본문 바로가기
책갈피

내 이빨 좀 제발 도와주셈

쓰니 |2026.02.07 14:01
조회 366 |추천 0
여기까지 와서 이렇게 간절히 도움을 요청하게 될 줄 몰랐습니다...

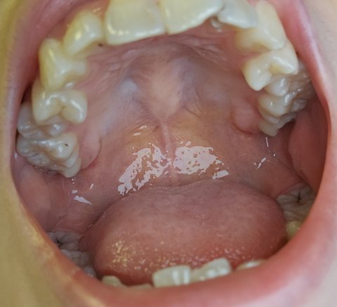
제가 어렸을때부터 조금 빈곤하게 자라왔고 가정환경이 안 좋았다보니 양치질도 잘못배워서 초~중학생때부터 양쪽 상하 어금니에 충치가 자리잡아있었는데요.

고등학교 때부터 올바른 양치질을 터득하고 열심히 관리했지만 충치+치석+ 이빨 깨짐이 이미 생겨버려서...

현재 제 나이 22살, 빨리 직장 생활 시작하고 이제 돈도 제가 어느정도 벌어서 치료를 시작하려고 하는데 정말 너무 막막하고 눈물만 나와요... 마음같아선 다 발치갈기고 임플란트 심어버리고 싶을 정도로 막막해요.

교합도 맞춰야되고 잇몸도 신경써야하고 누군 크라운 안 좋다 레진해라, 신경치료 하면 치아뿌리 10년 뒤에 녹아있다 하는데 도대체 어떻게 해야할지 모르겠어요...

피부과 성형외과보다 더 덤탱이 씌우는게 심한게 치과인데 충치치료 양심있게 잘 해주는 서울 병원없나요...

정말 제 치아를 살리고 싶고 이젠 정상적인 치료를 받고 싶어요 제발 살려주세요...
치과 전문의분들이 보신다면 제발 도와주세요.....

이 젊은 나이에 외모도, 옷도 예쁘게 차려입고 다니는데 정작 밝게 웃어보질 못합니다... 아무나 도와주세요

(+앞니는 벌써 이렇게 깨졌어요...언제 반토막 날지도 모르겠는데 치과 알아보느라 아직도 방치중이에요...)

(+경기권이라도 괜찮아요 충치치료 잘하는 치과 제발 소개해주세요)



추천수0
반대수0

세상에이런일이베스트

  1. 自然語 자연어댓글0
더보기

공감많은 뉴스 시사

더보기

뉴스 플러스