본문 바로가기
네이트
판
검색창 열기
판 검색
검색어 삭제
검색
홈
톡톡
팬톡
기자 PICK 판
MY
톡톡쓰기
오늘의 판
톡커들의 선택
명예의 전당
전체목록
책갈피
맨위로
이 게시글을 책갈피 합니다.
MY에서 그룹관리가 가능합니다.
그룹관리하기
그룹을 선택해주세요.
등록
취소
책갈피 완료!
MY > 즐겨찾기에서 확인하세요.
책갈피 해제 완료!
결혼/시집/친정
+ 톡 채널 보기
남친 때문에 앞니가 깨졌는데
ㅇㅇ
|
2022.06.04 03:15
조회
4,205
|
추천
0
톡 공유하기
댓글
10
댓글쓰기
기능 더보기
크게보기
신고하기
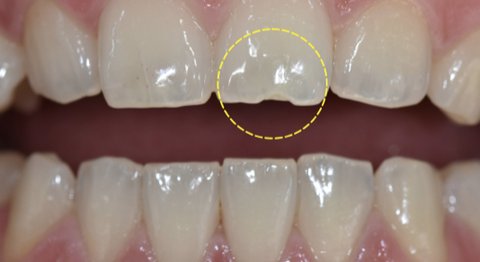
ㅠㅠㅠ 볼때마다 너무 스트레스에요
심하게 깨진건 아닌데 앞니 볼때마다 너무 속상하네요 ㅠㅠㅠ
가지런한 앞니인데 미세하게 깨져있어서 진짜 너무 스트레스인데
치과가면 얼마 나올까요….
사진은 제 앞니랑 비슷한 사진 찾아서 올려요ㅠ
추천
추천수
0
반대
반대수
1
네이트온 보내기
카카오톡 보내기
카카오스토리 보내기
페이스북 보내기
트위터 보내기
URL복사
댓글
10
댓글쓰기
결혼/시집/친정
+ 톡 채널 보기
인기 톡 채널
[댓글부탁해]
[어케생각해]
[방탈죄송]
태그
피부탄력개선
암요양병원
결혼/시집/친정
베스트
아들 둘 키운게 대단한건가요?
댓글
66
친구한테 장문의 비난톡받았는데 어떻게 대처해야할까요
댓글
35
결혼하려고 노력했는데 잘 안되네요
댓글
30
부정선거 이 댓글 하나로 끝낸다.
댓글
22
카페에서 떡 먹는거 괜찮을까요?
댓글
15
더보기
명예의 전당
장원영 실물 체감이래
아이브 평균 신장 170 넘고 모두 실물 이쁘다던데 장원영은 진짜 무슨 게임캐릭터 같아
댓글
77
주변에 은근히 많은 사람
커뮤하면 알기싫어도 눈에 들어와
댓글
55
안유진 문상민 둘이 사귀나?
안유진 문상민 뭐 있는거 아니겠지....???
댓글
53
남사친이 나한테 색기있게생겻대ㅋㅋㅋ
음 좀 친한? 남사친한테 나 어떻게 생긴것같아? 이쁘다 못생겼다 이런거 말고 떠오르는 느낌을 말해봐봐 이렇게 물어보니까 음 넌 쫌 색기...
댓글
135
초등학생 조카의 어머니 삼행시
댓글
12
더보기
추천 많은 톡
방탄은 걍 어나더 레벨같은데
추천
179
장원영 실물 체감이래
추천
172
아기맹수 방송에 작작 좀 나와
추천
169
주변에 은근히 많은 사람
추천
141
늙남 만나는거 신기함
추천
104
댓글 많은 톡
미혼 40살인데 주말에 애들데리고 다니는 기혼자들 보면서 승리했다는 쾌감
댓글
238
남사친이 나한테 색기있게생겻대ㅋㅋㅋ
댓글
135
전남친하고 찍은것들이 유출될까봐 무서워요
댓글
133
늙남 만나는거 신기함
댓글
101
장원영 실물 체감이래
댓글
77
새로운 베플
베플
어차피 다 각자의 입장에서 감정 이입하는건데 어이없을게 뭐임? 시어머니가 주인공인 드라마를 봤다면 님은 시어머니 입장보단 며느리의 ..
시어머니가 며느라기 드라마보고 우셨어요;;
댓글
5
베플
딱하지만 마음 비우고 살아요. 전 남친과의 이야기를 보니 그 남자는 쓰니랑 결혼 생각이 아예 없었네요. 다른 남자인들 별 다를까요, 이제..
결혼하려고 노력했는데 잘 안되네요
댓글
30
베플
군캉스군캉스 하니까 군대가 쉬워보인다는거랑 같은 1차원적인 글이네 부럽다 이렇게 단순하게 살수있다니
택배기사가 힘든일인가요?
댓글
27
베플
독립 좀 해라. 부모님도 좀 즐기면서 사시게. 불효년이 따로 있냐. 부창부수네 진짜.
애없는 맞벌이인데 친정엄마가 일주일치 반찬 싸다줌
댓글
36
베플
안보면 됩니다 관계에 스트레스받지마세요. 친구 그런거? 아무것도 아니고요 나이들수록 점점 주변을 정리할겁니다. 그 친구가 잘했다 못했..
친구한테 장문의 비난톡받았는데 어떻게 대처해야할까요
댓글
35
더보기
공감많은 뉴스
시사
1
"한국에 최우선 공급하겠다"…중동 6개국 '깜짝 선언'
전체 공감 수
2,049
2
대구서 분당까지 지옥의 4시간…'응급실 뺑뺑이'에 아이 잃었다
전체 공감 수
549
3
'반려견 비비탄 난사' 해병대원, 강등 징계 불복 항고
전체 공감 수
543
4
"한문철도 100:0 이랬는데"…이게 어떻게 쌍방과실?
전체 공감 수
396
5
대한항공 기내서 美 국방부 직원 사망…"승무원 과실" 유족 소송
전체 공감 수
394
6
청주 카페 알바생 父 "합의금 550만원 못 돌려받아…딸 잃을까 걱정"
전체 공감 수
320
7
트럼프 두 아들, 이란전으로 '잭팟'? 걸프국에 드론 팔러 다닌다
전체 공감 수
318
8
KBS 현직 기자, 음주운전으로 차량 7대 들이받아
전체 공감 수
234
9
"미친X, 대학도 못 가"…알바생에 550만원 뜯어낸 카페 사장 '녹취록'
전체 공감 수
226
10
고향 찾은 이 대통령…반려견 '바비'와 생가터 앞에서 '방긋'
전체 공감 수
220
11
李대통령, 윤중로 깜짝 방문…시민들과 벚꽃길 소통
전체 공감 수
195
12
어묵냄비에 순대가 봉지째로 '둥둥'…연제고분축제 위생 논란
전체 공감 수
194
13
호신용 권총 한 자루 쥔 실종 미군, 이란군 코앞서 24시간 버텼다
전체 공감 수
163
14
이재명 대통령 부부, 부활절 예배 참석
전체 공감 수
163
15
청담동서 '면허정지 수준' 음주운전…100만 정치 유튜버 송치
전체 공감 수
124
이전
1
2
3
4
5
다음
더보기
공유하기
네이트온
카카오톡
카카오
스토리
페이스북
트위터
URL복사
닫기
뉴스 플러스
어묵냄비에 순대가 봉지째로 '둥둥'…연제고분축제 위생 논란
고향 찾은 이 대통령…반려견 '바비'와 생가터 앞에서 '방긋'
K팝 낙수효과…미국서 '카더가든' 듣고, 일본서 '엠카' 더 본다
평소보다 기침·가래 심해졌다면…원인은 감기 아니라 '이것'?
못 내렸다고 선로까지…1호선 지연 부른 50대男 '황당 행동'
번호 이동했는데…10년간 빠져나간 핸드폰 요금에 깜짝
아들 부부 "집 산다" 말에…"2억 보탤 테니 공동명의하자"는 시모
현대해상
라이나생명
DB손해보험
치아보험
자동차보험
AXA손해보험
아이파크몰
건강보험
암보험