본문 바로가기
책갈피

신장암에 대해서..

안현수 |2009.04.11 13:47
조회 1,900 |추천 0

신장의 해부학적 위치, 구조 및 기능

신장의 해부학적 위치 및 구조

신장(콩팥)은 횡격막 아래, 척추의 좌우에 한 쌍으로 존재하는 장기로, 복강 뒤쪽의 후복막강에 위치하며, 신장의 위쪽에는 부신이 존재합니다.

신장은 정상 성인에서 길이가 10-12cm, 폭은 5-7cm, 두께는 약 3cm의 크기로 무게는 약 130-150gm정도이며, 적갈색의 완두콩모양을 하고 있으며, 간 때문에 우측신장이 좌측신장보다 1cm정도 더 낮게 위치하며, 일반적으로 여성의 신장이 남성보다 조금 작습니다.

신장은 신장 고유의 기능을 하는 신실질과 생성된 소변의 배출과 관계된 집합계(신배와 신우)로 크게 나누며, 신우는 요관과 연결됩니다.

그림 1. 신장의 해부학적 구조

신장의 기능

신장의 가장 중요한 기능은 체내의 노폐물을 여과해서 소변을 만들어내는 것으로 노폐물 제거 및 대사물질배설에 관여하며, 인체의 수분균형 및 전해질균형, 산-알칼리성 유지, 호르몬과 비타민을 생성하여 다른 장기의 기능을 조절(혈압조절 호르몬 분비, 칼슘대사 조절 비타민합성, 빈혈과 관계된 적혈구 생성조절 등)하는 중요한 기능을 담당하고 있습니다.

신장암의 정의

신종양은 발생하는 위치에 따라 신실질에서 발생하는 종양과 신우에서 발생하는 신우암으로 구분하며, 신실질의 종양은 다시 신장에서 발생한 원발성 종양과 다른 장기에서 전이한 전이성 종양으로 구분되나 대부분은 원발성 종양입니다. 그 중에서 85%정도는 악성 신세포암이므로 일반적으로 신장암이라고 하면 신실질에서 발생하는 악성종양인 신세포암을 말합니다.

윌름씨종양이라고 하는 신모세포종은 소아에서 가장 흔한 고형 신종양으로 주로 7세 이전에 발생하고 3세 경에 그 발생빈도가 가장 높습니다.

신장암의 발생현황

신장암은 미국에서는 연간 약 3만명 정도의 새로운 환자가 발생하며, 우리나라에서는 2000년 중앙암등록 자료에 따르면 1,276명의 환자가 발생하여 전체 암발생의 1.5%를 차지하고 있습니다. 특히 남성이 여성에 비해 2배정도 많이 발생하는데, 2000년에 남성에서 891명의 환자가 발생하여 남성암의 장기별 등록분율 1.9%로 열 번째로 많이 발생하는 암입니다.

신장암은 40대∼60대에서 흔히 발생하여, 연령별 발생현황(2000년 중앙암등록 자료)을 보면 60대가 가장 흔하며(350명, 27.4%), 50대(317명, 24.8%), 40대(245명, 19.2%)의 순으로 많이 발생합니다. 최근에는 건강검진, 초음파검사 등의 보편화로 조기에 발견되는 경우가 점점 많아지는 추세입니다.

신장암의 원인

신세포암의 원인은 명확하게 밝혀져 있지는 않지만 위험인자로는 크게 환경적 요인, 유전적 요인, 기존의 신질환을 갖은 경우 등으로 나눌 수 있습니다. 환경적 요인으로는 흡연, 비만(특히 여성), 고혈압과 그 치료제, 여성호르몬제 복용 등과 함께 과다한 동물성 지방섭취 등의 식이 습관, 유기용매나 가죽, 석유제품 종사자, 납 등의 중금속에 직업적 노출 등이 거론되고 있습니다. 한편 다낭종신 같은 신기형이나 신결석, 장기간의 혈액투석 같은 기존 질병이 위험인자로 알려져 있기도 합니다. 또한 TGF-α, β등의 성장인자와 그 수용체와의 관련성도 대두되고 있으며, Von Hippel Lindau증후군이라는 병과 관련된 경우 등 유전적 요인도 관여하는 것으로 알려져 있습니다.

신세포암의 발병원인 및 위험인자를 정리하면 다음과 같습니다.

환경적 요인

 - 흡연(1.3-2.3배의 위험도)

 - 비만(1.2-3배의 위험도, 특히 여성의 경우)

 - 고혈압(1.2-3배의 위험도)과 치료제, 이뇨제, 여성호르몬제, phenacetin 등의 진통제 장기 복용

 - 과다한 동물성지방 섭취, 튀기거나 심하게 구워진 육류 섭취

 - 특정 직업(탄광, 석면, 가죽, 유기용매, 석유제품, 납, 카드뮴등의 노출)종사자

기존 신질환

 - 만성신부전으로 장기간 혈액투석중인 환자
    특히 후천성 신낭종이 발생한 환자의 4-9%에서 신장암발생, 30-100배의 위험도

 - 신결석, 신감염, 다낭종신과 같은 신기형이 있는 환자

유전적 요인

 ○ von Hippel Lindau 증후군(1/36,000 신생아)
     소뇌와 척수의 혈관아세포종, 망막혈관종, 양측성 신세포암, 갈색세포종 등 발생 염색체 3번
    단완에 위치한 VHL 유전자의 억제

    - 환자의 1/3에서 신세포암 발생

 ○ 유전성 유두상 신세포암(HPRC)

   - c-Met protooncogene의 돌연변이와 관련, 상염색체우성 유전

   - 양측성 다발성 신세포암

 ○ 가족성 투명세포 신세포암

 ○ 가족성 신호산성 과립세포종

그 중에서도 흡연은 가장 유력한 원인 인자로 흡연자는 비흡연자에 비해 2배 이상의 위험성이 있으며, 흡연량과 관련이 있어 신세포암의 약 30%는 흡연과 연관성이 있다고 합니다.

 

신장암의 일반적 증상

신장암의 대부분을 차지하는 신세포암은 초기에는 대부분 증상이 없고 어느 정도 종양이 진행된 상태에서 발견되는 경우가 많아 첫 진단시에 환자의 1/3정도는 이미 다른 장기로 전이된 상태로 발견됩니다. 특히 신세포암은 고유의 증상이나 소견이 없고, 다양한 증상과 징후를 보여 다른 내과적 질환에 대한 검사도중에 발견되는 경우가 많고 다른 장기로의 전이에 의한 증상으로 발견되는 경우도 많습니다.

신장암의 가능성이 있는 징후로는 소변에 피가 섞여 나오거나, 옆구리통증이 지속적으로 있는 경우, 복부에 혹 덩어리가 만져지는 경우가 있으며, 비특이적 전신 증상으로 피로감, 식욕부진, 체중감소, 발열, 빈혈 등이 있으나, 조기 진단되는 대부분의 환자들은 아무런 증상이 없습니다.

신세포암의 전형적인 3대 증상과 그 발현 빈도는 옆구리의 통증이 40%의 환자에서, 혈뇨(소변에 피가 나오는 것)가 60%, 만져지는 복부의 혹 덩어리가 45%에서 발현되나 이러한 3대 증상이 모두 나타나는 경우는 전체의 10-15%에 불과하며 이런 경우는 대부분 진행된 상태입니다.

신세포암에서 특이한 증상으로는 종양세포가 생산하는 특정 호르몬 또는 종양에 대한 면역반응으로 발생하는 부종양증후군이라는 증상으로써 고혈압, 고칼슘혈증, 비전이성 간기능 이상(발열, 피로, 체중감소 등의 전신증상), 적혈구 증가증, 단백성 장질환, 여성형 유방, 성욕감퇴, 다모증, 무월경증, 남성형 탈모, 유즙분비 등 아주 다양한 증상을 유발합니다.

이러한 부종양증후군의 발현 정도는 아래 표와 같습니다.

표 1. 신세포암에서 부종양증후군의 발현빈도

증 상

빈 도

빈혈

20 - 43%

고혈압

24 - 40%

전신쇠약감, 피로, 체중감소

20 - 33%

발열

20 - 30%

고칼슘혈증

10 - 20%

비전이성 간기능 이상

3 - 20%

적혈구 증가증

3 - 10%

장질환

3 - 4%

신경근 병변

3%


신세포암은 진단당시 약 30%의 환자는 호흡곤란, 기침, 두통, 뼈의 통증 등 다른 장기로의 전이로 인한 증상 때문에 발견되는데, 신장암의 전이 부위는 폐(50-60%), 림프절(30-40%), 간(30-40%), 골(30-40%), 부신(20%), 반대편 신장(10%), 뇌(5%) 등으로 다양합니다.

신장암의 진단방법

신세포암은 고유의 증상이나 소견이 없고, 다양한 증상과 징후를 보이며 특히 초기에는 아무런 증상이 없어 복부초음파 등의 영상진단법외에는 조기발견이 어려운 질환입니다. 이러한 신세포암을 진단하는 방법으로는 다음과 같은 방법들이 있습니다.

이학적 검사

배에서 혹이 만져지거나, 갑자기 고혈압이나 남성에서 정계정맥류(음낭에 고환에서 나오는 정맥인 정계정맥이 늘어나서 지렁이가 얽혀있는 것 같이 만져지는 것)가 발생할 수 있으나 비특이적입니다.

임상병리검사

신종양을 진단하는 특이적인 임상병리검사는 없습니다. 혈뇨(현미경적 또는 육안적), 빈혈, 혈구침강속도증가가 발견 될 수 있으나 비특이적이며, 부종양증후군에 의한 적혈구증가증, 고칼슘혈증, 간기능 이상 등이 있습니다.

영상진단법

복부초음파촬영은 비침습적이며 복강내 여러 장기를 함께 관찰해 볼 수 있는 효율적인 검사로써 신장에 비정상적인 종물(혹)이 발견되면 단순낭종(물혹), 복합성낭종, 고형종물(덩어리) 여부를 판단하게 됩니다. 만약 초음파검사에서 단순한 낭종(물혹)이 아닌 복합성낭종이거나 혹덩어리(고형종물)로 생각되면 복부전산화단층촬영을 시행하여 악성종양인지 여부와 병기(병의 진행정도)를 판단하고 치료 방침을 결정하게 됩니다.

전산화단층촬영은 신종물의 평가에 초음파검사나 배설성요로조영술보다 정확하며, 신혈관 주위(신문부), 신장 주변, 신정맥, 하대정맥, 부신, 국소림프절 및 주위 장기로의 침윤 여부를 파악할 수 있어 신세포암의 병기를 결정하고 치료 계획을 세우는데 가장 중요한 검사입니다.

그 외 다른 장기로의 전이 유무 확인을 위해 흉부촬영, 골주사 검사 등을 시행하게 됩니다. 각각의 영상진단법의 특징은 아래와 같습니다.

○ 단순 흉부 촬영

폐전이 유무를 관찰하기 위해 시행하며, 단순 흉부 촬영에서 폐전이가 의심되는 경우에는 흉부 전산화단층촬영, 의심되는 전이병소에 대한 세침흡입생검을 시행하기도 합니다.

○ 배설성요로조영술

신실질에 발생한 신종물을 평가하기에는 불충분하며, 신윤곽의 변화, 신배의 이상, 신실질내의 석회화음영 등의 소견이 있는 경우에는 신종물을 의심하게 됩니다.

○ 복부초음파촬영

초음파 촬영은 비침습적인 검사로, 신질환을 진단하는데 가장 효율적이고 일차적인 검사로써, 신종물에 대해 낭성종물과 고형종물을 감별하게 됩니다.

○ 복부전산화단층촬영(CT scan)

신종물의 평가에 가장 중요한 검사로, 혈관, 국소림프절 및 주위장기 전이유무를 판단하여 임상적 병기 결정하게 됩니다.

○ 자기공명영상(MRI)

신세포암의 진단에 기존의 전산화단층촬영보다 큰 장점은 없으나 신종양이 하대정맥을 침범하여 신종양혈전이 존재하는 경우 그 종양혈전의 범위를 평가하는데 효과적입니다.

○ 신동맥조영술

주로 신장이 하나 뿐인 환자(반대편 신장의 기능부전이 있는 경우 포함)에서 발생한 신세포암이나 양측신장에 발생한 신세포암의 경우 신보존술을 시행하기 전에 혈관분포를 파악하기 위해서, 혹은 수술이 불가능하여 신동맥색전술을 시술할 때 시행합니다.

○ 골주사

골전이가 의심될 때 전이 유무를 판단하기 위해 시행합니다.

그림 2. 다발성 폐전이가 있는 단순 흉부 촬영사진

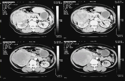
그림 3. 큰 우측 신세포암의 전산화단층촬영사진

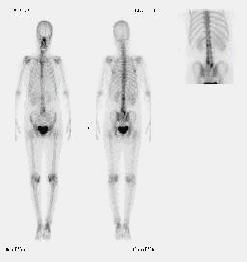
그림 4. 다발성 척추전이가 있는 골주사사진

그림 5. 우측 신장암환자의 신동맥조영술사진

세침흡인 및 생검

여러 영상검사에서 신종물이 의심되는 경우에 선택적으로 세침흡인이나 생검을 시행하게 됩니다. 즉 세포흡인이나 생검은 수술적 치료외에 면역화학요법이나 다른 치료를 시행하기 전에 조직학적 진단목적을 위해, 전이가 의심스러운 병소의 확진을 위해, 원발성 신종양과 전이 신종양이 잘 감별되지 않을 때 시행되며, 낭종성 신종물 중에서 신장암이 의심되는 경우에는 천자흡입액검사를 시행하여 악성종양과 감별하기도 합니다.

요약하면 일단 신장에 암으로 의심되는 혹이 발견되면, 병의 상태와 정도를 알아보는 병기검사를 하게 되며, 병기검사에는 일반적으로 단순 흉부촬영(필요시 흉부 전산화단층촬영), 복부 전산화단층촬영(혹은 MRI촬영), 골주사 검사 등이 시행되며, 필요시 신동맥조영술이나 세침흡인 또는 조직검사가 시행되기도 합니다.

신장암의 감별 진단

신세포암과 감별이 필요한 신종물로는 신낭종, 양성 신종양, 신우종양 등이 있으며, 단순신낭종과 신세포암은 초음파촬영만으로도 대부분 감별이 되나, 구별이 잘 안되는 경우에는 전산화단층촬영을 시행하게되며, 낭성 신세포암이나 복합낭종의 경우는 더욱 세심한 주의를 요합니다.

양성 신종양으로는 신선종, 신호산성과립세포종, 신혈관근지방종 등이 있으며, 신농양, 타 장기 종양이 신장에 전이된 전이 신종양 등도 감별을 요하는 질환입니다. 신우에서 발생하는 신우암은 거의 대부분이 요상피에서 발생하는 이행상피세포암으로써 신종양의 약 5%정도를 차지하며, 방광암이 있는 환자의 약 2-3%에서 발생합니다. 신우암은 경정맥요로조영술, 역행성신우조영술, 요세포검사, 전산화단층촬영 등으로 진단하게 됩니다.

신장암의 병기

신세포암의 병기는 주로 TNM병기와 Robson병기의 두 병기분류체계가 이용됩니다.

최근에 많이 사용되는 TNM 병기체계는 다음과 같습니다.

○ 국소병기

T1 : 7cm이하 신실질내 종양

T2 : 7cm이상 신실질내 종양

T3 : Gerota근막을 넘지 않은 신 외 종양

T3a : 동측부신, 신외 지방조직 침범

T3b : 신정맥, 횡격막하부 대정맥 침범

T3c : 횡격막상부 대정맥 침범

T4 : Gerota근막을 넘어 침범한 종양

림프절병기 (N)

N0 : 림프절 전이 없음

N1 : 국소림프절 한 개 전이

N2 : 국소림프절 두 개 이상 전이

○ 원격전이(M)

원격전이는 M0(원격전이 없음)과 M1(원격전이 있음)으로 구분하며 다음과 같습니다.

- 제 1기(T1N0M0) : 신장내에 국한되어 있는 직경 7cm이하의 종양

- 제 2기(T2N0M0) : 신장내에 국한되어 있는 직경 7cm이상의 종양

- 제 3기(T3N0M0, T1-3N1M0) : 신피막 밖의 신외 지방조직이나 부신을 침범하였으나Gerota 근막(신장과 신주위 지방, 부신을 싸고 있는 고유의 막)은 넘지 않은 경우, 신정맥이나 하대정맥을 침범한 경우, 또는 하나의 신장주위 림프절전이가 있는 경우

- 제 4기(T4, N2, M1) : Gerota근막을 넘어 장이나 췌장 등의 주위 장기를 침범한 경우, 2개 이상의 림프절전이가 있는 경우나 다른 장기로의 전이가 있는 경우로 구분합니다.

○ 병리학적소견을 토대로 한 Robson병기 체계는 과거에 많이 사용하였으며 다음과 같습니다.

- 제 I 기 : 신실질내에 국한된 종양(T1-2N0M0)

- 제 II 기 : 신피막외로 침윤이 있으나 Gerota근막 내에 국한된 종양(T3aN0M0)

- 제 III 기 : 신장주위혈관이나 림프절전이가 있는 경우

IIIa : 신정맥이나 하대정맥 등 신장주위혈관을 침범한 경우

IIIb : 신장주위 림프절전이가 있는 경우

- 제 IV 기 : 신장주위의 다른 장기를 침범하였거나 원격 전이가 있는 경우(T4, M1)로 분류합니다.

신장암의 치료

신세포암의 치료는 암의 병기와 환자의 연령, 전신 상태, 동반된 다른 질환의 유무 등에 따라 결정하게 되는데, 현재로서는 수술로 병소를 제거하는 것이 최선이며, 다른 장기에 전이가 있는 경우는 면역요법이나 면역화학요법 등을 시행하게 됩니다.

신세포암은 일반적으로 방사선치료나 항암화학요법에 잘 반응하지 않으므로 철저한 수술적 치료가 완치를 위해 필수적이므로, 신장 이외의 장기에 전이가 없는 국한된 신세포암의 경우는 근치적 신적출술이, 경우에 따라 부분신절제술, 복강경하 근치적 신적출술 등이 시행되며, 다른 장기에 전이가 있거나 재발성 신세포암의 경우에는 전이 병소 절제술, 신적출술 등의 수술적 치료, 인터루킨-2나 인터페론을 이용한 면역요법, 항암화학요법과 면역요법을 병용한 면역화학요법 등이 사용됩니다.

각각의 치료는 병기와 환자의 상태, 병의 상태에 따라 최선의 방법을 선택하게 되며, 암에 혈액을 공급하는 혈관을 차단하는 신동맥색전술, 전이부위에 대한 방사선치료, 새로운 임상시험 등도 적용됩니다.

병기에 따른 신세포암의 치료

다른 장기로의 전이가 없는 국한된 신세포암의 경우 선택할 수 있는 치료방법은 크게 다음과 같습니다.

? 수술적 치료

원칙적으로 근치적 신적출술이 시행되며, 경우에 따라 신장의 일부분을 제거하는 신원보존수술이 시행됩니다. 근래에는 복강경하 근치적 신적출술, 손을 이용한 복강경하 신적출술(HALS)등이 선택적으로 시행됩니다.

? 신동맥색전술

주위장기로의 침윤이 심해 종양절제가 불가능하거나, 동반된 다른 질환이나 고령 등의 이유로 수술의 대상이 되지 않거나, 또는 수술을 기피하는 환자에서 차선의 방법으로 선택할 수 있습니다.

신종양으로 인해 조절할 수 없는 통증이 있거나, 부종양증후군 등이 있을 때 시행하기도하며, 드물게 수술 전에 시행하기도합니다.

? 보조적 면역화학요법

술 후 병리학적병기가 높은 경우에 시도되고 있으나, 그 효과에 대해서는 논란이 많습니다.

전이(또는 재발) 신세포암의 경우 1% 미만에서 전이 병소가 자연 소실되었다는 보고도 있으나, 이를 기대하기는 어려운 상황으로 일반적으로 아래와 같은 치료를 시행합니다.

? 수술적 치료 : 일부 환자에서 신적출술이나 전이병소 절제술이 제한적으로 시행되며, 특히 원격전이가 한곳에만 있는 경우(특히 폐나 뼈의 단독전이)에는 수술적 제거가 생존율향상에 도움을 줍니다.

? 신동맥색전술 : 출혈, 통증, 부종양증후 증상 등의 치료와 다른 치료의 보조적인 치료로 시행되기도 합니다.

? 방사선치료 : 골전이 등으로 통증이 심하거나 뇌나 척추 등에 전이가 있을 때 시행합니다.

그 외에 전신 항암화학요법, 면역요법, 면역화학요법 등이 있습니다.

? 임상시험 : 조혈모세포, 수상돌기세포 등을 이용한 시험적 치료가 있습니다.

양측성 신세포암은 약 1-2%에서 발견되는데 이러한 경우에는 큰 종양이 있는 신장은 근치적 신적출술을 시행하고 반대쪽 신장은 부분신절제술 또는 체외부분신적출술 및 신자가이식술을 시행하고, 이와 같은 방법이 불가능할 때에는 양측 근치적 신적출술 및 신이식 또는 혈액투석을 시행하기도 합니다.

신세포암의 수술적 치료

국한적 신세포암의 치료의 원칙은 근치적 신적출술로써, 근치적 신적출술은 Gerota근막내의 장기인 신장, 동측부신, 상부요관 및 신혈관주위(신문부)림프절절제술을 시행하는 것으로 이때 신정맥이나 하대정맥 등에 정맥내 혈전이 있으면 같이 제거하게 됩니다.

근치적 신적출시에는 수술중 혈행성 전이를 막기 위해 신동맥 및 신정맥을 조기에 결찰한 후 신장 주위를 박리하게 되며, 이때 시행하는 림프절절제술의 치료적 효과에 대해서는 논란이 있습니다.

신원 보존수술은 신장의 일부분만을 제거하는 수술로 단신(반대측 신장이 없거나 기능부전이 있는 경우)에 생긴 신세포암이나 신기능부전이 있는 경우, 양측성 신세포암의 경우에 주로 사용되며 최근에는 조기에 발견된 작은 신세포암에 대해 선택적으로 신원보존수술을 시행하는 경우가 증가하고 있는 상황이나, 신세포암의 경우 여러 군데 생기는 다발성의 경우가 5-10%에서 있고 남아있는 신장에서 재발할 수 있는 위험성이 있어 보다 적극적인 추적관찰이 필요합니다.

전이 신세포암의 경우에는 종양으로 인한 출혈, 통증, 부종양증후군증상이 심할 때, 면역요법 시행전 등의 경우에 신적출술을 시행하기도 하며, 선택적으로 전이병소 절제술을 시행하기도 합니다.

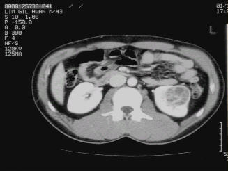
그림 6. 좌측 신장암의 전산화 단층촬영사진

그림 7. 근치적 좌신적출술후의 육안사진

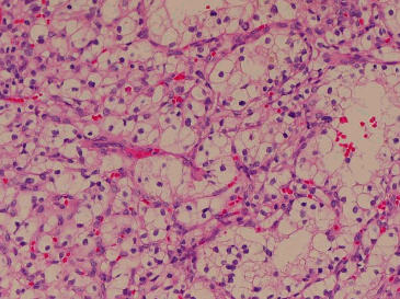
그림 8. 신세포암의 현미경사진(투명세포암)

전이 신세포암의 비수술적치료

건강 검진의 활성화와 초음파 검사 등 영상진단법의 보편화로 최근에는 조기에 진단되는 신세포암이 증가하고 있으나, 아직도 약 30%의 환자는 이미 다른 장기로 전이된 상태에서 발견되고, 국한된 신세포암으로 근치적 신적출술을 시행한 경우에도 병기에 따라서는 20-30%에서 재발하는 것으로 알려져 있고, 이들 전이 또는 재발 신세포암은 치료가 어려운 경우가 많습니다. 재발 또는 전이 신세포암의 비수술적치료로는 크게 호르몬요법, 항암화학요법, 면역요법, 임상시험 등으로 나눌 수 있습니다.

○ 호르몬 요법

에스트로겐이 신세포암의 원인이 되다는 가설에 근거하여, 프로게스테론, 안드로겐, 항에스트로겐제제 등을 사용하는 치료로 그 효과는 미미하고, 일시적입니다.

○ 항암화학요법

빈블라스틴, 5-FU 등의 항암제가 시도되었으나 효과는 미미합니다.

○ 면역요법

인터페론-알파, 인터루킨-2, 종양침윤 림프세포 등 여러 면역억제제나 면역 세포를 이용하는 방법으로, 인터페론이나 인터루킨을 기본으로 한 면역치료가 현재까지는 전이 신세포암에 가장 효과적이라고 알려져 있으며, 항암제와 같이 사용하는 면역화학요법(인터페론-알파 + 인터루킨-2 + 5-FU, 인터페론-알파 + 빈블라스틴 등)이 많이 사용되며, 그 치료 효과는 일반적으로 10-30%정도로 알려져 있습니다.

○ 방사선요법

통증이 심한 골전이 부위나 수술적 처치가 어려운 뇌나 척추 등의 전이가 있을 때 시행합니다.

○ 임상시험

면역요법이 현재까지 전이 신세포암의 치료에 가장 효과적이지만, 그 치료효과가 낮아 이를 극복하기 위한 여러 실험적 치료가 시도되고 있는데, 대표적인 것으로는 면역유전자치료, 수상돌기세포를 이용한 종양백신치료, 말초골수이식을 통한 이식편대 숙주반응을 이용한 치료, 신생혈관형성억제물질을 이용한 치료 등이 있습니다.

그림 9. 우측 신세포암에 대해 신동맥색전술을 시행한 사진

신세포암의 예후

신세포암 환자의 예후를 예측할 수 있는 예후인자는 여러 가지가 있으나 그 중에서도 병의 진행정도를 나타내는 종양의 병기가 가장 중요하며, 신적출술 후에도 부종양증후군 증상이 지속되거나, 술전 체중 감소가 심한 경우 등에는 예후가 불량한 것으로 알려져 있습니다.

전이 또는 재발 신장암환자에서는 환자의 활동성, 수술후 무병기간, 신적출술 시행여부, 타 장기로의 전이정도와 전이부위 등이 예후와 관계가 있습니다. 이와 같은 임상적 소견이외에 환자의 예후와 관계가 있는 병리조직학적 소견으로는 종양의 크기, 종양의 세포분화도, 육종양형종양유무, 종양세포의 이배체성, p53발현 등이 있으나, 무엇보다도 가장 중용한 것은 림프절 침범, Gerota근막 외부까지의 침범, 인근장기로의 침윤유무 등의 병리학적 병기입니다.

병기에 따른 신세포암의 5년생존률은 다음과 같습니다.

- 제1기 : 88-100%

- 제2기 : 63-88%

- 제3기 : 34-59%

* 전이가 없는 T3a-b 병기의 경우는 수술적으로 완전히 제거한 경우에는 T2병기와 예후가 유사하여 5년생존률이 47-69%입니다.

- 제4기 : 0-20%

신장암 치료의 부작용

근치적 신적출술을 시행한 경우에는 일반적인 수술에 따른 합병증인 출혈, 감염, 술후 통증과 함께 장폐색, 기흉 등이 발생할 수 있으며, 신동맥색전술의 경우에는 출혈, 발열 및 통증, 조영제 과민반응, 색전증 등과 함께 복막자극에 의한 구역 및 구토, 색전물질에 의한 타 장기의 허혈성 손상이 초래될 수 있으나 대부분의 경우 큰 부작용 없이 시술이 이루어집니다.

면역화학요법 시행시에는 감기유사증상을 포함한 면역억제제에 대한 과민반응, 오한 및 발열, 오심 및 구토, 전신쇠약감, 식욕부진, 두통, 근육통, 체중감소 등이 있으며, 빈혈, 백혈구감소증 등의 골수기능부전이 있을 수 있습니다. 특히 인터루킨 사용시에는 Capillary leak syndrome이라는 현상으로 수분저류로 인한 전신부종, 저혈압, 허혈 등의 증상이 발생할 수 있으나 치료 후에는 대부분 정상으로 회복됩니다.

신장암의 예방 및 검진

예방

신세포암의 예방법으로는 동물성 단백질과 지방은 적게 섭취하고, 과일과 채소는 많이 섭취하는 식이 조절과 함께, 규칙적인 운동을 하는 일반적인 건강관리가 도움이 되며, 특히 금연 및 비만방지가 신세포암 예방에 중요합니다.

신장암 검진

신세포암은 특이 증상이 없고 증상도 늦게 발현되므로 진행된 상태에서 발견되는 경우가 많고, 방사선치료나 항암화학요법 같은 수술 외의 다른 치료에는 잘 반응하지 않으므로 조기 진단이 매우 중요합니다. 최근 건강검진에서 복부초음파검사가 널리 사용됨으로써 조기에 발견되는 경우가 많아 다행스러운 상황이나, 아직도 30%의 환자들은 다른 장기로 전이된 상태로 발견됩니다.

그러므로 신장암의 조기 진단을 위해서는 40대 이후에 건강검진시에 복부초음파촬영 등의 영상진단법으로 조기 진단을 하는 것이 가장 효율적인 방법이며, 신장암 발생과 관련이 있는 기존 질환(다낭종신과 같은 신기형, 장기간의 투석, 신결석 등)이나 유전적요인의 가족력(von Hippel-Lindau증후군 등)이 있는 사람은 규칙적인 검진이 중요합니다.

신장암의 추후 관리 중요성

신세포암의 수술후 재발은 대개 1-2년 사이에 많이 발생하나 , 수술 후 15년 이상 된 경우에도 재발한 보고가 있어 술후 재발이나 진행여부에 대한 추적검사가 반드시 필요하며, 특히 수술 후 조직검사에서 림프절전이나 신정맥침범이 있었던 경우는 재발의 위험성이 높은 것으로 알려져 있습니다.

수술후 추적검사는 종양의 병기와 환자의 상태에 따라 차이가 있으나 대개 수술 후 1-2년 간은 매 3개월마다, 그 이후 5년까지는 매 6개월마다, 5년 이후에는 1년마다 추적검사를 시행하는 것을 추천합니다. 추적검사로는 이학적 검사, 혈액검사, 흉부단순촬영 등을 시행하며, 필요시에는 전산화단층촬영, 골주사검사 등을 시행합니다.

신장암의 환자의 영양

신세포암 환자에서 한쪽신장을 적출하였다고 해도 반대쪽 신장기능이 정상이라면, 활동 및 생활에 전혀 문제가 없으므로, 식이나 영양섭취에 크게 주의할 사항은 없습니다. 그러나 수술후에 급격한 체중증가는 신장에 부담을 줄 수 있으므로 피해야하며, 신독성이 있는 약제나 약물의 섭취도 주의를 요합니다.

추천수0
반대수0

묻고 답하기베스트

  1. 남자친구생일선물댓글0
더보기

공감많은 뉴스 시사

더보기

뉴스 플러스