁해] 치아교정 후 중앙라인이 안맞아..
(2)
냥냥냥
|
24.07.19 02:43
[도와주세요] (+추가) 우리 할머니의 다리를 돌려주세요 (완주군...
(21)
헬롱이
|
13.11.14 00:59
[도와주세요] 새아빠를 고소하려고 합니다
(11)
봉봉
|
18.10.10 01:56
고어물 영화 추천
(10)
ㅇㅇ
|
19.08.19 14:27
이전
6
7
8
9
10
다음
맨위로