본문 바로가기
책갈피

뒷다리골절 아이 좀 도와주세요

엄지영 |2019.05.08 13:08
조회 191 |추천 2

#김제보호소 #교통사고 #뒷다리골반복합골절 #사지말고입양하세요 #유기견입양 #살수있게도와주세요 #치료받을수있게도와주세요

교통사고 당한채로 길에 누워있던 아이라며 시청으로 신고가 들어온 아이입니다

얼마나 무섭고 두려우면 앉은자리에서 오줌을 싸며 아픈다리를 끌고 자리를 피하려할까요ㅜ.ㅜ

당장 병원으로 달려가야하지만 현실은 병원비 걱정에 망설이며 주저하고 있습니다

이아이는 또 어찌해야할까요..
뼈가부러진 고통을 고스란히 견디고 있는 이아이에게도 희망이란게 오긴올까요..

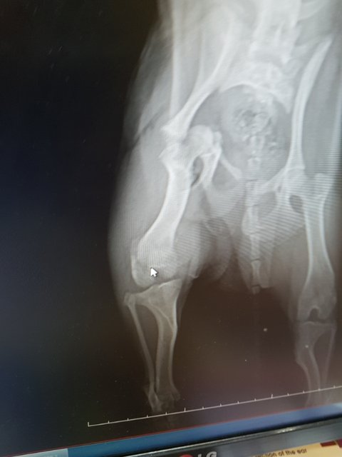
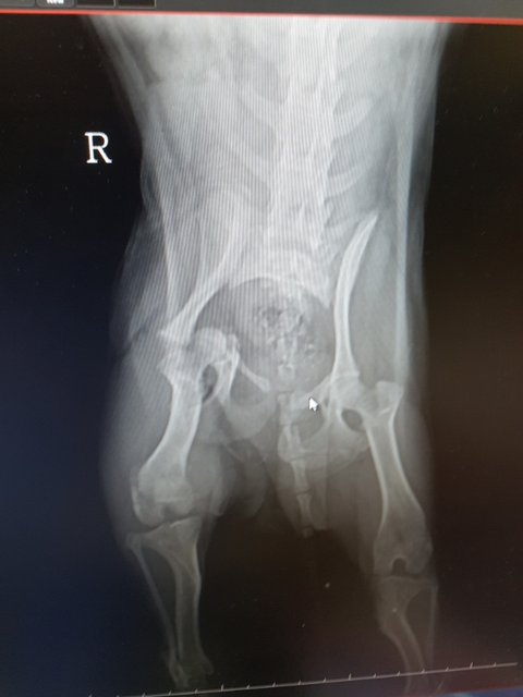
검진을 다녀왔습니다
골반뼈..무릎뼈..복합골절..
다리부분에 피멍이 잔뜩 들어있습니다

그리고 사상충..

수술비만 백만원이 넘는비용을 감당할 자신이 없습니다
진통제 처방만 받아 왔습니다

보호소로 다시 보낼수없어 임시거처에 몇일 부탁드렸습니다

전신피부병에 폐렴인 살구도 치료해야하는데
눈앞이 막막하기만 합니다

어찌해야할까요..
어쩌면 좋을까요..
앞이 보이지않는 깜깜한 터널에 갇힌 기분입니다

여아 1~2살 3.9키로

작고 여린 이아이가 느끼고있을 고통은 어떻해 표현할수 있을까요..
혹시라도 아이 치료받을수 있게 도움주실수 있는분들이 계실까요..

도움문의 010 9109 4461

추천수2
반대수0

공감많은 뉴스 시사

더보기

뉴스 플러스