본문 바로가기
책갈피

치과원장선생님과의 문제, 법률 및 의학자문 필요합니다ㅠㅠ

이가아파요 |2015.05.27 16:37
조회 640 |추천 0
치과치료
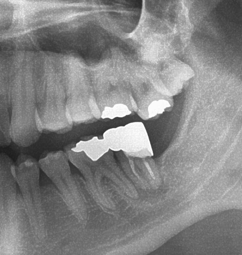
[배경]약 3년전 동네치과의원 A선생님께 진료를 받았습니다. 1차 진료시, 어금니 치아 뿌리가 많이 썩게되어, 신경치료 후 골드 크라운을 씌우라고 권유를 받았습니다. 당시에는 치료를 잘 받아서 2년동안은 아무런 이상없이 지냈는데, 치료후 2년1개월째가 되는 시점에 치료한 치아에서 통증이 발생되었습니다. 
즉시 치과의원 A선생님께 2차 재진료를 해보니, 신경치료시 남은 잔뿌리가 전부 제거가 되지않아 내부에서 염증을 일으켰다고 진단하였습니다. 의사선생님도 어느정도의 의료과실을 인정하시어 1. 재신경치료 혹은 2. 임플란트를 하자고 제안했고, 이에 발생하는 비용은  6(A선생님):4(본인)로 나누자고 하셨습니다. 저역시 이에 동의하여 둘중 고민하다가 재신경치료를 하기로 결정하였습니다. 
재신경치료를 받기전, 아시는분을 통해서 CT 촬영을 받을수있었는데, CT 판독에는 염증이 상당히 많이 퍼져, 신경과 뼈에 구멍이 났으며 여기로 계속 고름이 차오르는 상태니, 발치후 임플란트를 하라고 권유받았습니다. 
위 CT판독결과를 A의사선생님께 말씀드리자, 임플란트하기에는 나이가 어린편이니 재신경치료를 해서 회복을 지켜보고 그래도 차도가 없으면 임플란트를 하자고 하여, 저도 이에 동의해 2차 신경치료를 하였습니다. 만약 재신경치료가 실패하여 3차치료로 임플란트를 하게될시 이에 대한 비용은 3(환자):1(A선생님)으로 해주시겠다고 하셨었습니다. 
[문제발생]
그뒤 2달뒤, 재신경치료한 치아에서 통증이 다시 재발하여 최후의 수단인 임플란트를 하러 갔지만,  이 치과의원의 원장님이 새로운 B선생님으로 바뀌셨다고 알게되었습니다. B선생님은 A선생님한테 제 챠트와 진료기록을 다 넘겨받으셨다고 하시면서, 앞으로 치과치료를 자기한테 진행하라고 말씀하셨습니다. 새로오신 B원장님 역시 제 상황에 대해서 들으셔서 A선생님과 약속한 임플란트 총금액에서 3(환자):1(A선생님) 비용으로 처리해주시겠다고 하셨습니다. 
그러다가 몇주동안의 수소문 끝에 A원장님이 다른지역에서 병원을 개원하신걸 알게되었고, 끝내 전화통화가 되었습니다. 치아가 다시 안좋아져서 임플란트를 해야될것같다고 말씀드리자 자기는 B원장님한테 인수인계를 했기때문에, 그쪽에서 치료를 하라고 하시면서, 자기 새로 개업한 병원은 위치상 너무 멀기때문에 안될것같다고 하시더라고요. 전화상이였지만, 왠만하면 안왔으면 좋겠다고 계속 피하셨는데,, 어찌해야 되지요?
[문의]
1. 법률적으로 A선생님이 B선생님한테 진료차트와 기록지를 인수인계하면, 제가 앞으로 발생하는 치아의 문제점은 B선생님이 책임을 지시는건가요? 
2. 향후 치과치료를 처음 진료를 진행해주셨던 A선생님께 받아야하는게, 제가 법적으로 금전적으로 보호받을수있는 최선의 길인가요? 
A선생님이 실력이 없는건 아닙니다. 최선의 선택으로 저한테 판단을 내려주셨고, 선택은 제가 한것이였고요. ㅠㅠ 


















아래는 X-ray 사진입니다. 파노라마에 조금 혐오가 있으신분들을 위해 미리 알려드립니다. 








 

추천수0
반대수0

공감많은 뉴스 시사

더보기

뉴스 플러스