본문 바로가기
책갈피

폐렴에 숨진 17세 고교생 CT·엑스레이 공개…의료계 해석 분분

ㅇㅇ |2020.03.24 20:43
조회 217 |추천 1

 

 

 

 

"코로나19 전형인 간유리음영 보여"…"의학적 의심 여지없는 결론 냈어야"

입원 당시 간·백혈구 수치 정상…"바이러스성 폐렴 추정"

유가족 "헛되이 보내고 싶지 않다…일반 환자 제때 치료하는 체계 세웠으면…"

 

유가족 동의 아래 정군을 의미 있게 보내려는 국민청원 두 개가 동시에 진행

 

 

 

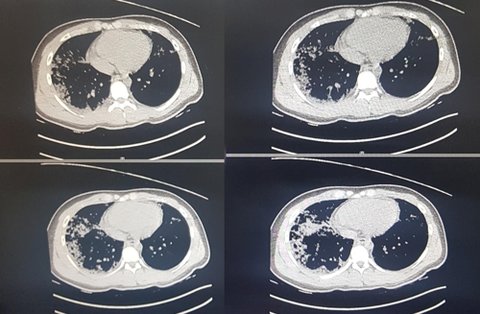
신종 코로나바이러스 감염증(코로나19) 감염 여부로 논란이 불거진 17세 고교생 폐 CT 사진이 공개되자 사망 원인을 놓고 여러 해석이 의료계에서 나오고 있다.

숨진 정모군 부모가 24일 공개한 컴퓨터 단층촬영(CT) 사진을 보면 기관지 아래인 폐 뒤쪽과 가장자리에 병변이 발생한 것을 확인할 수 있다.

CT 사진은 지난 13일 오후 9시 8분 영남대병원에서 찍은 것으로 당시 정군 체온은 40도를 넘었다.

◇ 빠른 속도로 악화한 폐…CT·엑스레이에 고스란히

 

폐 사진을 본 대구·경북 지역 전문의들은 정군 예후가 단기간 급격히 나빠진 것으로 해석했다.

몇몇 전문의들은 '코로나19 전형'으로 해석하는 간유리음영(Ground-grass opacity, GGO)이 보인다고 했다.

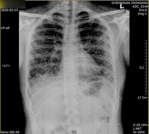
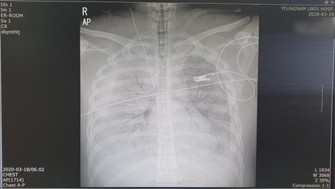
지난 13일부터 사망 당일인 18일까지 매일 찍은 엑스레이 사진은 점차 흰색으로 도배돼 일반인 눈으로도 폐가 제 기능을 할 수 없는 상황임을 알아챌 수 있다.

진료 기록상 정군의 간 수치는 입원 후 계속 올라갔다.

입원 첫날(13일) 간기능검사 수치는 AST 24(정상 수치 10∼35IU/L), ALT 16(정상 수치 0∼40IU/L)으로 정상 범주였다.

AST는 16일 467로 치솟아 17일 546, 사망 당일인 18일에는 898까지 올라갔다. ALT도 17일 139, 18일 187로 정상 범위를 급격하게 초과했다.

진료기록과 폐CT·엑스레이를 확인한 대구지역 내과 전문의 A씨는 "엑스레이상 초반에는 오른쪽 폐 상태가 나빴는데 점점 증상이 양쪽으로 심해졌다"며 "처음 방문한 병원에서 침윤 증세, 즉 폐렴 소견을 낸 것으로 보아 첫 번째 병원에 방문하기 전부터 몸 상태가 좋지 않았을 수도 있다는 생각이 든다"고 말했다.

경북지역 이비인후과 전문의 B씨는 "단순히 CT만으로는 폐포에서 바이러스성 폐렴이 일어난 것으로 보이는 양상이다"며 "진료기록에 초반 며칠간은 열이 40도 이상인데도 백혈구(WBC) 수치가 정상인 걸 보면 세균성이 아닌 바이러스성 폐렴으로 추정할 수 있다"고 밝혔다.

그는 "세균성 폐렴일 경우 백혈구 수치가 올라가지만, 바이러스성 폐렴은 그렇지 않다"며 "정군의 경우 16일 오전 10시 32분까지 7.74로 정상 범주이던 백혈구 수치가 같은 날 오후 6시 58분에는 11.55로 올라갔다"고 지적했다.

이어 "보통 일차로 바이러스가 들어오면 이후 세균이 뒤따라온다"면서도 "16일 정군이 기침하면서 인공호흡기가 빠져 재투입했다는 걸 보면, 인공호흡기가 빠져나오면서 점막이 긁혔을 가능성도 있다"고 말했다.

또 "차트상 딱 부러지는 오류가 없고, 병변 진행 속도가 너무 빨라 납득이 잘 안 된다"며 "항생제 좋은 걸 두 가지 쓰긴 썼던데 병이 심해지기 전부터 조금 더 강하게 썼으면 하는 아쉬움이 있다"고 말했다.

◇ "의학적 의심 여지가 없는 결론 냈어야…."

폐렴을 일으키는 세균도, 바이러스도 가지각색이다. 폐에 물이 차면 이차 세균 감염 우려가 있다.

그 때문에 의학적으로 논란이 있는 사안이 발생하면 의료계 전체가 공감할 수 있는 결론을 내고 유사 사례가 발생하지 않도록 해야 한다는 지적이 잇따른다.

대구지역 외과 전문의 C씨는 "기침으로 인공호흡기 벌룬이 빠져나온다고 해서 쉽게 기관지가 손상되지는 않는다"면서도 "코로나19 사태에서 정군 사망은 이례적인 사건으로 정부가 부검 등을 통해 사인을 명확히 규명하지 않아 의료인 사이에 여전히 논란거리로 남게 됐다"고 비판했다.

보건당국 관계자는 "정군 죽음을 정치적으로 몰고 가면 안 된다. 의학적 차원에서 의심의 여지가 없는 결론을 냈어야 했다"며 "코로나19건 아니건 결국 어떤 형태로든 폐렴이 오고 합병증까지 와서 숨진 사건으로 너무 안타깝다"고 말했다.

한편 신종감염병 중앙임상위원회는 지난 23일 정군 사인에 대해 세균성 폐렴 소견이 보였다는 의견을 제시하며 사이토카인 폭풍으로 추정했다.

 

◇ 부검 원치 않았지만…"아들 의미 없이 보내고 싶지는 않아"

부모는 정군 부검을 원하지 않았다.

부검해도 아들 사인이 크게 달라지지 않았을 것이라고 판단했다.

정군 아버지는 "어떻든 간에 코로나19 사태로 아들이 죽었고, 헛되이 보내고 싶지 않다"며 "책임 있는 기관에서 위로의 말 한마디 없는 상황에 낙담하고 있다"고 말했다.

이어 "코로나19 환자에게 밀려난 일반 환자들이 제때 치료받을 수 있는 체계가 세워졌으면 한다"고 했다.

정군 형은 "중앙정부가 못하면 직접 관할지인 경북도나 교육청이라도 이 비극에 대해 한마디 해야 하는 것 아니냐"며 "경산시장조차 유감이란 말 한마디 없이 입을 다물고 있으니 갑갑할 노릇이다"고 했다.

유가족 동의 아래 정군을 의미 있게 보내려는 국민청원 두 개가 동시에 진행되고 있다.

추천수1
반대수0

공감많은 뉴스 연예

더보기

뉴스 플러스