네이트
판
검색창 열기
판 검색
검색어 삭제
검색
홈
톡톡
팬톡
기자 PICK 판
MY
톡톡쓰기
오늘의 판
톡커들의 선택
명예의 전당
전체목록
일간
주간
월간
연간
전체
일상톡
10대톡
연예톡
이전날
10.11
2019.10.12
10.13
다음날
이전
다음
닫기
41
은혜 갚는 까치
(0)
조회
4,856
|
추천
26
42
팬레터문구 노트에 적는다는 여자아이돌
(2)
조회
2,990
|
추천
24
43
방탄 지민 화법?이라고 해야하나
(1)
조회
1,428
|
추천
34
44
방탄콘 개노잼...
(6)
조회
6,622
|
추천
39
45
내가 믿고 듣는 가수들
(2)
조회
2,301
|
추천
23
46
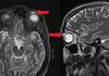
20년간 못 찾은 콘택트 렌즈
(1)
조회
10,205
|
추천
14
47
트와이스 또 광고 찍었네
(3)
조회
1,681
|
추천
16
1
2
3
4
5
이전날
10.11
2019.10.12
10.13
다음날
맨위로
뉴스 플러스
경북 경주서 가드레일 충돌한 승용차 추락…60대 여성 4명 숨져
가스 배관 타고 온 스토커 자매살인까지 단 3분 20초…울산자매 살인사건
1219회 로또 1등 당첨번호 '1·2·15·28·39·45'번…1등 당첨지역 어디?
감 따다 들키자 되레 '막대기 난타'…전치 5주 부상 입힌 50대 여성 실형
남편 장례식 후 친해진 친척, 알고보니…'수면제 김밥' 먹이고 절도
"앗, 커피 남았네" 다시 홀짝홀짝…텀블러 안에선 충격 변화
"딸, 결혼 꼭 해야 해" 괜한 잔소리 아니었다…미혼 여성, 기혼보다 암 발병률 85% 높았다
현대해상
라이나생명
DB손해보험
치아보험
자동차보험
AXA손해보험
아이파크몰
건강보험
암보험