
병원마다 말이 다른데 누구 말이 맞는지 확인하고 싶어
내가 할 수 있는 게 뭐가 있을까?
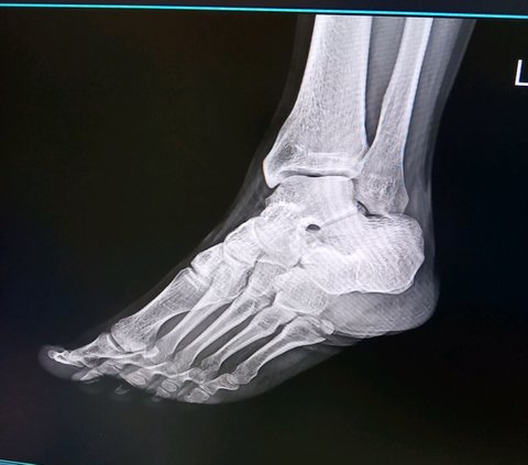
A병원
어이구, 엑스레이 보니까 골편도 크고요
이 부위가 인대가 붙어 있어서 계속 잡아당기는 부위예요.
잡아당기기 때문에 뼈가 안 붙습니다.
내일 수술해야 하니까 나가서 간호사가 수술 어떻게 할 건지 설명해 줄 겁니다.
(다른 병원 가서 더 확인해 보겠다 함.)
-찍찍이 반깁스랑 목발 처방-
목발 꼭 쓰셔야 하고 발 디디면 안 됩니다.
B병원(첫번째 방문)
골절이 크긴 크네요.
직업이 어떻게 되세요?(학생)
당뇨 같은 거 있으세요?(아니요)
골절이 커서 오래 걸리긴 할 거 같은데 그래도 붙긴 붙어요. 운동선수면 수술하라 하는데 선수 아니면 수술 안 해도 돼요. 여기는 잘 붙는 부위거든요.
(전에 갔던 병원에서 인대가 잡아당겨서 안 붙는다고 하던데요.)
아~ 그건... 전문용어로는 인쒈션(?)이라고 하는 건데요. 발을 사용할 때마다 힘줄이 뼈를 움직이게 하면서 뼈 붙는 걸 방해하는 거죠.
이것도 위치마다 달라요. 세군데로 나눠서 1구역, 2구역, 3구역으로 나누는데, 3구역에서는 작은 자극에도 인쒈션이 강하게 나타나서 불안정하고, 1구역에서는 자극이 커야만 인쒈션이 나타나서 안정적이죠. 환자분은 1구역 골절이고요. 3구역은 골진 나올 때까지 깁스하고 걷지도 못하는데, 1구역은 깁스만 잘 하면 살살 걸어도 안 벌어져요. 그래서 3구역은 골진 늦게 나올 거 같다 싶으면 수술하라 하죠.
(치료기간은 얼마나 걸릴까요)
반깁스는 3주 정도 그대로 하시고 걷는 건 처음부터 걸으셔도 돼요. 그리고 3주 정도 보조기 차면 아마 골진이 확인될 거예요. 그리고 일상생활하시면 되고 다 붙는 데는 반 년 가까이 걸려요.
(걸어도 괜찮을까요)
그 기준이 통증이에요. 1구역 골절은 안 아프면 목발 필요없고 절뚝거리면서 천천히 살살 걸어다니면 돼요.
C병원
수술하면 전신마취나 하반신마취해야 하니 쉽게 생각할 일 아니고, 나중에 나사 빼는 수술도 또 해야 하는데 너무 힘들 거에요. 그리고 뼈가 상당히 갈라지는 형태로 부러져서 나사 하나로 안 되고 핀 여러 개를 세세하게 박아야 하니까 깁스만 하시는 게 낫지 않을까 싶네요.
근데 목발은 안 하시나요?
(1구역 골절은 목발 안 하고, 3구역 골절일 경우에 목발 한다고 해서요.)
1구역 3구역 이야기는 어디서 들으셨나요?
(다른 병원에서 그렇게 이야기하더라고요)
저도 모르는 내용이고 1구역 3구역 그런 게 의미가 있나 싶네요. 뼈 붙으려면 발을 사용 안 하는 건 기본인데
B병원(두번째 방문)
걸어도 안 벌어집니다. 걱정하지 마세요.
전에도 말씀드렸던 것 같은데... 환자분이 다친 곳이 1구역이고, 1구역은 붙어 있는 힘줄이 넓게 포진되어 있어서요 잡아당기는 힘이 분산돼요. 그래서 깁스로 고정만 해주면 쉽게 안 벌어지죠.
그래서 1구역은 뼈 진이 확인되기 전부터 통증을 기준으로 걷기 운동을 허용해서 치료해요.
(그래도 안 걷는 게 더 확실하진 않을까요?)
그러면 왜 저를 다시 찾아오셨나요? 괜찮다니까요. 그리고 이건 오히려 살살 걸어야 빨리 나아요. 계속 목발만 쓰고 안 걸으면 골다공증 생겨서 뼈가 더 늦게 붙을 수 있고요. 근육이 다 빠져서 나중에 재활하느라 고생해요.
깁스로 보호한 상태에서 조심해서 걷는 걸 전문용어로 프로텍티드 웨이트베어링이라 하고요. 1구역 골절은 이게 스탠다드에요. 위치도 1구역이고 피로골절 소견이 안 보여요.