본문 바로가기
책갈피

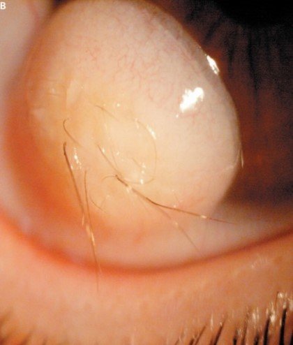
눈에 털이 난 남성

작은공포 |2014.09.12 20:50
조회 169,313 |추천 57

 

 


이란 남성 A씨는 어릴적부터 눈에 작은 유피낭종(일종의 종양)이 있었지만

아주 작은 크기였고 아프지도 않아서 그냥 무시하며 지냈지만

이후 성장하면서 낭종도 같이 성장하고 결국 이정도 크기까지 자랐습니다.

아프진 않았지만 눈을 깜빡일때마다 눈에 이물질이 있단 느낌이 너무 심하게 느껴져 제거수술을 받았습니다.

제거된뒤 한동안은 시력이 엄청나게 낮아졌지만 이후 회복 됬다고 합니다.

참고로 유피낭종은 심한경우 털이나 땀샘, 물렁뼈등이 생기며 최악의 확률로 치아가 생기기도 한다고 합니다

ㅡㅡㅡㅡㅡㅡㅡㅡㅡㅡㅡㅡㅡㅡㅡㅡㅡㅡㅡㅡㅡㅡㅡㅡㅡㅡㅡㅡㅡㅡㅡㅡㅡㅡㅡㅡㅡㅡㅡㅡㅡㅡ

공포,유머,섹시,플래쉬게임 등 

많은 자료가 매일 업데이트 되는 공포속작은공간 사이트 찾아주세요.


http://www.gongmini.com

추천수57
반대수5
베플|2014.09.13 05:21
치아는 어떻게 생겨요??? 아오 끔찍해라 ㄷㄷ
베플ㅇㅎ|2014.09.13 02:54
으어... 심각해지면 눈에서 이빨이 난다는거아녀
베플솔직한세상|2014.09.13 03:14
외국에 안구에 털난 남자가 아니라 세월호법 제정에 집중합시다 ------------- http://pann.nate.com/talk/324194408 ------------- JTBC "국정원 해명과 달리 17척 가운데 세월호만 국정원에 보고" 신경민 "내용과 정황 보면 국정원이 소유주처럼 행세" http://www.viewsnnews.com/article/view.jsp?seq=112796 ------------- ‘국정원이 실소유주?’ 국정원의 그림자 http://www.sisainlive.com/news/articleView.html?idxno=20946 -------------- 항해사들 “문건 사실이라면 세월호 오너는 국정원” 국정원 지적사항 문건 항해사들도 ‘갸우뚱’ … 문건 작성 경위, 청해진해운 관계 밝혀야 http://www.mediatoday.co.kr/news/articleView.html?idxno=118015 --------------- /

이미지확대보기

공감많은 뉴스 시사

더보기

뉴스 플러스