본문 바로가기
책갈피

교통사고 아이소식 입니다

엄지영 |2019.05.12 12:24
조회 9,564 |추천 31

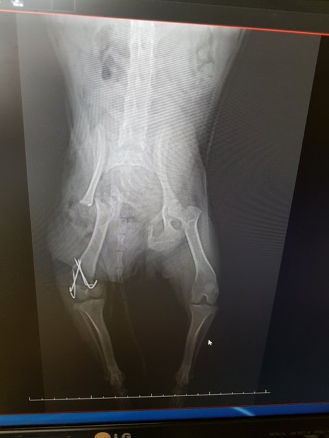
#김제보호소 #뒷다리골반복합골절 #수술했습니다 #사상충치료해야합니다.

작은 몸으로 기특하게도 잘 견디어주고 있습니다

골반은 플레이트를 지지해줄 지지대가 없어 어긋난 골반뼈만 잘라주고 자리를 잡아주셨다고 합니다

다리는 뼈가 어긋나 붙고있어 어긋난 부분을 바로잡고 부러진부분엔 플레이트를 되어 고정했다고 합니다

병원쌤께서 손으로 일일이 떠먹여주고 계세요

힘든수술에 아플만도 하건만 끙소리 한번 안내는 모습이 너무 안쓰럽습니다

일주일정도 입원해 경과를 보며 사상충치료를 시작하려합니다

아이가 네다리로 걷는 날까지 최선을 다해 돌보도록 하겠습니다

추천수31
반대수0

공감많은 뉴스 시사

더보기

뉴스 플러스