본문 바로가기
책갈피

(신기)숙주를 조종하는 인체감염 기생충

호이호이 |2012.12.20 22:08
조회 87,099 |추천 64

이번에는 제가 가장 좋아하는 류의 이야기인 '기생충'에 대하여 적어봅니다.

 

일방적으로 좋아하는 '서민'이라는 교수님의 네x버 캐스트를 보고선 만들어 봅니다.

출처는 아래에

 

 

 

 

 

 

시작합니다

 

 

 

 

 

1. 톡소 포자충

 

 

*톡소포자충이란?

 

원생동물아계 Api-complexa문 포자충강 Coccidia아강 진Coccidia목 Eime-ria아목에 속하는 Coccidium의 1종. 1속 1종입니다.

 

종 숙주는 고양이며, 중간숙주는 쥐나 토끼 사람등입니다.

 

 

 

 

톡소포자충의 감염경로

 

 

 

 

 

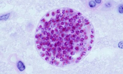
*처음 톡소포자충에대한 기록은

 

의사에게 11개월된 아이가 찾아왔었는데 병이 심각해지고 있었고  결국 죽고만다,

아이의 조직을 현미경으로 보던도중 망막에서 무엇인가 발견이 되었는데

큰 주머니안에 기생충으로 보이는 것들이 있었다(위 사진)

알고보니 그 기생충들은 쥐나 토끼에서 발견되어 '톡소포자충'이라고 붙여진것

 

어머니에게 톡소포자충이 감염된뒤, 혈액을따라 태아에게 옮겨간것이 화근이되었다.

 

 

 

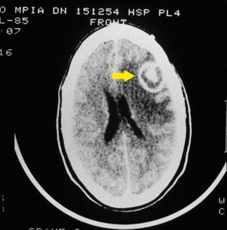
이 사진은 톡소포자충에의한 뇌종양 사진입니다.

 

*증상

 

톡소포자충에 걸린 사람들의 대부분은 뚜렷한 증상이 나타나지 않습니다

잘해야 감기몸살 정도

 

하지만, 전국민의 5%정도는 톡소포자충에 감염된 적이 있었다고 하네요

 

그렇다고 톡소포자충이 위험하지 않다는 말은 아닙니다

톡소포자충이 위에서 말한 이야기처럼 눈에 들어가는 경우가 간혹있어서

이 경우에는 안과에 한번쯤은 가셔서 확인해 보실 필요가 있으세요.

 

 

 

*증상2

 

톡소포자충에 감염이된 쥐는 고양이를 덜 무서워 하게 된다고 하네요

그 이유가

종숙주인 고양이에게 가기위해 중간숙주인 쥐를 조종한다고 알려져있다네요.

 

 

사람에게는이러한 조사결과가 있다는데 믿거나 말거나...

 

"톡소포자충에 걸린 사람들이 그렇지 않은 사람보다 2.6배 교통사고를 더 냈다."
"자살을 시도한 사람들은 톡소포자충에 양성인 비율이 그렇지 않은 사람보다 유의하게 높았다."
"남자의 경우 톡소포자충에 걸리면 친구가 없다."

 

 

 

 

 

 

 

 

 

 

출처 : http://terms.naver.com/entry.nhn?cid=2688&docId=432171&mobile&categoryId=2692

http://navercast.naver.com/contents.nhn?rid=21&contents_id=11574&leafId=21

 

 

 

가실때 추천

 

 

 

ps. 해주시면 감사하겠다구요..

 

 

추천수64
반대수19
베플답답하네|2012.12.21 11:29
답답하네...... 왜 이런 글들이 퍼지는지 도무지 이해안됨...... ;;;; 거짓말도 자꾸하면 진실된다드만 ,.. 딱 그꼴일세 ;;; 사실이 아닌글은 올리지 마요 순진한 사람들 믿겠네

공감많은 뉴스 시사

더보기

뉴스 플러스