본문 바로가기
책갈피

이거좀 봐주세요,,하 너무 고민입니다..사진유

익명이요 |2016.09.27 11:30
조회 9,431 |추천 3

 

 

 

 

 

 

 

 

일단 방탈 죄송합니다.

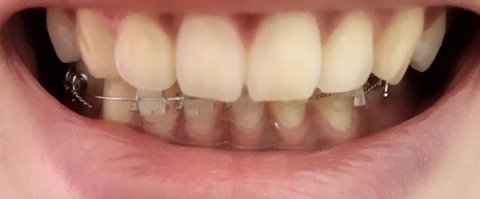
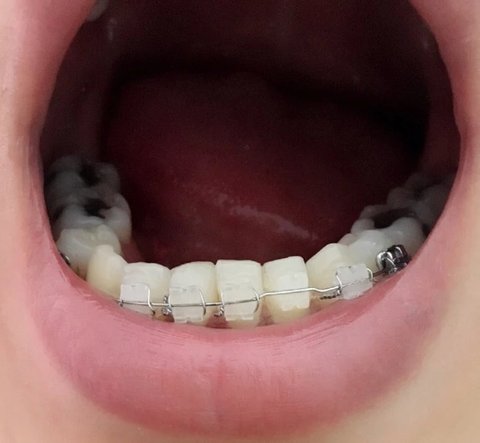
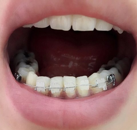
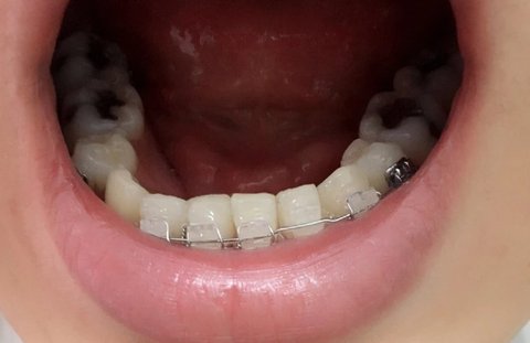
3년째 교정중인데요,,위에는 몇일전에 뺐습니다.


다음주에 밑에교정기 뺀다고하는데..나이키모양처럼 삐둘지 않나요?


U자 형이 되야되는데..옆으로 삐뚤어져 있는데..이제 다 끝났다고 밑에교정기를 뺀다고하네요,,


그래서 옆으로 되있다고 하니까 제 이빨에서는 이게 최선이라고 하는데요,,


다시 해달라고 해야될까요? 그냥 이대로 빼려고 하는데요,,미치겠어요,,


치아 높이도 다 다르고,,애초에 제 치아가 크기도 안맞고 그렇다는데..휴,,


좀 이상하다고,,원장님한테 어떤식으로 말해야될까요?


댓글좀 달아주세요,,어떻게 해야될까요? 잘 된게 맞는거에요?


발치하고 교정하고 3년조금 넘었습니다..

추천수3
반대수2
베플남자Z|2016.09.27 13:48
일단 현재치과는 이게 최선이라고하지만. 다른치과가서 교정이 가능하다는 소견이 나온다면 그 소견을갖고 기존에다니던 병원에가서 따져야죠.

공감많은 뉴스 시사

더보기

뉴스 플러스