본문 바로가기
네이트
판
검색창 열기
판 검색
검색어 삭제
검색
홈
톡톡
팬톡
기자 PICK 판
MY
톡톡쓰기
오늘의 판
톡커들의 선택
명예의 전당
전체목록
책갈피
맨위로
이 게시글을 책갈피 합니다.
MY에서 그룹관리가 가능합니다.
그룹관리하기
그룹을 선택해주세요.
등록
취소
책갈피 완료!
MY > 즐겨찾기에서 확인하세요.
책갈피 해제 완료!
엔터톡
[모두드루와]
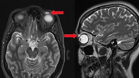
20년간 못 찾은 콘택트 렌즈
ㅇㅇ
|
2019.10.11 23:03
조회
10,205
|
추천
14
톡 공유하기
댓글
1
댓글쓰기
기능 더보기
크게보기
신고하기
추천
추천수
14
반대
반대수
0
네이트온 보내기
카카오톡 보내기
카카오스토리 보내기
페이스북 보내기
트위터 보내기
URL복사
댓글
1
댓글쓰기
엔터톡
[모두드루와]
인기 톡 채널
[드루와]
[추천선플만]
[댓글부탁해]
태그
눈매교정
메이크업배우기
엔터톡
베스트
무대인사 처음 해봐서 날아다니는 여배우
댓글
46
투어스 신유 진짜 다리짧구나......+베플주작?
댓글
189
아이돌형 vs 배우형 몸매 뭐가 더 취향
댓글
64
아이유 외모 왜케 내려치기당하는 느낌이지
댓글
132
엥???윈터 키.. 아이린만하네..???
댓글
60
더보기
명예의 전당
와이프랑 대판 싸웠다
애기는 이제 첫돌이고 와이프는 육휴임. 나는 그냥 직장인. 와이프가 출산때부터 하는 말에 가시가 있다고 느꼈는데 그냥 그러려니 넘겼음...
댓글
174
여자들이 그냥 나이들어도 자신감을 가지면 좋겠다
노산 이런 말 신경 쓰지 말고 여자 나이 40넘어도 얼마든지 애 낳고 싶으면 건강한 아기 순산할수 있으니까 본인이 그럴수 있다고 자신감만...
댓글
135
결혼하고 나니 친정엄마가 밉다
결혼전에는 엄마랑 사이가 좋았고 결혼하고 나면 우리 엄마 보고 싶어 어쩌나 애틋하고 슬픈 마음에 식장에서까지 엉엉 울었는데 살면 살수...
댓글
106
증상별로 먹는 사이다 소화제
댓글
53
요즘 여자들 성형 시술문화 너무 ㅁㅊ거같음
아니 솔직히 한남들은 여자들이 미용에 신경쓸 동안 그 돈 모으거나 주식투자하거나 자기계발에 더 쓰는데 여자들은 연예인할것도 아니면서...
댓글
104
더보기
추천 많은 톡
와이프랑 대판 싸웠다
추천
425
결혼하고 나니 친정엄마가 밉다
추천
317
여자들이 그냥 나이들어도 자신감을 가지면 좋겠다
추천
218
요즘 여자들 성형 시술문화 너무 ㅁㅊ거같음
추천
187
무대인사 처음 해봐서 날아다니는 여배우
추천
148
댓글 많은 톡
투어스 신유 진짜 다리짧구나......+베플주작?
댓글
189
와이프랑 대판 싸웠다
댓글
174
원래 결혼하면 친정욕 먹는거 감수해야 하나요?
댓글
146
여자들이 그냥 나이들어도 자신감을 가지면 좋겠다
댓글
135
아이유 외모 왜케 내려치기당하는 느낌이지
댓글
132
새로운 베플
베플
카리나 솔로곡 정식으로 뽑아줬으면 좋겠다. up 진짜 좋았는디.. 물론 sm특성상 재계약 전엔 안해주겠지
카리나윈터 유닛나오나?
댓글
21
베플
ㅁㄷ 그래두 이가은 한초원 인생 훔친 도둑듀오는 아니라서 다행이넹 ㅜㅜ ㅎㅎ
카리나윈터 유닛나오나?
댓글
21
베플
칼윈 유닛 ㅈㄴ 레전드일듯ㅋㅋㅋ 비주얼 실력 안되는게 없자너
카리나윈터 유닛나오나?
댓글
21
베플
성괴돌ㅋ
카리나윈터 유닛나오나?
댓글
21
베플
이쁘기만한데
[드루와]오늘자 신유 비율 왜이래???
댓글
11
더보기
공감많은 뉴스
연예
1
안정환, 유튜브 수익금 전액 4억 3600만원 기부 "나도 어릴 때 넉넉하지 않아"(유퀴즈)
전체 공감 수
614
2
'님아, 그 강을…' 강계열 할머니, 102세로 별세…"좋아하는 할아버지 곁으로"
전체 공감 수
292
3
"쓰러진 故 김창민 감독 머리에 싸커킥"…가해자 영장 내용 '충격적'[스타이슈]
전체 공감 수
177
4
아이유X변우석, 시청률 7.8%…MBC 금토극 역대 3위 출발 ['21세기 대군부인' 첫방 ②]
전체 공감 수
156
5
시청률 4%로 떨어졌던 '나혼산', 김신영 출연에 '6.1%' 상승→최고 '7.8%' [종합]
전체 공감 수
126
6
BTS 진, 기안84·지예은 만났다…콘서트서 포착된 찐우정
전체 공감 수
122
7
손담비♥이규혁, 성대한 딸 돌잔치 현장…돌잡이=마이크 "母 따라서 가수"
전체 공감 수
88
8
방시혁 의장, BTS 고양콘 등장…백종원·소유진·보넥도도 응원
전체 공감 수
82
9
아이유·변우석, 스캔들에 혼전 임신설 확산…"상상력 미쳤다" (대군부인)[종합]
전체 공감 수
80
10
'미수다' 에바, 20년 만에 韓 국적 취득…"눈물 날 것 같아" 감격[스타이슈]
전체 공감 수
77
11
김신영, 요요 온 이유 있었다 "故 전유성, 아끼지 말고 먹으라고" ('나혼산') [종합]
전체 공감 수
70
12
옥주현, 190억에 한남더힐 샀다···'생애 첫 내집'
전체 공감 수
68
13
'뉴진스 퇴출' 다니엘, 430억 소송 피소 그 후…올리비아 마쉬가 전한 근황 보니
전체 공감 수
66
14
홍지윤, '현역가왕3' 우승 상금 1억 독거노인 위해 전액 기부 '훈훈'
전체 공감 수
66
15
구성환, 꽃분이 떠난 뒤 살 '쏙' 반쪽 얼굴…"눈물의 420km 국토대장정 중" ('나혼산')
전체 공감 수
57
이전
1
2
3
4
5
다음
더보기
공유하기
네이트온
카카오톡
카카오
스토리
페이스북
트위터
URL복사
닫기
뉴스 플러스
경북 경주서 가드레일 충돌한 승용차 추락…60대 여성 4명 숨져
가스 배관 타고 온 스토커 자매살인까지 단 3분 20초…울산자매 살인사건
1219회 로또 1등 당첨번호 '1·2·15·28·39·45'번…1등 당첨지역 어디?
감 따다 들키자 되레 '막대기 난타'…전치 5주 부상 입힌 50대 여성 실형
남편 장례식 후 친해진 친척, 알고보니…'수면제 김밥' 먹이고 절도
"앗, 커피 남았네" 다시 홀짝홀짝…텀블러 안에선 충격 변화
"딸, 결혼 꼭 해야 해" 괜한 잔소리 아니었다…미혼 여성, 기혼보다 암 발병률 85% 높았다
현대해상
라이나생명
DB손해보험
치아보험
자동차보험
AXA손해보험
아이파크몰
건강보험
암보험