#김제보호소 #교통사고 #다리골절 #살수있게도와주세요
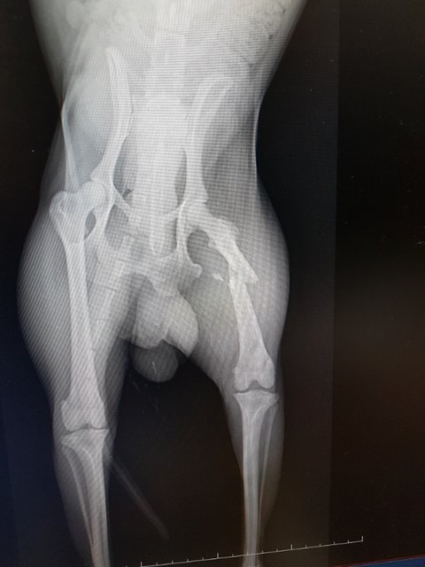
엑스레이 결과 대퇴부가 골절되었습니다.
불행중 다행인지 다른곳 골절은 보이지 않는다고 합니다
피검사결과 사상충 음성ㅜ.ㅜ
거리를 헤매다 사고를 당했다면 돌봐주는 이가 없었겠죠..
목요일 수술 예약을 했습니다.
수술 잘받고 네다리로 우뚝서길 바래봅니다
문의 010 9109 4461
#김제보호소 #교통사고 #다리골절 #살수있게도와주세요
엑스레이 결과 대퇴부가 골절되었습니다.
불행중 다행인지 다른곳 골절은 보이지 않는다고 합니다
피검사결과 사상충 음성ㅜ.ㅜ
거리를 헤매다 사고를 당했다면 돌봐주는 이가 없었겠죠..
목요일 수술 예약을 했습니다.
수술 잘받고 네다리로 우뚝서길 바래봅니다
문의 010 9109 4461