본문 바로가기
책갈피

환자를 돈으로만 보는 먹튀/이벤트 병원, 우리나라는 왜 계속 내버려두는거임????

ㅇㅇ |2018.05.22 02:07
조회 277,210 |추천 1,770

일단 피해 현황 사진부터 공개하겠음.


1. 이건 ㅎㅇㅌ치과에서 교정해온 피해자... 나도 피해자지만 이분 사진 보면 정말 눈물남ㅠㅠㅠ
이런 악마들이 떳떳하게 살아가는 이 사회 빨리 바뀌어야함

(당사자의 동의 하에 사진을 사용했으나, 다시 사진을 내려달라고 요청을 하셔서 즉시 내렸습니다.)


※ 위 사진은 피해자의 동의를 얻은 후 사용했습니다. 불펌과 도용시 법적인 처벌을 받을 수 있습니다.

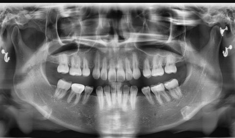
2. 이건 현재 ㅌㅁ치과에서 교정하고있는 피해자... 

(첫번째사진이 교정전, 두번째사진이 2년 후임. 엑스레이도 교정 2년 후 사진..)

발치교정은 원래 투명교정으로 안되는 건데 ㅌㅁ치과 상담실장이 무작정 돈보고^^^ 투명교정 할수 있다고 해서 시작했는데 발치공간 안 줄어들어, 어금니 다 드러누워, 과개교합 생겨... 교정치과가 아니라 부작용치과임.


 

사실 아래는 청원 내용인데 읽기 쉽게 음슴체로 쓰겠음. 제발 청원 동의 부탁ㅠㅠㅠ 20만 가야함ㅠㅠㅠㅠㅠㅠㅠ 우리나라 의료법 이렇게 똥망진창이면 너도나도 피해자 되는건 시간문제임...
https://www1.president.go.kr/petitions/236419

 

알다시피 요즘 전국 곳곳에서 이벤트 병원이 활개를 치고 있잖슴??? 몇 백, 몇 천만원이 드는 교정 또는 성형수술을 소위 ‘이벤트’라 하는 여러 무분별한 마케팅을 통해 무작위로 환자를 끌어들인 뒤 당일 완납을 강요하다시피 해서 묶어 놓고는 공장식 운영을 하고 있음.


ㅇㄱㅈ ㅌㅁ치과는 그 대표적인 예로, 전국 각지의 환자가 막대한 피해를 입고 있음.  예를 들면,


1) 교정 진행 전 상담을 맡았던 대표원장은 온데간데 없고 거의 매달마다 바뀌는 페이닥터 의료진이 진료를 맡아서 치아교정에서 가장 중요한 일관성이 결여되고, 워낙 환자 수가 많다 보니 진료의 질 마저도 터무니없이 낮음. (의사의 무성의한 태도, 10초 안팎의 진료시간 등) 


2) 이런 상황에서 무리하게 투명 또는 보철 교정을 진행하고 있는 환자들 부작용 발생 (과개교합 발생, 치아상태 악화, 교정기간 지연, 보철장치의 반복적 탈락 등) 도 부지기수임.


3) 이 간극을 보완하겠답시고 상담 실장이 개입되지만, 뭐 제대로 된 의료 지식이 없기에 더 큰 불신만 불러일으키고 있음. 


4)  그래서 이 병원 환자들은 이런 부작용, 불만족 등을 이유로 피해보상/환불을 요구해왔지만 정작 병원에서는 ‘입막음’(SNS, 카페와 같은 미디어, 민형사상 소송 및 이의제기 금지)을 계약 조건으로 더 비싸고 업그레이드 되었다는 장치(ㄴㅂㅈ플러스)를 제안하거나, ‘교정 기간에 따른 비용 차감으로 오히려 환자 측이 돈을 더 지불해야 한다’는 등의 입장을 내보이고 있음. 


5) 병원도 이미 자체적으로 수년간 네이버 블로그, 카페 등 ㅌㅁ치과 피해 관련 게시글을 단속해서 교정을 처음 시작하는 사람들은 이런 정보를 얻지 못한 상태에서 해당 병원에 신규 환자로 등록하면서 계속 악순환이 이어지고 있음... 큰일.


사실 이런 피해는 현 ㅌㅁ치과 대표원장이 운영하던 전 ㅎㅇㅌ치과에서부터 있어왔다고 함. 해당 원장이 당시에도 현재 ㅌㅁ치과 양상처럼 이벤트 식으로 환자들을 끌어 모아서 공장식으로 병원을 만든 뒤 다른 원장에게 병원을 넘겼고, 그 상황에서 환자들을 감당하지 못한 병원은 돌연 폐업을 하게 되면서 수 백명 환자들의 원성을 사고 엄청난 피해액을 초래했음. 거기에 대한 조치도 제대로 취해지지 않은 상태에서 해당 원장은 소위 ‘먹튀’를 한 전적이 있음에도 불구, 현재 ㅌㅁ치과의 대표원장으로 계속해서 이러한 악행을 저지르고 있음


여기에 대한 근본적인 해결책이 당장 나타나지 않으면 전국적으로 피해가 걷잡을 수 없이 늘어날 것임. 사실 치아는 심미적인 부분 뿐만 아니라 건강에 있어서 무엇보다도 중요한 부분이잖슴????? 근데 이걸 ‘진료’ 대상이 아닌 ‘돈’으로 보고... 의료적 책임을 잊은 병원이 국민들의 건강을 헤치고 있음 .


그래서 ㅌㅁ치과 피해자들은 청원에 이런 요구사항을 넣어보았음. 제발 동의해주길ㅠㅠㅠㅠㅠㅠㅠㅠ


1) ㅌㅁ치과 및 ㅎㅇㅌ치과 환자 전원 전액 환불 및 피해보상
2) ㅌㅁ치과 대표원장 의사면허 취소
3) ㅌㅁ치과 및 ㅎㅇㅌ치과에 대한 철저한 진상규명 및 조사, 그에 따른 엄격한 처벌
4) 교정기간 및 유지기간이 남은 모든 환자들이 안전한 타 치과에서 무사히 교정을 마칠 수 있도록 협조 및 대책 마련
5) 이벤트 병원 (치과, 성형외과 등)에 대한 철저한 기준 마련 및 단속
6) 먹튀 병원, 한예슬 병원 등 의료인으로서의 책임과 도리를 다하지 않는 의사들은 더 이상 다시는 병원을 열지 못하도록 의료법 개정

 

https://www1.president.go.kr/petitions/236419

청원 동의 한명한명이 절실하고 소중함ㅠㅠㅠㅠㅠ 제발 20만명 가서 이참에 이벤트병원 악행 뿌리 뽑즈아!!!!!

 

※ 게시글 링크는 퍼가는건 자유입니다. 그러나 피해자 사진 불펌또는 도용은 하지 말아주세요.

 

http://pann.nate.com/talk/342275603 <2탄

추천수1,770
반대수12
베플교정제발|2018.05.22 02:49
진짜 동의합니다 치아교정 또한 미용목적이 아닌 의료행위입니다 이런 병원이 더이상 생겨나지 않도록, 환자가 고통받지 않도록 철저히 수사 해주셔야 합니다
베플정신차려|2018.05.22 05:02
진짜 내가 피해자가 될줄이야.. 넘 막막해서 잠이안와요.. 교정이 한두푼도아니고 시간이며 ..이런 일이 두번이 일어났는데 이게 과연 마지막피해일까요?.. 사람신체로 사기치고 먹튀하는 이런일은 다신없어야합니다 ..
베플하하|2018.05.22 02:55
여기서 교정 4년 받았는데 내 이빨은 4년 전과 똑같음^.^ 진짜 다른 분들 보면 나는 그냥 효과만 없는 정도인데 그래도 내 아까운 20대 ㅜㅜㅜ 예전에 했던 짓과 같은 절차를 밟고 있는 것 같아 불안 ㅠㅠ 이제 이 짓 못하게 해야함 ㅜㅜㅜㅜㅜ

세상에이런일이베스트

  1. 인간관계 및 고민댓글0
더보기

공감많은 뉴스 시사

더보기

뉴스 플러스