본문 바로가기
책갈피

23살 이제 앞이 보이지않습니다.

여운영 |2017.02.24 23:30
조회 6,287 |추천 43

https://www.facebook.com/woonyeong.yeo.3/posts/1181966408587475?notif_t=like&notif_id=1488022017165065

 

위 페이스북 링크 들어가셔서 좋아요,공감 해주시고 공유해주시길 부탁드립니다..

 

 

--------------------------------------------------------------------------

--------------------------------------------------------------------------

 

 

 

제 동생은 23살에 시각장애인이 되었습니다.

 

 

군대 전역한지 한 달 정도 된 작년 2016년 2월 뇌종양 수술을 받았고 그 후 시각장애 3급 판정을 받았습니다.

 

종양이 자라면서 시신경을 압박하여 손상이 생겼다고 합니다.  현재 시신경 80%가 괴사하여 오른쪽 눈은 보이지 않고 남은 왼쪽 눈은 보이는 범위가 절반이 안되며 어둡고 흐리게만 보여 형체를 간신히 구분할 수 있다고 합니다.

 

동생이 조금만 더 일찍 병원에 갈 수 있었다면 장애를 갖지 않았을까 아니면 조금이라도 더 잘 보이지 않았을까 이런 생각밖에 들지가 않습니다.

 

 

( 아래부터는 1인칭으로 적겠습니다. ) 

 

뇌종양 증상은 군복무 중에 처음 나타났습니다.  2015년 6월에 심한 두통과 계속되는 구토로 처음 의무대를 찾아갔습니다.  그 이후 통증이 심할 때마다 군의관을 찾아갔고 총 진료 받은 게 10번 정도 되며 약을 받은 적은 30번 정도 됩니다.  그동안 받은 약은 두통약뿐이었습니다.

 

처음 찾아갔을 때 두통이 계속되면 뇌수막염 의심해보자는 말을 들었습니다.  그 다음 찾아갔을 때 이 증상이 뇌수막염인지에 대해 물어봤습니다.  군의관은 약을 먹어도 아프면 다시 찾아오라는 말만 하였습니다.

 

그리고 10월쯤 눈이 조금 안보이기 시작했을 때 증상을 말해도 군의관은 별말이 없었습니다.  그 동안 외진 보내달라고 몇 번 말을 했으나 외진을 보내준 적은 없었습니다.  업무량이 많고 눈치도 보여 스스로 외진 신청하기는 힘들었습니다.

 

제 근무는 행정업무였습니다.  작은 부대지만 혼자 업무를 해야 돼서 업무량이 많았습니다.  한 달에 반 정도는 밤 12시 넘게 일을 해야 그 날 업무를 끝낼 수 있었습니다.  훈련이 있을 때는 밤 새서 업무를 한적도 몇번있습니다. 물론 다음날은 정시에 일과를 시작했고요. 그때는 그게 당연한줄 알았습니다.

 

행정 업무다 보니 선후임 요구도 많았고 눈치도 많이 보였습니다.  이렇게 업무상 스트레스를 많이 받았고 군의관도 별말 없이 두통약만 주고 하니 스트레스성 두통인 줄만 알았습니다.  그게 아니라 심각한거라면 군의관이 병원을 보내줬겠지라는 생각을 했습니다.  약을 먹으면 두통이 가라앉아 그 걸로 군생활을 버텼습니다.

 

10월부터는 두통이 심해져서 관찰일지에 매일같이 환자로 보고하였습니다.  그때는 두통약 복용을 늘려가며 지냈습니다.  나중에 법원 서류로 알게 된 내용인데 병원 간 기록이 생략된건지 없어진건지 모르겠으나 군의관 찾아간 기록이 두번 밖에 없고 신상 기록에는 잘못 기재된 부분도 있었습니다.

 

나중에 목이 뻐근하고 빈혈 증상 등이 나타나기 시작했습니다.  12월에도 외진 보내주지않아 말년휴가때 스스로 병원에 가보았습니다.  한의원, 내과, 이비인후과에 가보았는데 초기 가벼운 증상이라 이것도 스트레스 때문이겠지라 생각했습니다.  그게 뇌종양 증상인줄 그때도 전혀 몰랐습니다.


두통을 치료받을 생각은 못했습니다.  휴가나와 집에서 쉬니 두통과 구토가 많이 나아져서 전 정말 단지 군생활 스트레스 때문이라고 생각했었습니다.  항상 군의관이 심각한 일이 아닌 듯 넘어가 이 모든 증상이 심각한 건지 몰랐습니다.

 

2016년 1월에 전역하였고 그 후 눈이 점점 더 안보이기 시작해서 안과에 가보았습니다.  대학병원에 가서 검사받아보라 권하였고 그때서야 뇌종양 2기라는 판정을 받았습니다.  그리고 전역한 지 한 달 정도 되는 날 종양 제거 수술을 받았습니다.

 

 

수술하기 8개월 전 처음 두통과 구토를 했을 때 MRI 나 CT를 찍어봤더라면... 처음 시력에 이상이 있었던 4개월 전이라도 찍어 봤더라면... 군의관을 믿지않았더라면... 이 정도까지 안보이지는 않았을 겁니다. 

 

위에서 말씀드린 것처럼 뇌종양 증상이 나타났어도 군대에서 제대로 된 검사를 받지 못해 시각 장애 3급까지 이어졌습니다.  보훈처에 연락해 보았지만 이미 전역해버렸으니 다른 조치를 취해줄 수 없다는 말을 들었습니다.

 

그래서 국가유공자 신청과 행정 소송을 진행하였으나 두 번 모두 기각되었습니다.  질병(뇌종양) 발병 또는 악화가 근무와 인과관계가 없다는 이유였습니다. 

 

동생은 뇌종양 증상으로 군의관을 10차례 정도 찾아갔고, 부대 관찰일지에도 거의 매일 같이 아프다고 하였고, 외진 보내 달라 말한 것 등등 이런 건 다 상관이 없었습니다.  모든 게 군대에는 잘못이 없다는 말뿐 이였습니다.  정말 군대는 아무 잘못이 없는 걸까요?

 

군대의 잘못이 인정될 때까지 소송을 진행하려합니다.  혹시 이에 관한 경험이 있거나 법률적인 도움을 주실 수 있는 분께서는 조언해주시면 감사드리겠습니다.

 

 

1년이 지난 지금은 동생이 어느 정도 장애를 받아드리고 있습니다.  더 악화되지는 않는다는 거에 감사하게 생각한다고 합니다.  이제는 복지관에도 가보고 점자를 공부하기도 합니다.  친구들도 많이 만나러 다니고요.

 

장애를 가지고 사는 게 불편하고 힘들겠지만 제 동생이 잘 헤쳐 나갈 수 있도록 많은 사람이 힘내라는 응원해주시기 부탁드립니다.

 

이 글을 많은 사람이 읽어주셨으면 좋겠습니다.  그래서 이제 다시는 동생과 같이 군대에서 제대로 된 검사를 받지 못해 힘들어하는 사람이 나타나지 않게 되었으면 좋겠습니다.

 

 

지금까지 읽어 주셔서 감사드립니다.

 

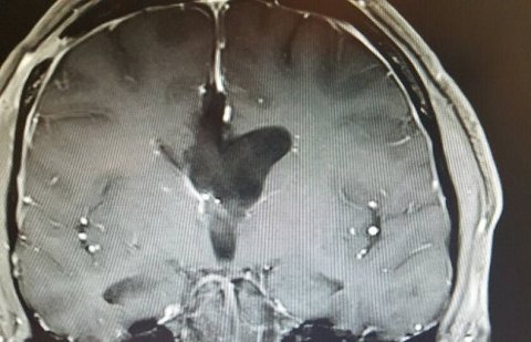
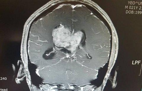
( 뇌종양 수술 전후 MRI 사진을 같이 올리겠습니다.  수술 전 사진 가운데 보이는 하얀색 덩어리가 뇌실에 있는 지름 6cm짜리 종양입니다. )

 

 

 


 

 


 

추천수43
반대수2
베플수남이|2017.02.25 21:32
그 군의관이 제대로 된 진단만 했어도 이런 일이 생기진 않았겠지,, 어떤식이었든 군대는 책임을 져야한다. 우리 아들, 동생들이 2년이라는 시간을 국가를 위해 헌신하였는데, 군복무 중 제대로된 치료를 받지못해 악화된 병에 대해선 어찌 책임이 없다 말할 수 있을까? 앞날 창창했던 젊은이의 인생을 이렇게 망가뜨려놓고, 국가는 일말의 책임도 없는가? 요즘 같은 시국에 언론에 제보를 해도,, ㅊㅅㅅ ㅂㄱㅎ 땜에 묻혀버릴지도 모르지만,, 국방부를 상대로 피해보상을 받으려면 언론의 힘을 빌리는 게 가장 영향력이 크지 않을까해요. 힘내세요.
베플신재완|2017.02.25 21:53
힘내세요 어린나이에 앞으로 짊어질 짐이 너무 커져 버렸네요.. 절망하긴 일러요.. 소송 꼭 승리하시고 좋은 소식 들었으면 좋겠습니다.. 멀리서 기도 합니다.. 꼭 희망 잃지 마시길
베플94|2017.02.25 23:45
아니 이 병신같은 국방부는 대체 누구를 위해 존재하는건지 모르겠다 군의관이 제대로 치료해줄 깜냥이 안되면 외진은 보내줘야지 피해자가 직접 외진을 신청해도 안보내주고 진통제만 처방하고 끝이라는게 말이되나..한사람의 인생을 완전히 망쳐놓고 책임이 없다니 이게 민주주의 국가 군대에서 일어날 일인가? 이 그지같은 나라에서 2년동안 몸바쳐가며 나라지키다가 다쳤는데도 제대로 보상받지 못한다는게 울분이 치밀고 너무 가슴이 아프다..

공감많은 뉴스 시사

더보기

뉴스 플러스