본문 바로가기
책갈피

억울한 의료사고 뻔뻔한 동물병원 어떡하죠?

tomyona |2017.03.20 23:14
조회 1,988 |추천 28

요나 생각만하면 아직도 가슴이 저리지만

최대한 감정을 빼고 있는 사실 그대로를 적었습니다.

 

 

파주 모동물병원 원장의 잘못된 수술로

평생 다리에 장애를 안고 살아야하는 요나의 이야기입니다.

   

 

3월 2일

이제 막 9개월인 요나의 중성화 상담을 하러 파주 모동물병원에 방문했습니다.

 

 

원장은

요나를 보고 슬개골탈구가 너무 심각해서

중성화수술을 하면 배가 땡겨 더 못 걷고

지금 당장 슬개골수술을 하지 않으면

곧 다리가 더 오그라들어 앉은뱅이 불구가 된다고,

요나가 자신의 개라면 슬개골을 먼저 수술시킬 거라 했습니다.

 

전문서적을 펼쳐 보여주며 미국식으로 하면 60% 탈구이지만

자신만의 독일식 슬개골수술로 하면 "절대 재탈구없다."라며 단언했습니다.    

 

 

수술 후 X-ray 사진도 없고,

수술방식이나 수술결과 설명은커녕

수술 전 피검사도 요나가 너무 작아 하지 않았다고 했습니다.

 

 

수술한 다음날 붕대를 풀더니 요나의 꼬리를 잡고 걸어보라고 하는데

왼쪽다리는 전혀 땅에 딛지 않고 들고 있는데도 잘 걷는다며,

수술은 성공적이었다고 했습니다.

 

   

 

수술 당일 포함 6일간 그 병원을 통원치료하며

요나는 1.4kg에서 체중이 20%가량이 줄고

걷기는커녕 점점 움직임이 적어지고 계속 토만 했습니다.

 

다른 사람들의 강아지는 슬개골수술 후 3일이면 걸으려 시도한다는데

요나는 움직이지 않으려하고

발바닥을 전혀 땅에 딛지 못했습니다.    

 

 

불안하고 미심쩍어

원장에게 매일 이렇게 통원 치료받는데도

왜 차도가 없는지 물어볼 때면

‘수술은 너무 잘됐다’면서 자세한 설명 없이

말을 돌리거나 두루뭉술하게 상황을 넘겼고,

본인은 20여년 동물병원을 운영한 ‘전문가’라 제일 잘 안다며 믿고 집으로 가라고 했습니다.

   

 

그런데 3월 7일

수술 후 5일째 되는 날,

결국 일이 터졌습니다.

    

   

 

 

 요나의 슬개골수술 부위가 아닌 허벅지 안쪽에서 피고름이 줄줄 흐르는 것이었습니다.  

 

원장은 세균감염으로 인한 염증이라며

당장 염증제거하고 소독을 하지 않으면

다리를 못 쓰게 된다고

치료할 동안 병원에 있으면 부담스러우니 집으로 돌아가라 했습니다.

 

기다려도 연락이 오지 않아 병원으로 갔습니다.

마취도 제대로 깨지 않아 덜덜 떠는 아이를 담요 한 장 덮어주지 않고 제게 넘겨주었습니다.

   

 

소독을 했다는 다리는 멸균거즈나 붕대대신

고무관 같은 것이 삽입돼있고,

요나가 너무 불쌍하고 죽을까봐 무서운 제게

 

“이번 수술이 처음 슬개골수술 때보다 힘들었습니다.

수술도중에 요나의 호흡이 멎어 인공호흡까지 해서 살려냈어요. 제가 너무 고생했습니다.”

호흡이 멎었다면 죽었던 거냐고 놀라는 저와 어머니를 무시한 채

 

요나를 보며 “너는 얼마나 오래 살려고 그러니?”라고 하더군요.

 

계속 침 흘리며 덜덜 떠는 요나를 담요로 잘 감싸 안아 진정시키려하는데

내일 오라며 귀찮다는 듯이 얼른 집에 가라했습니다.

 

원장은 정상이라 했지만 수술한 다리에서 계속 피가 흘러나오고..

몇 시간이 지나도 덜덜 떨며 끙끙 앓는 요나를

불안한 마음으로 다른 병원에 데려갔습니다.

       

근데 요나의 상황은 너무 충격적이었습니다.

    

 

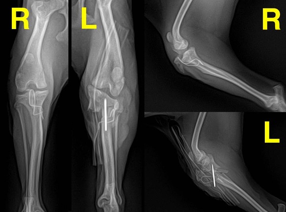
X-ray 상에서 슬개골탈구로 다리수술을 했다는

아이의 다리는 ‘슬개골탈구’, '골절'

전혀 설명도 없었던 '핀'까지 꽂혀있고

 

피검사에서는 ‘빈혈, 저혈당, 탈수, 급성염증수치 매우 높음, 간수치 매우 높음..’

 

그간 미심쩍게 생각한 것 이상으로

요나의 상태는 말이 아니었습니다.

 

 

3월 7일 아침에도

그간 원장의 지시대로 수술 후 물도 사료도 먹이지 않았음에도

불구하고 여전히 요나의 '갈색혈액토'가 잡히지 않아서

 

그날 아침

정확한 검사를 통해

요나의 상태를 파악하고 치료해 달라 따져

X-ray 촬영과 처음으로 피검사를 했습니다.

 

그런데도 원장은 요나의 퉁퉁 붓고 곪아서 냄새가 나는 다리 상태에 대해 몰랐답니다.

 

자칭 20여년 동물병원을 운영한 전문가라는 분은

요나가 “저 다리 염증 났어요.” 라고 말을 할 수 있는 것도 아닌데

자신이 어떻게 아냐고 합니다.

 

살을 째고 뼈를 깎는 수술하고도,

진통제 주사 한번 놔주지 않아

형용할 수 없는 통증을 겪게 만들어놓고

“소화불량이니 굶어야 된다.”

 

그렇게 굶겨서 빈속에 항생제를 맞고

피토하는 강아지를 안타까워하는 보호자를 우롱하듯

 

“이번에 먹이면 정말 고칠 수 없어요. 물도 주지마세요.”

“위에 뭔가 있는데 위수술하면 요나가 버틸까요?

전문가인 제가 소화계통 치료를 해볼게요.”

 

 

모동물병원에서 요나가 힘들었던 날들을 생각하면

몸이 부들부들 떨리고 가슴이 턱턱 막힙니다.

  

매일매일의 치료기록이 정확하게 적혀있어야될 진료부조차

이미 자신에게 유리하도록 조작된 진료부를 주더군요.

 

“요나는 어디에 있습니까? 제게 데려오세요. 제가 치료한 아이입니다.

어느 병원 어느 교수가 그럽니까? 제가 그분과 얘기하고 싶군요.”

“제가 잘못한 게 있다고 말하시려거든.

저보다 후배수의사들한테 가봐야 소용없습니다.

걔네 제 앞에 오면 고개도 못 들어요!

저보다 상부에서 제가 잘못했다는 진단서, 소견서를 가져오세요!

내 친구 변호사는 당신네들과 격이 달라.

날 이기려거든 서울대, 건대병원 서류가 필요할겁니다.”

 

 

요나를 이 지경으로 만들어놓고도 부족해서

여태 사과 한마디조차 하지 않습니다.

 

***************************************************************

 

 

사랑만 주어도 부족할 말 못하는 반려동물입니다.

 

 

파주 모동물병원에서 슬개골수술 후

다리 염증이 잘 잡히지 않으면 “다리 절단”

염증이 잘 잡힌다하여도

무릎 위쪽 뼈를 절벽처럼 깎아놔

골절위험에 관절염을 달고 살아야 되며,

살과 근육, 인대도 녹고 피부도 괴사된 상태입니다.

 

9개월인 요나는 앞으로 평생 다른 강아지처럼 뛰거나 달릴 수 없습니다.

 

사랑과 배려로 동물을 치료하는 수의사분들이 더이상 오해받지 않길,

요나처럼 억울하고 고통을 받는 반려동물이 없길 바랍니다.

 

 

파렴치한 파주 모동물병원 원장을 처벌하기 위해 여러분의 서명이 필요합니다.

 

서명운동주소 : https://goo.gl/ik1lTh/

 

건강했던 요나의 모습과

더 자세한 요나 이야기는 인스타에서 보실 수 있습니다.

https://www.instagram.com/tom.yona/

https://www.instagram.com/jjung__tommy/

 

긴 글 읽어주셔서 감사합니다.

추천수28
반대수2

공감많은 뉴스 시사

더보기

뉴스 플러스