본문 바로가기
책갈피

광우병에 관심을 가져 주시기를...!!! 부디!!!

박수준 |2008.04.28 00:39
조회 89 |추천 2


 

안녕하세요.

저는 취업준비를 하고 있는 20대초반의 대학생입니다. (내일이 당장 시험인데 이런글을 쓰게 되었네요.) 저는 지금 '미국산 쇠고기수입' 에 대해서 잠시 언급하고자 합니다.

"이런글 읽을 시간이 어딨어, 취업공부해야지, 시험공부해야지" 이러면서 이글을 그냥 지나치지 말아주십시오. 이글은 지금 취업보다, 공부보다 우리의 코앞에 당장 처해진 현실입니다. 받아들이기 싫은 현실이죠. 특히 군인인 친구나, 가족이 있으신 분들이나, 10대청소년들을 가진 어머니나들은 더욱 이글을 읽어주셨이면 합니다. 미국산쇠고기가 수입되면 먼저, 그리고 제일많이 가는 곳이 군대, 학교급식 일테니까요. 10분만 시간을 내어 읽어주시기 바랍니다.

 

 

 

먼저'미국산 쇠고기 수입' 에 대한 이야기의 원인이 되는 '광우병' 부터 알아보겠습니다.

 

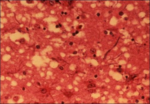
옆의 사진을 보시면 광우병에 걸린 소의 뇌사진입니다. 이렇게 광우병에 걸린 소를 인간이 먹으면 우리도 광우병에 걸리게 됩니다. 인간도 광우병에 걸리면 뇌에 저렇게 구멍이 나는거죠. 저렇게 뇌에 구멍이 생기면 어떻게 될까요 ? 공격적 성향, 무감동증 등의 정신적인 증상이 먼저 나타난다고 합니다. 이어서 기억장애 감각장애, 무언증 인지장애 등이 나타난다고 합니다. 이것은 치매와 비슷하죠. 그리고 이 광우병은 치료방법도 없습니다. 치료방법은 커녕 광우병의 원인인 프라이온이란 것은 200도의 고온에서도 죽지 않는 다고 하죠.

그리고 광우병은 잠복기가 있어서 그 증상이 바로 나타나지 않는다고 합니다. 그리고 그 증상이 치매와 비슷하기 때문에, 광우병인지, 치매인지 정확히 알 수가 없죠. 그래서 학자들중에서는 광우병환자들이 정확하게 밝혀지지 않는 경우가 많다고 합니다. 실제로 광우병을 확인하려면 두개골안을 봐야 한다고 합니다. 하지만 치매환자의 경우 그렇지 않죠. 가족들 또한 허락해 주지 않겠죠?  (가족이 광우병에 걸렸다는것이 판명되면 자신들 또한 안전하다는 보장은 없을테니까요.)

 즉 광우병에 걸리면 손쓸 방법은 전혀 없을 뿐더러, 자기가 죽어간다는 것 자체도 못느끼고 죽게 되는 겁니다.

 

    

 

 

 

 

 

 

 

             <미국에서 소들아 사육되는 농장>                 <미국산 소들이 먹는 도살된 소의 뼈>

 

그러면 광우병은 왜 생기는 걸까요?

저렇게 끔찍한 광우병은 초식동물인 소의 사료에 육류를 넣어서 그렇다고 합니다. 그리고 그 육류는 다름아닌 소들의 머리와 내장을 갈아서 만드는 것이라고 합니다. 자연의 이치를 거스르는 거죠.

이렇게 사료에 육류를 넣어서 소를 사육하는 나라가 바로 미국입니다.

이러한 미국에서 우리나라는 지금 쇠고기를 수입하려고 하는 겁니다.

이러한 광우병은 99%가 30개월 이상의 소에서 발견된다고 합니다. (일본에서 검역한 결과 30개월 미만의 소에서도 광우병이 발견되었다고도 합니다.) 그리고 광우병위험물질은  눈, 뇌, 편도, 머리뼈, 등뼈, 척수, 소장 이 7가지에 많다고 합니다. (이런 광우병은 수혈로도 걸릴 수 있다고 합니다.)

    

 

 

 

 

 

 

 

 

 

 

그러면 왜, 대체 왜! 이러한 미국에서는 광우병에 걸린이들이 많지 않을까요?

그 이유는 바로 미국인들은 이렇게 사육된 소를 먹지 않는다는 겁니다. 미국은 쇠고기의 80%를 호주에서 수입하고 있습니다. 그리고 미국에서는 20개월 미만의 소만 먹습니다. 뿐만아니라 미국에서 유통되는 소들의 검역절차는 아주 까다롭습니다.

 

반면 우리나라가 받아들이려는 쇠고기는 어떠한 것일까요?

30개월 이상의소이며 뼈까지 들여온다고 합니다. 그리고 우리가 수입하려는 소들은 아주좁은 곳에서 사육되죠. 30개월 이상인지 아닌지 활인할수 있는 소는 20%도 채 되지 않는다고 합니다.

그리고 신기하게도 우리나라 사람들은 세계 다른나라들과 달리 위험물질이 들어있는 부위들을 먹는다는 겁니다. 뼈를 고아서 만드는 곰탕, 소머리국밥, 소장주위에 있는 곱창을 먹고 등뼈와 연결되어 있는 갈비등 아주 많죠.

그리고 우리나라 사람들은 세계에서 광우병에 걸릴 확률이 높은 유전자형을 가지고 있다고 합니다. 단백질 유전자형은 MM, MV, VV형 세가지가 있는데 지금까지 확인된 환자는 모두 MM유전자형이라고 하네요. 유럽이나 미국인의 경우 MM형이 38%지만 우리나라는 95%에 달한다고 하네요.(5%만이 남는다... 영화 '나는 전설이다'처럼 되겠군요...)

 

미국소 먹기 싫으면 한우 먹으면 된다? 다른음식 먹으면 된다?!

과연 우리가 미국산 쇠고기를 수입하면 한우와 미국산쇠고기를 잘 구분해서 먹을 수 있을까요? 모든 음식점, 정육점에서 한우와 미국산을 철저하게 구분해서 팔게 될까요? 그리고 다른 것들은 괜찮을까요?  <<세계적으로 곡물가격의 급등함에 따라 우리나라 축산농가들이 타격을 입고 있다고 합니다. 사료값을 충당하지 못해서이죠. 사료값은 오르는데 돼지값이라고 오르지 않을까요? 그리고 지금 우리나라에는 AI까지 발생하고 있죠.>>

그리고 "소고기만 안먹으면 되는거 아니냐? 대통령된지 얼마 되었다고 벌써부터 이렇게 반대를 하는가? " 이런 생각하시는 분들이 계실겁니다. 하지만 이렇게 쉽게 생각하고 넘길 정도가 아닙니다. 우리의 생각보다 쇠고기가 들어가는 곳은 아주 많습니다. 많이먹는 라면의 라면스프, 화장품, 알약에 사용되는 캡슐, 젤리등 약 600여가지 가 된다고 합니다. (다치거나 아프면 알약도 수혈도 못하네요.)

 

채식주의자도 광우병에 걸린 환자가 있다?

수십년간 채식만 해온 사람도 광우병에 걸려서 화제가 되었죠. 그는 왜 광우병에 걸리게 되었을까요? 바로 도살한 소의 내장과 뼈를 갈아서 닭의 사료로 주고, 다시 그 닭의 배설물은 농작물을 재배하는 거름으로 쓰이게 되고, 그 농작물을 먹은 사람이 광우병에 걸리게 된 것이죠.

(정말 끔찍하겠죠? 먹을 음식이 없다는 것은..)

 

왜 이렇게 끔찍한 것을 수입하려고 할까요?

(정치적인 문제를 되도록이면 얘기하고 싶지는 않습니다만.) 현 대통령은 안전하다고 말씀하시죠. 그리고 먹기 싫으면 안먹으면 되지 않느냐? 라고 하십니다. 하지만 그것이 과연 국민들 마음대로 될까요? 위와 같이 600가지가 넘는 제품들을 우리가 안 먹을 수 있을까요?

우리가 이렇게 미국산소를 받아들이는 이유가 FTA협상을 위한 것이라고 합니다. 다른 나라는 어떠할까요? 일본은 미국산쇠고기중 뼈가 발견이 되자 바로 수입금지를 내렸다고 하죠. 우리나라 협상은 가능할까요? 불가능합니다. 광우병환자가 발생하더라도 불가능하다고 합니다. 향후 70년 동안은 말이죠. 

 

???

제 생각엔 근본적인 문제가 사라지는 것이 좋다고 생각합니다. 광우병이 일어나지 않게 하는 것이죠. 우리나라에 들어오지 않는 것도 중요하지만, 다른나라 사람들 또한 걸릴 수 있으니까요.

미국에서도 광우병에 관한 사실들은 계속 은폐되고 있죠. 왜냐하면 축산업이 미국의 산업중 엄청난 부분을 차지하기 때문이죠. 그리고 지금 미국의 대통령인 부시는 소위 비프벨트(소축산업 지대)의 엄청난 지지를 받고 있죠. 만약에 이후 미국대통령이 매캐인(공화당)의원이 된다면 축산업은 그대로 진행될겁니다. 하지만 오바마(민주당)의원이 대통령이 되면 달라집니다. 오바마는 미국소들의 사료를 동물성에서 식물성으로 바꾼다고 했죠. 이렇게 식물성으로 바꾸면 광우병이 일어나지 않겠죠?

 

하지만 그것은 향후의 문제이고, 우리는 지금 당장 쇠고기를 수입하게 되었습니다. 이것을 막으려면 여러분들의 관심과 가족, 친구들에게 이 사실을 알리고 막는 것이 중요하다고 생각합니다. 아무리 대통령이라도 국민들의 대다수가 반대하는 것을 혼자서 찬성할 순 없을테니까요. 자세한 방법들을 찾는 것은 여러분들이 찾으시리라 생각합니다.

 

긴글 읽어주셔서 감사합니다.



<EMBED name=contents_copy pluginspage=http://www.macromedia.com/go/getflashplayer align=middle src=http://img.pann.com/images/flash/contents_copy.swf width=550 height=47 type=application/x-shockwave-flash flashVars="xmlFile=http://pann.nate.com/board/board.do?action=copy_content_info%26boardID=2574403%26postMyCount=4" quality="high" bgcolor="#ffffff">

추천수2
반대수0

공감많은 뉴스 시사

더보기

뉴스 플러스