본문 바로가기
네이트
판
검색창 열기
판 검색
검색어 삭제
검색
홈
톡톡
팬톡
기자 PICK 판
MY
톡톡쓰기
오늘의 판
톡커들의 선택
명예의 전당
전체목록
책갈피
맨위로
이 게시글을 책갈피 합니다.
MY에서 그룹관리가 가능합니다.
그룹관리하기
그룹을 선택해주세요.
등록
취소
책갈피 완료!
MY > 즐겨찾기에서 확인하세요.
책갈피 해제 완료!
20대 이야기
+ 톡 채널 보기
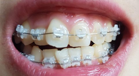
6개월간 교정변화
ㅇㅇ
|
2019.08.21 03:14
조회
60,254
|
추천
114
톡 공유하기
댓글
30
댓글쓰기
기능 더보기
크게보기
신고하기
윗니 먼저 붙이고
아랫니까지 부착완료
와... 생각보다 더 삐뚤빼뚤했었넹
2개월차
뭔가 교정이 금방 끝날 수 있겠단 헛된 꿈을 지녔음ㅎㅎㅎ
6개월차(현재)
고무줄땜에 이가 조금씩 움직여서 뭔가 간지럽구 답답함
추천
추천수
114
반대
반대수
5
네이트온 보내기
카카오톡 보내기
카카오스토리 보내기
페이스북 보내기
트위터 보내기
URL복사
베플
돌직구전문
|
2019.08.22 16:54
치열 바로 나는것만 해도, 몇천만원 벌고 태어나는거.
댓글
30
댓글쓰기
20대 이야기
+ 톡 채널 보기
인기 톡 채널
[댓글부탁해]
[어케생각해]
[어캐생각해]
태그
피부탄력강화
한식조리기능사
20대 이야기
베스트
무례한 사람은 어떻게 대처해요?
댓글
12
4차원 같다는 말
댓글
27
알바 사모님 스킨십
댓글
6
인천대 나왔다고 하면 어떤가요?
댓글
6
일진이 경찰 붙었대
댓글
1
더보기
명예의 전당
장원영 실물 체감이래
아이브 평균 신장 170 넘고 모두 실물 이쁘다던데 장원영은 진짜 무슨 게임캐릭터 같아
댓글
74
주변에 은근히 많은 사람
커뮤하면 알기싫어도 눈에 들어와
댓글
55
안유진 문상민 둘이 사귀나?
안유진 문상민 뭐 있는거 아니겠지....???
댓글
53
남사친이 나한테 색기있게생겻대ㅋㅋㅋ
음 좀 친한? 남사친한테 나 어떻게 생긴것같아? 이쁘다 못생겼다 이런거 말고 떠오르는 느낌을 말해봐봐 이렇게 물어보니까 음 넌 쫌 색기...
댓글
135
초등학생 조카의 어머니 삼행시
댓글
12
더보기
추천 많은 톡
방탄은 걍 어나더 레벨같은데
추천
177
장원영 실물 체감이래
추천
165
주변에 은근히 많은 사람
추천
138
+ 남자들은 성욕이 상상초월한거 같음
추천
107
우울증..언젠간 없어지겠죠?
추천
106
댓글 많은 톡
미혼 40살인데 주말에 애들데리고 다니는 기혼자들 보면서 승리했다는 쾌감
댓글
238
남사친이 나한테 색기있게생겻대ㅋㅋㅋ
댓글
135
전남친하고 찍은것들이 유출될까봐 무서워요
댓글
133
+ 남자들은 성욕이 상상초월한거 같음
댓글
108
우울증..언젠간 없어지겠죠?
댓글
99
새로운 베플
베플
과식 or 기름진거 먹은뒤(명절주의)에 생긴 위경련은 위경련이 아니라 담낭에 돌때문에 그런거일수도 있음. 복부초음파검사도 해보길.. 담..
한번 겪으면 진짜 아프다는 질환.jpg
댓글
7
베플
나도 위경련이 내가 겪었던 세상에서 젤 아프고 최악이었던 고통 1등이었는데 요로결석 겪고난후는 위경련 아프다 축에도 안껴짐...
한번 겪으면 진짜 아프다는 질환.jpg
댓글
7
베플
위경련은 한번 온 사람은 계속온다 위경련 잦은 사람 특징 //역류성식도염을 달고 산다. //두통,치통,뒷목통증,가슴화끈거림,날개뼈통증 (..
한번 겪으면 진짜 아프다는 질환.jpg
댓글
7
베플
진짜 다신 겪고싶지않은 고통 ㅠㅠㅠㅠㅠ
한번 겪으면 진짜 아프다는 질환.jpg
댓글
7
베플
위경련은 게비스콘, 겔포스 이런걸로 절대 안됨
한번 겪으면 진짜 아프다는 질환.jpg
댓글
7
더보기
공감많은 뉴스
시사
1
"한국에 최우선 공급하겠다"…중동 6개국 '깜짝 선언'
전체 공감 수
1,941
2
'반려견 비비탄 난사' 해병대원, 강등 징계 불복 항고
전체 공감 수
777
3
"한문철도 100:0 이랬는데"…이게 어떻게 쌍방과실?
전체 공감 수
626
4
청주 카페 알바생 父 "합의금 550만원 못 돌려받아…딸 잃을까 걱정"
전체 공감 수
549
5
대구서 분당까지 지옥의 4시간…'응급실 뺑뺑이'에 아이 잃었다
전체 공감 수
498
6
트럼프 두 아들, 이란전으로 '잭팟'? 걸프국에 드론 팔러 다닌다
전체 공감 수
474
7
"미친X, 대학도 못 가"…알바생에 550만원 뜯어낸 카페 사장 '녹취록'
전체 공감 수
368
8
대한항공 기내서 美 국방부 직원 사망…"승무원 과실" 유족 소송
전체 공감 수
326
9
"안 때리면 내가 죽어"…계부 학대 속 친모는 방관, 결국
전체 공감 수
226
10
KBS 현직 기자, 음주운전으로 차량 7대 들이받아
전체 공감 수
222
11
청담동서 '면허정지 수준' 음주운전…100만 정치 유튜버 송치
전체 공감 수
183
12
고향 찾은 이 대통령…반려견 '바비'와 생가터 앞에서 '방긋'
전체 공감 수
182
13
이재명 주범 시나리오?…박상용 녹취 3대 쟁점
전체 공감 수
160
14
호신용 권총 한 자루 쥔 실종 미군, 이란군 코앞서 24시간 버텼다
전체 공감 수
156
15
李대통령, 윤중로 깜짝 방문…시민들과 벚꽃길 소통
전체 공감 수
154
이전
1
2
3
4
5
다음
더보기
공유하기
네이트온
카카오톡
카카오
스토리
페이스북
트위터
URL복사
닫기
뉴스 플러스
어묵냄비에 순대가 봉지째로 '둥둥'…연제고분축제 위생 논란
고향 찾은 이 대통령…반려견 '바비'와 생가터 앞에서 '방긋'
K팝 낙수효과…미국서 '카더가든' 듣고, 일본서 '엠카' 더 본다
평소보다 기침·가래 심해졌다면…원인은 감기 아니라 '이것'?
못 내렸다고 선로까지…1호선 지연 부른 50대男 '황당 행동'
번호 이동했는데…10년간 빠져나간 핸드폰 요금에 깜짝
아들 부부 "집 산다" 말에…"2억 보탤 테니 공동명의하자"는 시모
현대해상
라이나생명
DB손해보험
치아보험
자동차보험
AXA손해보험
아이파크몰
건강보험
암보험