본문 바로가기
책갈피

제주도에서 의료사고를 당했어요ㅠㅠ

부셔버릴꺼야 |2016.08.12 12:48
조회 7,877 |추천 30
안녕하세요. 평범한 20대 후반의 여자사람입니다.판에 처음 써보는거라 어찌해야 할지.. 두서가 없을지 모르겠지만 꼭 봐주셨으면 합니다.
제목 그대로 제주도의 한 종합병원에서 의료사고를 당했어요..저는 아니고 제 지인이 당했습니다.어릴때부터 타지에서 혼자 생활하기도 하고 여러 복잡한 상황 때문에 사정이 어려우신데...이런 사고까지 당하게 되어 너무 속상하고 도와줄 수 있는게 이렇게 자문을 구하는 것뿐이 없어서...도움을 청하고자 대신 글을 남깁니다.꼭 한번 읽어주시고 도와주셨으면 해요.ㅠㅠ

****************************여기서부터 읽으셔도 됩니다********************************
편의상 지인의 시점에서 1인칭으로 쓸게요.
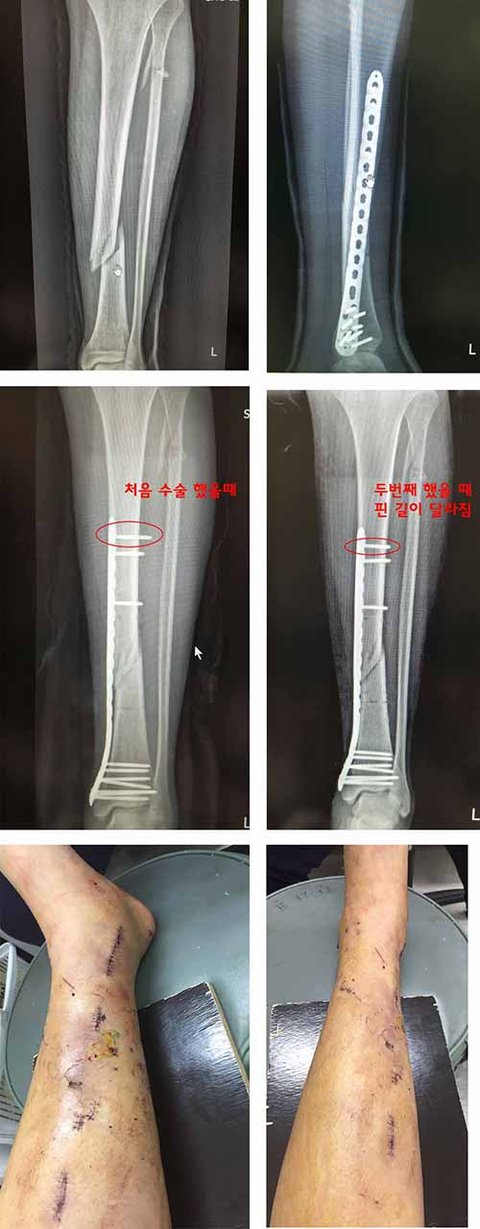
서울에서는 취직이 어려워 제주도의 한 농장에 일하러 갔는데 도착한 다음날 슬리퍼 신고 걷다가 빗길에 미끄러져서 다리가 골절 됐어요. (농장과는 무관한 사고)왼쪽 경골, 비골 모두 뿌러져서 구급차에 실려가 모 병원에서 응급수술을 받게 되었습니다.젊어보이는 의사였고 복숭아 뼈 옆에 수술자국이 생길거라 듣고 전신마취로 수술이 진행됐는데,의사가 제가 마취가 되서 의식이 없는 줄 알고 수술방에 있는 사람들한테"얘 제주도에 연고지도 없고 보호자도 없어. 아무것도 없으니 부담없이 편하게 해도 돼"이런 소리를 하는 걸 들었습니다.불안한 마음이 들었지만 마취가 되는 중이라 항의할 수 없었고,수술이 끝나서 엑스레이 찍고 병실에 왔는데 의사가 뛰어오더니...엑스레이 사진을 보여주면서 "크게 상관은 없는데 그냥 다시 합시다. 굳이 안해도 되긴 하는데 혹시 모르니까..." 이러면서 씨익 웃고 제 침대를 끌고 다시 수술방으로 데려갔습니다.
알고보니 의사가 핀을 잘못 박아서 핀을 교체하는거였고 환자 본인 동의도 없이 한번 더 전신마취를 하고 수술을 한거죠ㅡㅡ
그 결과... 다들 예상하셨겠지만..... 다리는 누가봐도 대충 수술한 것처럼 여기저기 수술자국으로 만신창이가 되있었고, 상처에서는 일주일이 지나도 피고름이 나왔습니다.의료사고임에도 병원비 삭감도 없었으며 수술이 잘되었으니 소개팅 해달라고 했습니다.
나중에서야 주민들한테 들었는데 "저 병원 아파서 죽더라도 가지 말아야 하는 병원"이라고 합니다...
[※혐짤 주의※].....

 

************************************************************************************
글쓴이인 제가 서울에 있으니까 제주도까지 못올걸 알고 다쳤을 때 말하면 걱정 많이 할까봐 이제서야 말한다고 하네요ㅠㅠ
치료받는 사이 보험회사에서 사고 조사가 나왔는데,의사가 '혼자 넘어져서 생길 수 있는 부상이 아니다', '달리는 차에 충돌하거나 오토바이 타다가 넘어지거나 흉기에 의한 폭력이 의심된다' 라고 말했다네요ㅡㅡ
저도 2010년에 힐신고 가다 넘어져서 똑같이 다리가 부러졌었는데 '혼자 넘어져서 저렇게 된건 아닐꺼다' 라는 저런 망언은 안들었어요.. 다친 사람한테 저게 할소린가요?
명백한 의료사고인 것 같아서 소송을 진행하고 싶은데...비용이 만만치가 않아서 고민입니다ㅠㅠ피해보상 금액이라도 받고 싶은데 병원에서는 해당 의사랑 얘기해라 나몰라라 한다네요...제발 이 억울함을 풀어주세요...도와주세요...
긴글 읽어주셔서 감사합니다... 
추천수30
반대수3

공감많은 뉴스 시사

더보기

뉴스 플러스