본문 바로가기
책갈피

쌍수재수술 후기!! (절개->절개)

ㅇㅅㅇ |2017.01.06 14:20
조회 89,066 |추천 44

미방 사진은 설리요 ㅎㅎㅎ

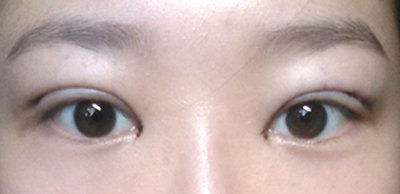
쌍커풀 재수술 한지 1년반 넘었어요
처음에도 절개. 재수술도 절개로 했고
재수술때는 45도 윗트임이랑 눈매교정 같이했는데
이게 신의한수였던거 같아요

다른 성형커뮤니티에 전에 후기 올렸었는데
내가 애정하고 자주 오는 판이라서 올려봐요
요즘 쌍수후기 많이 나오니 새록새록 옛날 생각나고 ㅋㅋ재수술이 확실히 처음보다 비싸네요ㅠㅠ

다들 처음부터 잘하는 곳에서 수술받는게
시간이나 돈이나 아끼는 길인것 같아요

이게 최근이예요~ 보기 편하게 생얼로 올렸어요

연예인들처럼
자연스럽고 또렷한 눈 원했어서 넘나 만족해요
성형했어도 성형티나는거 딱 질색이고
이민정 설리
(그냥 외모만이야 설리가 좋다 싫다가 아니고)
눈 같이 강아지과 동그랗고 또렷한 눈 좋아해요 ㅎㅎ

눈이 흐릿해서 불만이면 쌍수해보는거 강추입니다

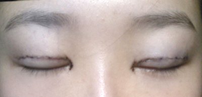
이게 재수술전! 다 풀려서 답답해보이고 맹꽁이 같아요ㅠㅜ저게 주름인지 쌍꺼풀인지 ㅠ
절개로 수술해도 제대로 안되면 풀리더라구요 ㅠㅠ

이건 수술후 2일짼가 3일째인데
붓기랑 느낌 보라고 올려요
사진 찾느라 힘들었 ㅠㅠ
이 때 확실히 붓긴 부었네요ㅋㅋㅋ

자 그럼 수술에 대해서 내가 공부했던거 적어볼게요


1. 매몰 vs 절개

보통 매몰은 안풀리고 절개는 풀리고 이렇게 생각하는 경우가 많은데 절개여도 풀려요 나처럼 ㅠㅠ
눈두덩이살이 많이 처지면 절개를 하는게 맞고, 눈살이 안 쳐져 있으면 비절개나 매몰로 하는게 맞는것 같아요
난 살이 쳐져 있었고 라인을 살짝 키우려면 절개로 해야되서 절개했어요
그리고 다들 쌍액이나 쌍테 절대 하지마세요 ㅠㅠ
수술한 다음에는 렌즈도 덜 끼는게 좋대요~ 눈꺼풀 많이 처지고 눈뜨는 근육도 약해진대고..
그러나 난 렌즈 포기할 수 없어서 ㅠㅠㅠㅠ


2. 눈매교정

눈뜨는 힘이 약한게 쌍꺼풀 풀린 원인이라서 눈매교정도 같이 했어요
안검하수 심하지 않아도 눈뜨는 힘이 약하면
쌍꺼풀이 더 잘 풀릴 수 있어서 보충해주는게 좋대요
가끔 보면 불편하다는 애들 있는데
나는 오히려 눈뜨기 편하고 좋았어요


3. 윗트임

인아웃라인 자연스럽게 연결하려면
몽고주름이 앞쪽을 덮을 수 있어서 알다시피
트임을 해야했구요
앞트임 너무 많이 하면 성괴될까봐 걱정했는데
45도 윗트임으로 하면 그런 느낌 적다고 해서 했는데
앞쪽으로 과하게 터진 느낌 없고 잘된거 같아요
윗트임은 앞트임이랑 비슷한데 방향이 달라서 눈 앞머리 위쪽이 시원해지는거 ㅎㅎ


4. 수술 과정

처음에는 진짜 큰 병원 갔는데 상담때 실장이랑만 이야기하고 원장은 5분보고 수술받았었어요
그래서 재수술때는 더 알아보고 개인병원 3군데 정도 갔고 그 중에 상담이랑 라인이 제일 끌리는데로 결정했어요
재수술할때는 부분마취만 했어요
완전히 온전한 정신이었고 눈 떴다 감았다 하면서
윗트임 트는 정도 괜찮은지 라인 괜찮은지
계속 체크 하면서 했어요


5. 관리

수술 직후부터 눈뜨는 운동 많이많이 해주고
얼음찜질 하루종일하면 덜 붓네요
처음보다 재수술 때 훨씬 덜 부었어요
그리고 소독 집에서 매일 했는데 넘 열심히 했는지
병원에서 실밥 뽑기전에 소독하다 실밥 녹은것도 있었어요 ㅋㅋㅋ
쌍수 계획있으면 다들 수술 잘 받고
성공해서 어디가든 좋은 대접 받으면 좋겠어요ㅎㅎ




마지막으로 화장하고 렌즈도 껴본 사진도 하나 놓고갑니다

추천수44
반대수16
베플ㅇㅇ|2017.01.07 07:18
저런 예쁜눈에 렌즈왜끼지..개눈같아요 안낀게훨씬이쁨 정유미 눈같아용
베플22|2017.01.06 23:07
렌즈 안끼는게 더 예쁜거같은데? 나도 쌍커풀 풀려서 재수술해야되는데 병원 정보좀..

공감많은 뉴스 시사

더보기

뉴스 플러스