본문 바로가기
책갈피

(+추가)2년3개월만에 끝난 치아교정이 이 모양 이꼴입니다.

ㅠㅠ |2013.03.26 10:15
조회 257,175 |추천 299

일단 댓글 많이 달아주시고 많은 조언 해주셔서 감사합니다 부끄

 

제가 교정한곳은 "교정 전문 치과" 맞구요

교정비용도 600만원 들었음...

치아 사이 저렇게 누렇게 보이는건 실망 치석이나 니코틴 뭐 이런거 아니고,

충치치료하고 레진 한건데, 변색되서 저렇게 보이는거에요 ㅠㅠ....드러운거 아니에요 ㅜㅜ

 

그리고 치아 마모 된 곳은 아랫니 중 딱 1개 뿐이에요.

다른건 다 멀쩡한 치아입니다

참고하시고 봐주세요 통곡

 

 

----------------------------------------------------

 

25살 한창일때에 교정 시작해서 교정기 빼는 날만 기다렸고

2년3개월만에 교정이 끝났는데, 전혀 기쁘지가 않네요.

 

제가 글재주가 없어서기도

일단 사진부터 보여드릴께요.

 

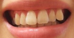
 (교정 전 제 치아이구요,, 토끼앞니가 컴플렉스였어요 ㅠㅠ

이렇게 보니 정말 못나보이네요 ;;; ㅋㅋ)

 

 

 

 (2년 3개월만에 교정이 끝난 치아 사진 입니다.)

 

딱 봐도 그닥 이뻐보이는 치아배열은 아니죠?

치아모양도 못나서 더 안예뻐보임 ㅠㅠ 

 

 

(왼쪽)

송곳니가 많이 기울었죠..

치아 사이에도 구멍이 뻥....

 

 

 (오른쪽)

붕 떠 있죠..

 

 

 위아래를 맞물려보면 치아가 파도를 탑니다..당황

 

의사쌤한테 말씀드리니

원래부터 갈려 있어서 어쩔 수 없다는 말 뿐..(제가 잠 잘때 이 가는 버릇이 있음)

 

그러나.

교정 초기 저의 아랫니는

앞니 하나만 조금 닳았을 뿐, 옆 치아들이 파도를 타진 않았습니다.

 

 가운데 부분 뻥 뚫린 부분을 "블랙 트라이앵글" 이라고 부르는데,

교정 끝날 때쯤 치간을 삭제해서 저 부분을 간격을 좁혀줘야하는데

그런것도 없이 저렇게 그냥 뒀어요....ㅠㅠ...

 

 

이게 교정 끝난 치아로 보이나요??....

 

 

 

이건 교정 끝나고 나서 치아 움직이지 말라고 장착하는 교정유지장치인데요,

이걸 보고나서 심각성을 더 깨달았네요.

 

지금 정면인데요,

왼쪽으로 갈 수록 치아가 아래로 내려왔져.

 

 

옆모습 입니다.

 

맨끝에서 두번째 어금니가 많이 내려왔죠??

 

제가 아랫어금니 발치후에 오랫동안 방치해서 윗 어금니가 저렇게 내려와버렸거든요.

교정도 임플란트때문에 한거구요..

이를 저 상태로 둔다는게 말이 되나요...?...

 

 

 이건 아랫니 유지장치

난리도 아니네요 ㅡㅡ;;;

 

 

더 문제는 여기있습니다.

 

임플란트를 아랫어금니 양쪽해서 총 2개를 심었거든요.

저렇게 윗어금니가 내려와버려서,

한쪽은 교합이 맞는데, 한쪽은 붕 떠있다는거에요. 그러니까 치아가 맞물려서 씹히질 않는다는거죠.

(이건 임플란트 심는 의사선생님이 말씀해주셨음)

 

 

어제 치과가서 아무래도 교정이 잘못된것같다고, 의사쌤한테 이 부분들을 다 설명했는데,

지금 이 상태가 가장 이상적인 상태라며

더 이상 손대면 안된다고 합니다.

 

교정 한 이유가 교합 맞추려는것도 있지만

외관상으로도 예쁘게 보이려고 하는거 아닌가요??

 

돈 뿐만 아니라 2년3개월의 시간까지 투자해서 한 게 겨우 이모양이라니...

너무너무 답답하고 화가 나요..

 

무슨 방법이 없을까요...손해배상 청구라던지......

 

제가 사는 곳이 워낙에 작은 도시라, 이 동네 치과 의사끼리 다 알거든요.

다른 치과 가서 상담받았는데, 더이상 손 못댄답니다.

뻔하죠 뭐...

 

 

재교정해달라고 해도 안된다는 말만 반복하니 ...

어떻게 해야 될까요.........ㅠㅠ

 

 

++++추가+++++++++++++++++++++++++++++++++++++++++++++++++++++++++++++++++++++++++++

 

이 가는 버릇은 교정전에 없어졌구요,

(그리고 교정할 땐 이를 갈 수가 없음. 치아끼리 살짝만 부딪혀도 머리가 띵 울리는데

이를 간다는건 상상도 못해요당황)

 

제가 잇몸이 많이 약해서 교정 전부터 블랙트라이앵글이 심했었는데요,

교정 중간중간 의사쌤한테 말씀드렸더니 끝날때쯤 치간 삭제하고 공간 좁혀준다고 얘기하셨었어요.

근데 그 작업없이 교정끝냈고,

 

어제 병원 다시 찾아가서 그 부분 말씀드렸더니

치간삭제하고 공간  좁혀준다고 하네요.

그리고 다른 부분은 더 이상 손 못댄다고 하시구요..

 

아 참, 그리고 송곳니 부분,

 

덧니였던 송곳니는 아래로 내리고  노란색 부분에 있던 치아 발치하고  

뒤에 있는 치아 앞으로 당기는 작업 했었어요.

근데 어금니쪽 치아 사이마다 공간이 너무 벌어져 있어서 먹을때마다 끼고,

공간도 제대로 안좁혀졌고

특히 고기 먹을때 이 사이에 차곡차곡 계속 쌓여서 잇몸이 아플정도네요.

 

 

이럴 줄 알았으면 라미네이트 할 걸 그랬어요.

제 못난 치아를 탓해야죠 ㅠㅠ...

 

같은 치과에서 교정한 저희 언니도 치아 한쪽이 붕 뜨고(저 처럼 심하진 않지만),

윗치아도 다 뻐드러져서 앞으로 뻗친 상태에서 교정 끝냈답니다...

 

교정치료 중간중간 엑스레이 이 외엔 사진 한장 찍은 적 없었고,

어떤 작업 중인지 한마디 한 적 없엇구요,

맘에 안드는 부분 말씀드리면  다 알아서 잘 해주고 있다는 말밖에없었습니다.

 

집이랑 가까운곳 찾다보니 알아볼것도 없이 그냥 선택했더니 너무 후회되네요.

치아교정 생각하고 계신 분들,

정말 많이 알아보시고 결정하세요.

 

 

 

추천수299
반대수16
베플|2013.03.26 11:50
진짜 너무 심한데요.. 원래 저런걸 바꾸려고 교정하는거 아닌가요? 의사가 책임감은 있는건지.. 처음부터 예쁜 모양으로 안될 것 같으면 미리 그런 점들을 인지 시켜줘야 하는게 당연한거 아닌가요 ㅠㅠ 하나 안하나 똑같고 저렇게 별 차이가 없다면 뭐하러 비싼돈 들여서 교정을 하나요.. 다른지역에도 가서 한번 여쭤보세요!! 좀 큰도시로 가서요 작성자님 힘내세요 ㅠㅠ
베플ㅋㅎ|2013.03.26 11:29
헐진짜 돈이며 시간이며....... 이러려고 글쓴분이 2년넘게 투자한게 아닐텐데ㅠㅠ
베플에효|2013.03.26 11:25
너무심한데요 저도 첫번쨰교정잘못되서 두번째교정 받앗는데 잘됬거든요.. 첫번째 교정잘못됫을때도이정도는아니였는데 ;;; 이거진짜심한데요 ..;; 치과가서따져보셔야될듯.. 저도 임플란트 아랫어금니 두개 위에 어금니 한개햇는데..교정잘됬어요...다른치과가서 상담한번받아보심이...

공감많은 뉴스 시사

더보기

뉴스 플러스