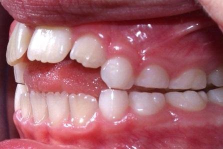
어릴때 손가락 빨던 버릇이 커가면서도 안사라지면
이렇게 이가 기형적으로 자라날수가 있다고 합니다.
손가락이 입에 계속해서 들어갔다 나왔다 하면서 코브라 처럼 볼록 해지는건 덤.
http://www.nullstory.com/horror
무서운거 좋아하시는분 놀러오세요~^^
무서운 이야기, 사진, 기묘한 이야기, 2ch 번역괴담등등
무서운이야기 많아요..
어릴때 손가락 빨던 버릇이 커가면서도 안사라지면
이렇게 이가 기형적으로 자라날수가 있다고 합니다.
손가락이 입에 계속해서 들어갔다 나왔다 하면서 코브라 처럼 볼록 해지는건 덤.
http://www.nullstory.com/horror
무서운거 좋아하시는분 놀러오세요~^^
무서운 이야기, 사진, 기묘한 이야기, 2ch 번역괴담등등
무서운이야기 많아요..