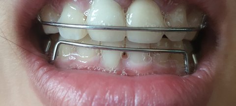
교정 끝나고 얼마전부터 유지장치 하는데 이렇게 생긴거 하루종일 끼고다니는거라 데이트 할때도 끼거든?? 근대 그러면 남친이랑 키스 하거나 할때는 어떻게 해? 잠깐 이러면서 뺄수도 없고.. 가뜩이나 발음도 안되서 쪽팔리고 뺄때 침늘어나는거 드러워죽겠는데
+이거 끼고 스킨십(키스 등등..) 해본 사람은 없어?? 알려주라..
교정 끝나고 얼마전부터 유지장치 하는데 이렇게 생긴거 하루종일 끼고다니는거라 데이트 할때도 끼거든?? 근대 그러면 남친이랑 키스 하거나 할때는 어떻게 해? 잠깐 이러면서 뺄수도 없고.. 가뜩이나 발음도 안되서 쪽팔리고 뺄때 침늘어나는거 드러워죽겠는데
+이거 끼고 스킨십(키스 등등..) 해본 사람은 없어?? 알려주라..