본문 바로가기
책갈피

치아성형,치아미백만 했을 뿐이라고? 연예인 반전외모 종결자!!

스물스물 |2011.07.26 10:30
조회 1,347 |추천 0

치아성형,치아미백만 했을 뿐이라고?

연예인 반전외모 종결자!!
 

 

웃을 때 하얀 이가 가지런히 드러나는 연예인들을 보면 참 미소가 예쁘다는
생각이 드는 반면, 웃을 때 훤히 들어나는 누런 이 때문에 매력이 반감되는 스타들도 있다.
작은 것 하나까지도 빈틈없이 관리해야 하는 직업이기 때문에
웃을 때 살짝 보이는 치아도 그냥 넘어갈 수 없는 법!
요즘 연예인들은 피부관리 만큼이나 치아관리에도 많은 공을 들이기 때문에
치아미백이나 치아성형을 위해 치과를 찾는 연예인들이 많다고 한다.
데뷔 초에는 신경 못 쓰다가 인기를 얻은 후에, 혹은 최근에 들어 가지런하게
치아를 정돈하는 치아성형을 하거나 깨끗하고 깔끔한 인상을 주는 치아미백을
한 경우도 많은데.
그렇다면 치아성형이나 치아미백으로 예쁜 미소를 되찾은 연예인들, 누가 있을까?

 

 

최근 스파이명월로 오랜만에 안방극장에 컴백한 한예슬.
미모의 한류 단속반 요원 한명월로 분해 특유의 매력을 한껏 발산하며 만화 같은
사랑이야기를 만들어 가고 있다.
그러나 귀여우면서 도시적인 분위기가 물씬 나는 지금 모습과는 너무도 다른
데뷔 전 모습이 있었으니!

 

 

이목구비, 생김생김은 둘째치더라도 고르지 못한 치열과 누런 이는
이 사람이 정말 한예슬이 맞는지 의심이 들 정도인데.
웃을 때 보이는 저 날카로운 송곳니는 드…드…드라큘라 송곳니?....ㅠ

 

 

대한민국 대표 섹시아이콘 이효리! 이효리의 가지런하고 하얀치아가 돋보인다.
까무잡잡한 얼굴에 반달눈을 가지고 있어 자칫 촌스러워 보일 수도 있는 외모를
가지고 있지만 털털하고 섹시한 매력으로 최고 워너비스타의 자리를 꿋꿋이
지키고 있다. 하지만 그녀도 치아성형과 치아미백으로 예쁜 미소를 되찾은 연예인
중 한명이라는데. 그녀의 예전 모습은 어땠을까?


 

 

핑클로 데뷔하기 전, EBS 청소년 드라마에 출연했을 당시의 모습이다.
작은 반달형 눈과 특유의 애교눈웃음, 까무잡잡한 피부까지 달라진 게 없지만
유독 튀어나온 앞 니와 고르지 못하고 울퉁불퉁한 치열이 눈에 거슬리는데.
우려했던 결과 그대로, 치아성형과 치아미백 전 이효리의 모습은 지금의
섹시한 이효리와는 매치되기 어려울 정도로 촌스러운 모습이다.

 

 

드레스가 가장 잘 어울리는 연예인, 수애!
오죽하면 드레수애로 불리겠는가? 독보적이라 할 만큼 청아하고 고급스러운
매력을 가진 수애 또한 유난히 하얗게 빛나는 치아를 가지고 있는데.

  
 

 

지금의 고급스러운 모습은 찾아볼 수 없고 삐죽삐죽 불규칙한 치열에,
덧니까지… 말괄량이 삐삐가 떠올려 지는 그녀의 데뷔 전 모습은
너무도 충격적이다.
이처럼 치아성형과 치아미백만으로도 이미지가 확 달라지는 것을
느낄 수 있는데. 나도 연예인들처럼 고르고 하얀 이를 가질 순 없을까?
연예인들의 예쁜 치아, 어떻게 만들어지는 것일까?


 
< 출처 : 청담 블루밍치과 >

가장 먼저, 많이 들어봤을 법한 라미네이트 시술이 있는데.
눈에 보이는 앞쪽 치아표면을 깎고 다듬은 뒤 치아표면과 유사한 인조손톱 모양의
얇은 라미네이트를 제작하여 붙이는 방법이라고 한다. 앞니 사이 틈새가 있거나,
치아색과 모양에 이상이 있는 경우 흔히들 사용하는 방법.
라미네이트는 일반인들도 많이 사용하는 대중화 된 시술이라고 한다.

 


< 출처 : 청담 블루밍치과 >

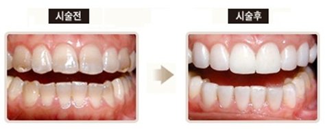
또 한가지 방법은 치아 화이트닝 시술인데, 누런 치아를 원래의 색조로 회복시키거나
더 희게 하는 치료법으로 각 치아에 미백약물을 바른 후, LED 방식의 특수한 빛과 열을
사용하여 하얗게 치아를 미백시켜주는 방법이다.
치료시간도 굉장히 짧고 치아에 손상을 주지 않으면서도 그 효과가 매우 좋아,
많은 사람들이 이 시술법을 선호한다고 한다.

 

 

치아성형, 치아미백! 연예인들만 하는 귀족시술이었던 시절은 지났다.
이제는 자신의 콤플렉스에서 벗어나고 더 원만한 대인관계를 위해서 치아성형과 치아미백을
위해 치과를 찾는 일반인들도 점점 늘어나고 있는 추세.
누렇게 닳아버린 울퉁불퉁 고르지 못한 치열을 가졌다면
깔끔한 이미지로의 변신을 위해 치아성형, 치아미백에 도전해 보는 건 어떨까?
 

추천수0
반대수0

공감많은 뉴스 연예

더보기

뉴스 플러스