본문 바로가기
책갈피

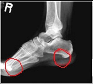
여자들 하이힐의 고통을 아세요?!!!***사진(有)

ㄴㅇㅎㅎ |2014.03.19 14:32
조회 9,917 |추천 9

 

 

 

 

1. 킬힐 처음 신엇을땐 서인영 처럼 자신감을 가지면서 모델 빙의~걸어도 아픈걸 몰름

 

 

2. 잠시 앉을땐 무조건 구두를 벗음.. 그때 시원함? 말로 설명 못함 아직 아픈건 아님 갠차늠

 

BUT

 

 

 

3. 두군데의 킬힐의 통증이 찾아오기 시작함;;

걸어 다닐때 아픔에 고통 참을수 없음;;

 

 

 

 

 4.자기도 모르게 팔자다리로 걷게됨;;

 

 

 

 

5. 킬힐을 왜 신엇나 자책을 함;; 시간 날때마다 벗어둠 운동화만 잇음 바꿔 신고픔

 

 

 

6.집다와가면 하이힐을 벗는다. 그때 잠시 고통이 따름;;; 이때 맨발로 집까지감;;;; 

 

 

 

 7. 다신 하이힐을 안 신겟다고 다짐함 !!

 

 

BUT!!!!!!!!!!!!!!!!!!!!!!!!!!!

 

 

 

 

또!다시 신게 되고 아픔과 고통을 느끼는 하이힐 ...................

 

 

 

 

 

저도 여자여서 킬힐 매우 좋아함

하지만 킬힐을 신음 우리의 건강은 그냥 킬!!

조금 낮은 하이힐!! 도이쁨니다^^*

우리모두 건강하세여!!

 

추천수9
반대수8
베플솔직한세상|2014.03.20 02:58
남자는 여자의 킬힐 보다 얼굴 ----------- http://pann.nate.com/talk/321801300

공감많은 뉴스 시사

더보기

뉴스 플러스