본문 바로가기
책갈피

+추가) 치아 교정해보신 분들 이거 진짜인가요?

ㅇㅇ |2021.01.13 01:57
조회 123,009 |추천 26
+ 조언 감사합니다!! 의견 하나하나 다 읽어보았어요 진짜 고민되네요ㅜㅜ 아 저는 발치가 따로 필요없는 치아라고 하네요!

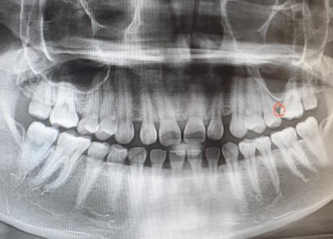
혹시 몰라 엑스레이도 찍어왔는데 뿌리가 긴 편이라고 하더라구요? 긴편인지 아닌지는 저는 모르겠지만요ㅎㅎ 긴 편에 속하는거 맞나요?? 일단 사진 추가 합니다!
계속해서 의견 알려주세요!


안녕하세요 치아 교정하라고 제안받은 20대초반 여자입니다

초등학교때도 치아 교정하라고 하였으나 집안 상황때문에 하지않았고 그 뒤로도 딱히 제 치아에 대해 콤플렉스나 스트레스가 없었어요
벌어져있긴했지만 보기싫을 정도는 아닌 것 같아서요

일단 치과에서 상담을 받고 가격까지 다 받아온 후에 치아 교정하고나면 부작용?이 꽤 있다고 하더라고요

이 시림, 잇몸 시려움, 잇몸이 약해지고 치아 뿌리가 짧아진다?, 블랙트라이앵글, 잇몸 내려앉는거 등등 부작용이 꽤있는 것 같던데 병원에서는 딱히 설명을 자세하게 안해주시길래 조언받고자 글 씁니다,,

진짜 해보신 분들 저런 부작용 느끼시는지 궁금합니다. 후회하실 정도 인가요?

물론 저는 20대니까 지금은 당장 하면 부작용없겠지만 나중에 40대 50대가 되면 제가 교정을 후회할까봐요ㅜㅜ

저 정말 해야 될 정도인가요??


추천수26
반대수60
베플ㅡㅡ|2021.01.13 02:11
그정도 라면 전 안해요 전 돌아간다면 안해요 ㅋㅋㅋ 부정교합도 아니고 치열이 이상해 보이지도 않아요 그냥 조금 벌어진.정도라면 안해도 될거같아요 나열하신 부작용이 눈에.보이진.않아서 모르겠으나 확실히 약해진건 맞아요~억지로 당기고 조이는데 약해지것죠~
베플ㅇㅇ|2021.01.13 17:35
엥? 저렇게 벌어져 있을 정도면 해야되는거 아닌가.. 나도 지금 교정 중이고 저정도면 해야될 거 같은데.. 치아 쪼일 땐 아프지만 친구들한테 교정하고 점점 예뻐진다는 소리 들을 때마다 괜히 했다 싶진 않음
베플|2021.01.13 16:31
저는 교정 완전 추천드려요 저도 심하지는 않았는데 제 스스로가 사람을 제일 먼저 볼때 치아를 제일 먼저 봐서 콤플렉스라고 느껴서 고등학교시절 내내 고민하다가 22살에 결국 교정했어요! 저는 치아가 고르지 않으면 좀,,그렇더라구요,,, 1년 1개월만에 끝난 정말 간단한 교정이였지만 혹시 몰라서 교정전문치과에서 교정을 끝마쳤어요 교정 중에는 잘 못먹어서 살빠진다고 주변에서 얘기했지만 저는 교정 중에 닭발도 먹고,,,(살도 쪘어요ㅠㅠ)불편한거 하나 없었어요~ 그리고 양치도 원래 잘 안했었는데 교정 중에는 양치 습관도 잘 잡아서 교정이 끝난 지금도 양치는 엄청 잘한답니다! 한가지 아쉬운건 이거를 하루라도 빨리 시작하지 않았다는게 제일 아쉬웠어요! 저도 부작용은 없고,,,고정식 유지장치만 잘 하고 치과검진만 오라고 할때 제때 가면 문제 없어요~ 지금 고민되신다면 그냥 하루라도 빨리 병원에서 상담받고 바로 교정 시작하세요,,!!
베플ㅇㅇ|2021.01.13 13:30
치아교정했는데 절대 비추요 치열보니까 이쁜편임 솔직히 나는 인중도 짧은쳔에다가 앞니가 많이튀어나와서 한거고 치아교정하니 잇몸약해져서 피곤하거나 컨디션안좋으면 붓고 시리고 땡땡 부어있는게 살짝아픔 차가운거 먹거나 찬물마시면 가끔 시렵고 치아교정진짜 힘듬 그냥 솔직히 치열박살난거아니면 그냥살아요 진심임
베플닉네임|2021.01.13 12:26
저 정도면 하지 마세요.. 치아교정부작용중: 치은퇴축 치근흡수는 99.9프로 옵니다..

공감많은 뉴스 시사

더보기

뉴스 플러스