본문 바로가기
책갈피

오진으로 중증암환자 만들어놓고...인정안하는 병원....

진한이슬 |2016.08.21 21:14
조회 65,303 |추천 206

남편이 얼마전 2016년 7월에 혈뇨와 함께 결박뇨, 빈뇨로 인하여 부산 남구 S병원에 내원하여 ct를 찍었는데 방광에 4센티 가량의 혹이 보인다고 수술을 해야한다고 하는 것입니다. 급히 부산대학병원에 의뢰를 해서 수술일정을 잡기위해  내시경을 하니 조직검사는 해봐야겠지만 암으로 보인다고...수술을 해야될 것같다는 것입니다.

 

혈뇨가 이번이 처음은 아닙니다. 2011년 4월에도 혈뇨로 부산 s병원에서 ct를  찍었는데 이상없음. 그 후로 증상이 없다가 2015년 1월에 또 혈뇨로 동병원에서 ct찍으니 또 이상소견없음...

 

나중에 알았는데 초기 방광암은 무증상의 혈뇨라고 하네요...

 

남편은 이제 만 38살...저 37살... 우리 아이는 5살....평화로운 나날이었습니다. 마치 운수좋은 날 처럼...폭풍전야처럼...이런일이 닥칠려고 그랬을까요...

 

암...참 걸리기 쉬운병인지 몰랐습니다. 그냥 남이야기라 생각했고 난 진심으로 위로해주는 역할만 할 줄 알았습니다...왜 남한테만 걸린다고 생각했을까요... 왜 난 아닐꺼라생각했을까요...

 

부산대학병원에서의 수술일정은 8월 초...하루하루 기다리는것이 힘들었는데 시누이의 소개로 삼성서울병원에서 좋은 의사분을 만나 7월 20일에 바로 수술해서 종양을 제거했습니다. 조직검사 결과는 8월 12일...이 결과에 따라 병기가 나오고 앞으로의 예후, 그리고 치료방법 등이 나온다더군요.

 

하루하루...참 많이 울었습니다. 둘이서 울고 혼자서 울고....암이라는 이름에서 오는 묵직함이 이렇게 무거운건지 몰랐습니다... 올해 들어서 이제 하던일도 좀 잘 되고 안정되어 가던 중이었고 사랑스러운 아들도 잘 커주고 저도 제 일에 만족하면서 그렇게 지내고 있었는데....

 

남편은 건설쪽 일을 해서 몸을 많이 쓰고 하루종일 공사현장에서 일을 합니다. 그런데...방광암 환자로써 계속 그일을 하기엔 무리가 있었습니다. 하루를 비게되면 회사의 손실도 크고...또 치료기간이 얼마나 걸릴지 어느정도 상태인지도 모른채 계속 일을 하기에는 어려움이 있다고 판단했습니다...결국회사와 의논 끝에 일을 그만두게되었네요...

 

8월 12일...조직검사결과 방광암 1기 그러나 근육으로의 침윤가능성이 높고 grade2지만 3과 2사이....정리하자면 2기 직전의 1기...방광적출을 겨우 면했으나 암덩어리가 3.6cm로 크기가 큰편이라 예후가 좋지 못하고 근육으로의 침윤 가능성이 높다는 것은 70프로 이상의 재발률을 가진 방광암 특성 상 다시 재발할 경우 2기로 나빠질 가능성이 높음...

 

그래도 감사했습니다. 방광적출은 면했고 다행이 1기니까요. 당장 돈 버는게 뭐가 중요합니까...사는게 더 중요한데...그렇게 결과를 듣고 방광내 약물주입요법인 BCG치료를 하기위해 부산백병원으로 연계를 해달라고 하고 모든 의무기록을 떼서 왔습니다....

 

제가 좀....공부랑은 거리가 멀지만 이상하게 하나하나 해석하고 싶드라구요. 오른쪽 간에 작은 물혹의심병변이 있음..여기에 꽂혀서 아는 의사에게 소견서를 찍어서 보냈습니다. 그 의사분이...그건 별로 중요하진 않고 다른게 이상한데...Urothelial tumor 소견에 2011/4/22 ct상에서는 focal nodular enhancing lesion으로 보였던것으로 추정함. 이라고 객관적 소견에 나와있는데....이부분이 이상하다고

분명 그동안 CT소견 이상없음 아니냐고 삼성병원에서의 소견은 2011년도 CT에 항진병변이 보였다는건데 이거 못보고 놓친것 같다고. 본인이 CT를 한번 봤으면 좋겠다고 하데요.

 

이때도 와닿지 않더라구요...뭐지? 하는 생각...

그 의사가 CT를 보더니 조형제를 넣었을때 사진에서 혹으로 의심할만한 모양이 보인다고...2011년 CT에서 2015년 CT는 말할것도 없고....오진인것 같다고...초진병원에서 CT판독을 잘못한거였습니다.....

 

결국 5년동안 암을 키운거였습니다.


마음은 정말 판독의, 비뇨기과 의사....진짜....


연휴가 지나자 마자 16일에 초진병원으로 갔습니다.

의사가 사색이 되더라구요. 아니라고 못하데요. 판독에서 이상없다해서 자기도 그런줄 알았고 암이다 하고 보니 보이는데 그냥 봤을때는 잘 모를 수도 있겠다싶다고 이상한 궤변을 하더군요...그래도 잘못한거 없다 우기지 않고 인정하더군요. 본인이 정리를 하더라구요. 첫번째는 판독미스 두번째는 적절하지 못한 진료...이부분에 대해서 책임을 묻고싶은거냐고... 병원에도 절차가 있으니 절차대로 처리하겠다고...원무과로 연결해주더군요.

원무과에서도 절차대로 하고 연락주겠다하더군요...

 

이번주 금요일까지 연락을 주기로했습니다. 16일(화)에 찾아가서 19일(금)까지 연락하기로 했습니다. 19일 4시경에 원무과 주임이 전화와서는 자기네병원 부원장, 무슨 주임의사, 그리고 또 한명의 의사 세명이 다시봤는데 이상이 없다고 했답니다. 그래서 아무잘못이 없답니다.

 

초진병원의 주치의에게 전화해서 지금 당신네 병원에서 ct판독결과가 이상이 없다는데 거기에 대해서 어떻게 생각하냐고 따져물으니 자기 상사들이 이상없다하니 힘이 났나봅니다. 자기는 자기네 병원 영상판독 결과를 존중한다고 무슨대답을 원하는 거냐고 오히려 큰소리데요...과잉진료라 하더라도 방광경을 하지 못한 아쉬움은 남지만 전혀 자기는 잘못한게 없답니다....

 

 

아래는 제가 다른 포털에 올린 내용입니다.

 

 

방광암진단을 받았는데 서울삼성병원에서 이번에 찍은 ct가 아니라 5년전에 찍은 2011년 ct에서 종양 소견이 보인다고 하네요...이게 사실이라면 초진병원을 그냥 넘어가진 않을려구요...


원본보기


원본보기


원본보기


원본보기

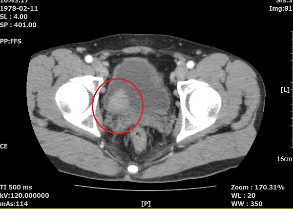
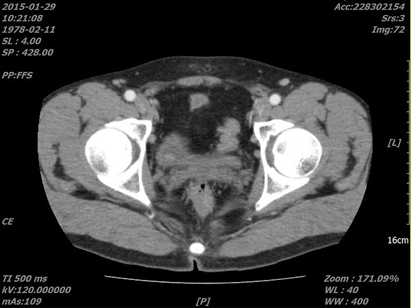
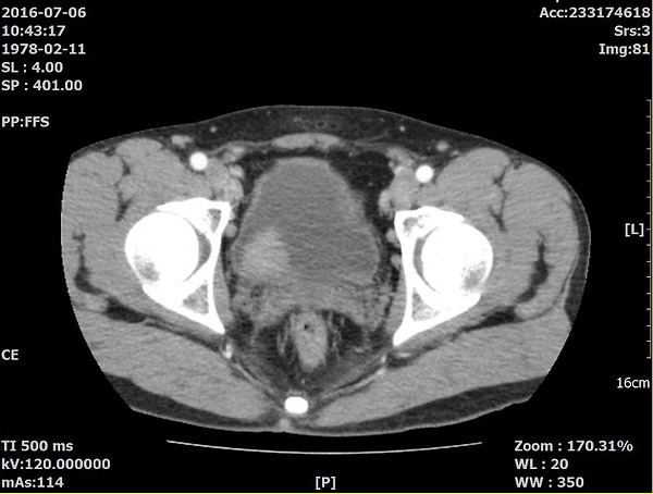
위사진은 암으로 추측되는부분이라도 개인병원 의사가 찾아주신 자료 중 하나입니다.

이게 맞을까요? 첫번째  2011년, 그다음 2015년 세번째도 2011년 그다음 2016년입니다. ....

진한이슬 | 2016.08.20 10:48 수정됨 최초등록일 2016-08-20 10:47 최종수정일 2016-08-20 10:48 | 조회 25

질문 수정하기 주의 질문을 자세히 써주세요.

                                         

답변 3 답변추천해요0 추천자 목록 추천한 사람 정보 2015년 7월 23일 이후 추천 목록입니다. 닫기

CT 사진은 음양차이가 굉장히 중요하며 핸드폰으로 찍으신 사진으로는 판단하기가 힘드네요. 마지막 사진방광의 사진상왼쪽에 주변보다 하얗게 보이는 것이 암 소견입니다.

일반병원은 삼성병원같이 큰병원보다 영상진단의 수준이 떨어질 수밖에 없습니다. 너무 초진받은 병원을 나쁘게 생각하시지 않으셨으면 좋겠습니다.

프로필 사진   | 2016.08.20 수정됨 최초등록일 2016-08-20 10:53
최종수정일 2016-08-20 10:54 | 의견 쓰기 |신고                                                                            추천자 목록 추천한 사람 정보 2015년 7월 23일 이후 추천 목록입니다. 닫기

안녕하세요.


올려주신 영상은 PELVIS 쪽의 조영증강(ENHANCED) CT 검사네요.

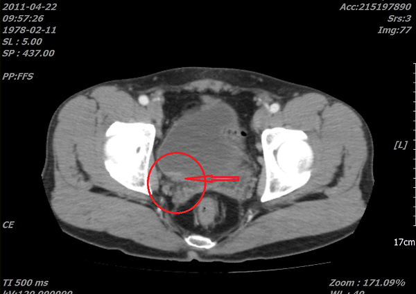
첫째, 셋째 사진이 2011(초진검사) 하신 영상이고,

둘째 ,넷째 사진이 15,16년 사진이시죠.


사진이 명확치 않아 확인지 조금 어렵지만

사진상에 보이는 것은 네번째 마지막 사진에만 확실한 종양의심부분이 관찰이 되고 있습니다.

프로필 사진                                                                       함께해봐님의 게시글에 대한 추가질문입니다.

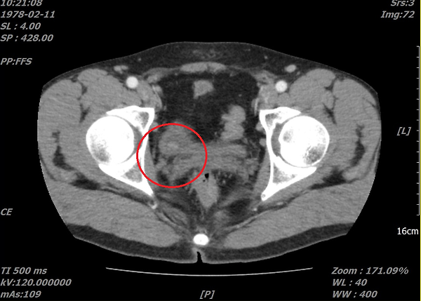
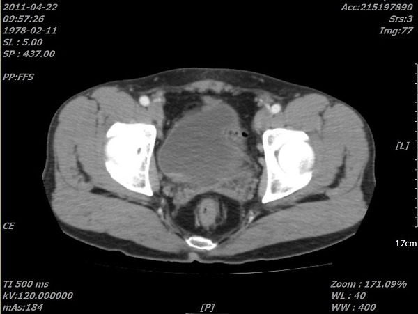
원본보기


원본보기


원본보기

좀 더 선명한 사진인데....다시한번 봐주시겠습니까....

2016.08.20 수정됨 최초등록일 2016-08-20 11:27                                             

                        추천자 목록 추천한 사람 정보 2015년 7월 23일 이후 추천 목록입니다. 닫기

추가질문  「 좀 더 선명한 사진인데....다시한번 봐주시겠습니까..... 」 에 대한 답변입니다.

 

 

 

 

아. 정확히 보이시네요. 

첫번째 사진 2011년 4월22일 ENHANCE CT 영상에서도 

동그라미 쳐진 부분(화살표) 부분이 조영증강된 것이 확인이 됩니다. 

나머지도 보시기 쉽게 동그라미 표시를 해드렸습니다. 


원본보기


원본보기


원본보기

 

이건 좀 정확하게 답변해주셔서 제가가 올린거고 다른 포터털에도 동일 소견들이었습니다....

이게 안보인답니다.

억울한데....제가 어떻게 해야할까요....말로만 듣던 의료사고...

 

암은 다들 아는것 처럼 조기발견이 중요하고 종양 크기에 따라 예후나 치료도 달라집니다....5년 전에 알았다면 지금보다는 훨씬 나았을테니까요...너무나 억울하고 분한데 이제 초진병원에서는 나몰라라는 식입니다...

 

 

추천수206
반대수6
베플|2016.08.22 12:31
네이트 운영자 이 닭대ㄱㄹ야... 제목을 그따위로 빼면 어떡하냐. 오진으로 암환자 만들었다고하면 암이아니라는 의미잖아. 지금 이 글은 오진으로 초기에발견할수있는 암을 더 키워서 더 위험하게됐다는거잖아 이 멍청아 돌대ㄱㄹ야. 오진으로 암을키운병원 이라고 하던가 멍청아 이 바보야
베플crossJ|2016.08.22 12:15
국가에서 운영하는 '한국의료분쟁조정중재원(www.k-medi.or.kr)을 통해서 의료사고에 대한 (최대한 공정한)중재를 받으실수 있습니다... 중재안이기에 법적인 강제성은 없지만 소송시에도 참작될수 있는 근거사항이 되겠구요... 그런데 의료사고의 경우 '의사가 사람을 해치려고해서 의료사고가 일어난 것은 아니라는 점'으로 인해 병원측의 과실이 기본적으로 감경되는 것이 사실입니다... 억울하시겠지만 힘내시고 화이팅입니다!

공감많은 뉴스 시사

더보기

뉴스 플러스