본문 바로가기
책갈피

치아교정 중심선안맞는거 티나나요?

여자 |2016.10.29 22:20
조회 41,910 |추천 3
방탈죄송합니다ㅠㅠ

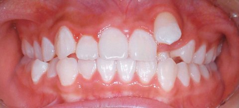
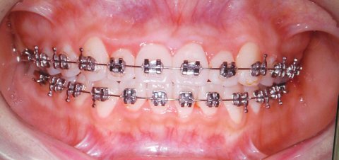
치아교정 6년했어요
원래 2~3년 해야될걸 제가 3년동안 방치해서..
의사님이 이정도면 잘된거라구 언능 빼는게 좋다고하셔서
오늘 유지장치 본뜨고 3일뒤에 빼기로했거든요
근데 중심선안맞는게 걸리네요...
의사님말씀들어야할지 아님 한달만 더 할지 고민이에요ㅠㅠ


오늘


하기 전
추천수3
반대수13
베플|2016.10.30 02:27
조금 안맞긴한데 교정안해본 사람들이 보면 모를정도인듯 그래도 이왕 시간 돈 들여서 하는거 의사선생님한테 중심선 더 정확하게 맞추고싶다고 말해보세요
베플ㅇㅇ|2016.10.30 15:38
우리나라 사람들은 왜 이렇게 중심선에 집착하지...;;;; 중심선이 문제가 아니라 교정후 턱관절이 아픈지 안아픈지, 전체적으로 치아가 고르고 불편함은 없는지가 더 중요한겁니다. 중심선 맞고 나머지가 털리면 교정 다시해야하고 돈은 두세배로 더 들어요. 중심선은 필수요소가 아닌데, 가끔가다 꼭 중심선에 집착해서 그거 맞추면서 교정하다가 턱관절 다 나가고 불편해서 재교정 하는 사람들 꽤 많이 봄...

공감많은 뉴스 시사

더보기

뉴스 플러스