본문 바로가기
책갈피

고양이 전문 병원 정말 잘하는곳 아시는 집사님!

가토아가씨 |2017.09.22 18:07
조회 632 |추천 6

 

 안녕하세요 인천에서 가토를 모시고 사는 집사에요

 

 

우리가토는 애교쟁이, 흔히 말하는 개냥이에요

밥도 잘먹고 쉬야,응아도 잘하고

우다다 위글위글 그릉그릉 러블리 그 자체입니다.

 

가토를 집에 데려오고나서부터 원래 배가 빵빵했는데

의사선생님이 가토같은 경우는 처음이라고..

 

탈장도아니고 복막염도 아니래요

배가 빵빵한데 만지면 물거나 하악하지도않고

오히려 좋다고 그릉그릉했어요

의사선생님도 아파하지않고 불편하지않으면 그냥지내도 괜찮을것같다고 하셨구요

 

 

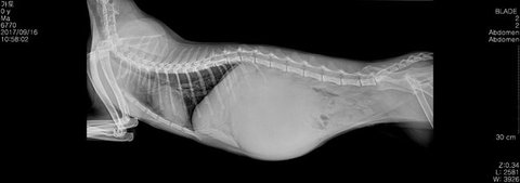
문제는 가토가 여자아이라 중성화하는데 위험할수도 있다고해서 엑스레이 찍었는데..

 

세상에 너무 깜짝놀랐어요.. 배가 2/3이 뭔가 혹?같은게 했어서요

(털에 가려있어서 잘 몰랐는데 찍고보니 무서웠어요 ㅜㅜ)

 

중성화수술은 다행스럽게 잘되서 회복도 다했구요 내일 실밥풀러갑니다.

 

 

동물농장에도 제보는 했는데... 고양이전문 동물병원 혹시 아는분 있나요..?

 

 

 

 

가토는 근육이 적당한편이래요 체중도 정상

혹같은게 몸통보다크죠..

 

 

 

 

배 홀쭉한거 보세요 ㅜㅜ

 

 

 

 

중성화 수술 마치고 놀고싶은 가토에요

장난기 가득한 가토아가씨 

 

 

 

 

모든 부위를 만지는걸 허락해주는 가토아가씨입니다

 

 

 

 

동글동글 너무 귀엽죠

 

 

 

 

 

가토는 앉아있을때 저렇게 앉아있어요ㅋㅋㅋ 세상 사람인줄 

 

 

 

 

 

마지막으로 가토 집에온지 얼마안됐을때 (약 생후 3개월)

윙크받으세요

 

이렇게 사랑스러운 고양이인데 제대로된 검진을 받고싶어 물어봅니다

제가다니는 병원은 모른다고 하니까요...아무데나 갈수도없고

 

조언해주세요!!

 

 

 

추천수6
반대수0

공감많은 뉴스 시사

더보기

뉴스 플러스