본문 바로가기
네이트
판
마이
검색창 열기
판 검색
검색어 삭제
검색
홈
톡톡
팬톡
배틀톡
기자 PICK 판
톡톡쓰기
오늘의 판
톡커들의 선택
명예의 전당
전체목록
책갈피
맨위로
이 게시글을 책갈피 합니다.
MY에서 그룹관리가 가능합니다.
그룹관리하기
그룹을 선택해주세요.
등록
취소
책갈피 완료!
MY > 즐겨찾기에서 확인하세요.
책갈피 해제 완료!
10대 이야기
+ 톡 채널 보기
교정한 애들 질문잇다
ㅇㅇ
|
2025.06.12 15:00
조회
2,261
|
추천
0
톡 공유하기
댓글
2
댓글쓰기
기능 더보기
크게보기
신고하기
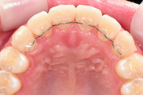
이거 위아래로 붙여야되잖아 진짜 혀에 개 거슬릴것 같은데 어떰?
추천
추천수
0
반대
반대수
0
네이트온 보내기
카카오톡 보내기
카카오스토리 보내기
페이스북 보내기
트위터 보내기
URL복사
댓글
2
댓글쓰기
10대 이야기
+ 톡 채널 보기
인기 톡 채널
[댓글부탁해]
[드루와]
[19]
태그
위아래
교정
질문
기숙학원
가슴수술
10대 이야기
베스트
유튜브 프리미엄 근황
댓글
28
스타벅스 논란 팩트
댓글
101
남친이랑 학벌차이 많이 나는데
댓글
101
와 산범 둘째 생김
댓글
8
남친 정떨어지는데 내가 너무 못됐나
댓글
10
더보기
명예의 전당
지하철 자리 때문에 괜히 하루 기분이 찝찝했던 이야기
어제 퇴근길 지하철에서 있었던 일인데 아직도 좀 찝찝합니다. 사람이 많은 시간이라 서서 가고 있었는데 마침 앞자리에서 한 분이 내리면...
댓글
145
친구가 여친 생겼는데 말리고 싶다
약 30년 넘은 베프가 있어 가족들끼리도 가족이나 다름 없지 4살인가 5살때부터 한 동네 살던 친구니깐 그 친구가 결혼 하고 싶은 애 생겼...
댓글
114
시부모님 생신 며느리가 다 챙겨야하나요?
저희 시어머님께 뭐드시고 싶냐 여쭤봐도 아무거나 언제 시간 되냐고 여쭤봐도 아무때나 이런거에 질려서 이번엔 가만히 있었어요 어찌저...
댓글
108
아이유 출연료 60억 실화임?
12부작 회당 5억 총 60억, 이거 사실이면 대한민국에 미래는 없는듯 ㅠ 저런 형편없는 연기력의 아이유가 60억?
댓글
348
핍과 전문의들이 말하는 갱년기 관리법
이거 도움이 되었으면 좋겠다!!
댓글
42
더보기
추천 많은 톡
아이유 출연료 60억 실화임?
추천
603
시부모님 생신 며느리가 다 챙겨야하나요?
추천
511
와..나 상위 30%였네.
추천
345
스타벅스 레전드 병크
추천
334
제 생일보다 친구 여행을 우선한 남친, 제가 예민한 건가요?
추천
307
댓글 많은 톡
아이유 출연료 60억 실화임?
댓글
347
37살인거 저도 압니다. 눈 많이 낮췄는데도 터무니없이 소개해 주는 결정사 어이없네요.
댓글
227
제 생일보다 친구 여행을 우선한 남친, 제가 예민한 건가요?
댓글
220
임신한 와이프가 가출하고 혼자 출산했습니다.
댓글
165
와..나 상위 30%였네.
댓글
158
새로운 베플
베플
에어팟 영상봣는데 ㅋㅋ 난 선우인지 누군지 잘 모르는데 말투며 표정이며 이미 연예인병 단단히 걸렷더라; 싸가지 없어 듣보가
덥즈 선우 연예인한테 저격당함
댓글
20
베플
이수현이 지치는것도아니고 니가 왜지침 ㅅㅂㅋㅋ
악뮤 이수현 또 요요왔노
댓글
5
베플
친동생인거잖아. 그럼 여자가 진짜 이기적이고 공감능력도 없는거지. 본인 동생이나 부모님이 오늘내일 했다고 하면 개난리났을듯. 역지사..
임신했는데 이 정도도 못 해 줌?
댓글
9
베플
여기저기 플랫폼에 숨겨져 있는 쿠팡 광고 좀 그만 봤으면 좋겠음
유튜브 프리미엄 근황
댓글
28
베플
먼가 한이어린?전형적인 동양미인상 조선시대에 억세게 살아온 가련한 청순미녀느낌
지킥 세경씨 개이쁘지않냐
댓글
131
더보기
공감많은 뉴스
연예
1
"14살 때 성폭행 피해" AOA 출신 권민아, 18년 만에 가해자 처벌했다
전체 공감 수
401
2
'대군부인' 방미통위, 지원금 회수 검토···역사왜곡 후폭풍
전체 공감 수
233
3
'21세기 대군부인' 작가, 가장 늦게 사과…"내 불찰, 죄송합니다" [전문]
전체 공감 수
205
4
송지은♥박위, 결혼 19개월만에 2세 발표…"시험관 시술 도전" (동상이몽)[종합]
전체 공감 수
136
5
"우리 스타된다고"…자만한 '대군부인', 아이유·변우석 역사왜곡 예고된 참사였다 [Oh!쎈 초점]
전체 공감 수
131
6
MC몽, 2차 폭로 나섰다…"김민종·차가원 작은 아버지, 돈으로 거짓 만들어"
전체 공감 수
116
7
곽튜브 아들, 완성형 미모 근황
전체 공감 수
114
8
'대군부인' 감독, 끝내 눈물…"아이유·변우석 연기력? 제가 주문한 거죠"
전체 공감 수
95
9
문근영, 후덕했던 '유퀴즈' 모습 사라졌다…꽃단장으로 180도 달라진 비주얼
전체 공감 수
91
10
"삼가 고인 명복"…'결혼지옥' 시한부 아내 사망, 시청자 '울컥' [TV온에어]
전체 공감 수
80
11
하림 "5·18로 오빠 잃은 엄마의 아들"…'폭동-대머리' 비하 악플러에 사이다 분노
전체 공감 수
73
12
강동원, 대학 동문의 귀여운 폭로글 "아주 나쁜 사람"…"민폐 아니었던 것 같은데"
전체 공감 수
73
13
검찰, 나나 자택강도男 징역 10년 구형 "범행 엄중"
전체 공감 수
70
14
박위, 선 넘는 추측에 해명 "♥송지은 도움 없이 직접 소변줄, 좌약 사용"(동상이몽2)
전체 공감 수
67
15
'재혼' 10기 옥순♥유현철, 파경 위기 맞았다 "10개월간 말 안해, 소송이혼 준비"(이호선상담소)[종합]
전체 공감 수
65
이전
1
2
3
4
5
다음
더보기
공유하기
네이트온
카카오톡
카카오
스토리
페이스북
트위터
URL복사
닫기
뉴스 플러스
"내일 스벅 가야지"…'탱크데이' 논란에 기름 부은 야당의 황당 SNS
"집 비운 날도 시끄럽다 항의"…'층간소음 가해자' 누명 쓰고 살해된 아버지
"이러다 관절 다 녹는다"…의사가 식탁에서 치우라고 경고한 '이 음료'
CJ 여직원 정보 유출 '비상'…"2차 피해 우려"
25톤 트럭이 뒤에서 '쾅'…산소 다녀오던 일가족 4명 참변
식당서 물컵으로 입 헹구고 뱉기 반복…노부부 '식탁 양치' 눈살
미성년자 9차례 성폭행한 前 충주시 공무원…항소심서도 '집유'
현대해상
라이나생명
DB손해보험
치아보험
자동차보험
AXA손해보험
아이파크몰
건강보험
암보험