본문 바로가기
책갈피

((눈가주름정복))눈가주름 없애고 탄력을 불어넣자! 눈가주름이제 Good bye

안재영 |2011.07.21 11:17
조회 107 |추천 0

 

 

 

 

]나이가 들어감에 따라 눈가주름은 깊어만 가고....

눈가 주름 왜 생기는 걸까요???

 

눈가의 피부는 우리 몸의 피부 중 가장 얇습니다. 지방이 거의 없고, 피지의 분비가 아주 적어 건조합니다. 얼굴의 다른 부위는 모공을 통해 피지가 충분히 공급되지만 눈 주위와 입술은 피지선이 거의 없어 분비량이 매우 적습니다. 

눈가 피부는 항상 외부에 노출되어 있습니다. 얼굴 피부가 다 그렇지만 항상 노출되어 있으므로 자외선, 바람, 건조한 공기, 찬 공기 등의 자극에 대처하기 어렵습니다. 

얼굴에는 감정이 그대로 나타나기 마련입니다. 화를 내기도 하고, 즐겁게 웃기도 하는 인간의 다양한 표정은 눈가의 주름을 만들게 됩니다.

잦은 눈 화장과 짙은 눈 화장 또한 눈가의 주름을 만드는 원인입니다. 

눈 주위의 피부는 노화가 가장 먼저 눈에 띄게 나타나는 곳입니다.(눈가주름) 때문에 여성이라면 누구나 신경이 많이 쓰이는 곳이죠. 20대 중반으로 접어들면서 잔주름이 생기는가하면 30대가 되면 눈꺼풀이 아래로 쳐져 눈이 작아보이기까지 하기도 합니다. 날이 갈수록 깊어가는 주름.. 

 

멋있는 헐리우드 배우도 피부노화 즉 눈가주름을 피할수는 없겠죠??

` 그런데 눈가주름이 있어도 이 배우들은 다들 왜이렇게 잘나고 이쁘고 멋있는겨~!

나도 눈가 주름으로 이렇게 고민해야할바엔 이사람들처럼 잘났으면 좋겠다는 생각이

 

이놈의 주름 내나이 몇이라고...하긴 제가 좀 나이를 먹긴 먹었지만서도,,

하아 서럽네요...더 늙어서 눈가에주름이 자글자글 거리기 전에 결혼이라도 해야할텐데..ㅋㅋ

 

 

[요즘 눈가 주름 도 시술로 많이 하시고 보톡스도 맞고 그러는듯한데..

이게 과연 좋을까요?

 

 

일단 보톡스를 맞는거 자체가 비추천입니다..

눈가주름 팔자주름 이마주름 등등 보톡스 시술이 많이 퍼져있는데

사람들이 일시적효과를 보고 가는것입니다. 나중엔 중독되서 ,,,

 

특히 20대에겐 보톡스가 정말 안좋다고하네요

저도 나름 만 29세니..

ㅋㅋㅋㅋㅋㅋㅋ

 

아무튼 주름 때문에 시술따위 받지 맙시다 에잇!

그래서 오늘은 제가 눈가주름에 혁신적 케어제품 ! 추천하는 제품이 있습니다.

 

바로바로바로바로바로바로바로바로

 

리더겐의 "콜라겐영거아이"


 

 

미국에서 기능성 화장품으로 인정받고 온 리더겐이라는 회사 제품인데요

기능성제품이라 역시 효력하나 좋더군요!!

제 눈가주름에도 효과가있었구요 다르분들 눈가주름도 책임져줄거에요!ㅋㅋ

 

리더겐 "콜라겐영거아이" 의 효과

 

노화방지 , 피부세포부활작용, 피부탄력, 수분공급, 붓기제거

 

이렇게 있네요 주름 없애고 탄력주고 촉촉하게해주고 붓기도 빼주고  말만들어도

 

내 눈가주름이 쏵 펴지는 그런 느낌?ㅋ

 

 

 

사용법은 위와 같으며
 기초제품을 바른후 소량의크림을 짜내어 눈가부위(특히 눈가주름)에 발라주세요

 

 손으로 가볍게 두드린후 흡수시켜줌.

 

 

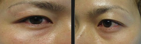
아래사진은 제 눈가 사진인데요 주름이 아직 자글자글해서..챙피하네요..

 

제눈가주름 이상해도 제가 찍은 후기 잘 봐주세요~



 

 

 

 

 

솔직히 말하면 저도 처음쓰기전에는 뭐가 눈가 주름에아무리좋다하더라고 에이~

사실 무시하는 경향이 없지 않아 있엇지요..

눈가 주름이 막 많은건 아니지만 아닌가,;

 아무튼 별로 그렇게 처음엔 신뢰가 안갔지요

 

 

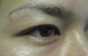
근데 한달뒤에 찍은사진.. 솔직히 그냥 한달뒤에 찍었을때 비슷한거같은데 이생각하고있는데

비교해보니까 정말 눈가에 주름이 많이 펴졌더라구요..?? 더 열심히 발라보았지요

 

오호 좀 바뀌어보이는가요?ㅋㅋ

눈가에 주름대신 탄력이 붙은듯.!? 그런느낌~?ㅋㅋ


 

다 한달 단위로 찍었는데요

콜라겐영거아이 

어때요?

 

좀 믿을 만한가요?

 

지금 제눈이 이상해요ㅋㅋ 막 많이 달라진것도 아닌데

되게 눈에 탄력이 붙은것 같고 그냥 기초만 발라도 촉촉하고

주름도 거의없고 눈가주름엔 역시 리더겐이에요!ㅋㅋ


 

 

이사진은 그냥..너무 이뻐서;;ㅋㅋㅋㅋ 아 나도 저런 눈 코 입 갖고 싶다..

 눈가에 주름하나 없는 이쁜 눈, 오똑한 코, 앵두입술까지 캬아

내가저러면 남자들이 줄을서겠지

 

 

아무튼 제 포스팅 봐주셔서 감사하구요

눈가주름에 눌리지맙시다 저처럼 될수있어요!

 

눈가 주름 없애고 탄력적으로 한번 만들어봅시다~ㅋㅋ

 


추천수0
반대수0

공감많은 뉴스 시사

더보기

뉴스 플러스