본문 바로가기
책갈피

그물에 다리가 휘감겨 잘라낼 수 밖에 없었던 새끼냥

귀여운다롱이 |2019.11.24 23:55
조회 923 |추천 20

 

 

가슴아픈 아이의 이야기를 올립니다.

유튜브에도 동영상을 올렸습니다.

음성을 자세히 들을 수 있도록 배경음악을 넣지 않았습니다.

볼륨을 크게 키우고 끝까지 대화내용을 들어보시기 바랍니다.

아이의 면회, 그리고 원장님의 수술 브리핑, 그리고 사고현장을 방문해서

사고경위등을 조사하는 내용으로 동영상을 꾸몄습니다.

그물에 다리가 휘감겨 잘라낼 수 밖에 없었던 새끼냥

https://www.youtube.com/watch?v=AGJ2CyIRwFY

그리고 미처 소개하지 못한 아래의 영상도 많은 시청 부탁드립니다

 

길고양이의 교통사고

https://www.youtube.com/watch?v=mAqbC2LgC_s

 

소원이를 내년 봄까지 데리고 있으려고 했는데

https://www.youtube.com/watch?v=a88xqib9wWw

 

소원이, 병원에 데려갔지만

https://www.youtube.com/watch?v=SNKLuSFI_AE

 

위급한 소원이를 위한 긴급 이동 겨울집 제작 설치

https://www.youtube.com/watch?v=tv0Xkxm2q8Q

 

죽이려면 곱게 죽이라옹 - 곰이 중성화수술 대작전

https://www.youtube.com/watch?v=UxHE3kUOGpI

 

사료에 섞인 이상한 액체의 정체는?

https://www.youtube.com/watch?v=OV-buSeZ7Y8

 

    

 

 

병원에 들어서니 이런 팻말이 눈에 뜨이네요.

레오나르드 다빈치가 이런 명언을 남겼군요.

 

 

 

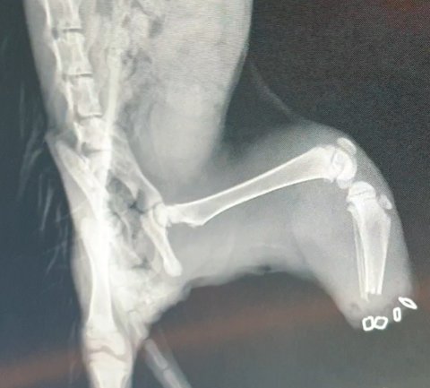
너무 어린 녀석입니다.

어쩌다 그물에 걸려서...

 

 

 

 

무릎 바로 아래를 잘라냈다고 합니다.

 

 

 

 

이 녀석은 이제 길거리로 돌아갈 수 없을 것 같네요.

이 노릇을 어떡하나요

멀쩡한 아이도 입양보내기가 하늘의 별따기인데 이런 장애가 있는 아이를 어떻게 입양을 보내나요?

이 녀석을 받아줄 마음씨 좋은 집사님이 계실까요?

 

 

 

 

대로변 바로옆 바로 이 사료터를 이용하며 살고 있는 아이 입니다.

어미가 얼머 전 소개햇던 쥐 끈끈이가 온 몸에 휘감겨 엉망이 되어 있다는 그 녀석입니다.

지금은 그루밍으로 모두 제거했더군요.

 

 

 

프라임 아주머니가 가리키는 곳인데 생각보다 먼 곳이네요.

발견한 것이 용합니다.

 

 

고양이의 접근을 막으려고 이런 그물과 차광막을 설치한 것인데

고양이의 출입을 막은 것이 아니라 고양이를 잡았네요.

 

 

 

달이엄마님이 매일 출퇴근길에 길아이들을 돌봐 오셨는데 아이들이 보이지 않아

여기 밑에까지 내려와 봤다가 발견을 했다고 합니다.

달이엄마님은 직장인 감자탕 가게와 집까지의 거리가 상당히 먼 거리임에도

출퇴근 길에 있는 길아이들을 돌보기 위해 걸어서 출퇴근을 하신다고 합니다.

프라임 아주머니께 매달 사료를 한 포씩 지원해 주시고 간간히 저와 프라임 아주머니께

감자탕을 보내 주십니다.

입에 녹을듯이 맛이 있는데 가게이름과 위치를 공개해도 될지 몰라서 일단 언급은 하지 않겠습니다.

 

 

 

잠은 가파른 언덕 중턱에 놓여진 여기 스티로폼 집에서 살고있나 봅니다.

이 녀석을 입양 보낼 수 있을까요?

제발 좋은 천사분이 나타나 주셨으면 좋겠습니다.

추천수20
반대수2

공감많은 뉴스 시사

더보기

뉴스 플러스