본문 바로가기
책갈피

교정이 너무 힘든데 어카지

쓰니 |2025.12.14 12:49
조회 875 |추천 1

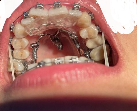
한달전쯤부터 교정해서 오늘 두번째로 치과갔는데 이런 괴상한 장치 달고왔음ㅜㅜ 내년에 대학생되는 고3이라 돈도 없어서 부모님 도움 받아서 젤 싼 메탈로 교정하는데 그것도 개 티나서 짜증나 죽겠는데 지난달부터 뭐 낀다고 본뜨고 파란 고무줄 끼우더니 오늘 가니까 이런거 붙이더라 당장 내일부터 알바도 나가야되는데 발음이 진짜 개멍청이마냥 나오는데 어카냐 ㅋㅋㅋㅋㅋ 진짜 불편해 미치겠음 ㅠㅜㅜㅜ 침도 계속 나오고 너무 신경쓰이는데 그냥 교정 포기할까 이거 교정 끝날때까지 계속 붙이고 있는대 검색해봐도 안 나오고 이런건 한 사람도 본적 없는데..

추천수1
반대수3

공감많은 뉴스 연예

더보기

뉴스 플러스