본문 바로가기
책갈피

제발 저희집 고양이를 살려주세요 ㅠㅠ

임두환 |2019.02.11 11:37
조회 235 |추천 12
안녕하세요 이런일로 글을 얼리게 되어 마음이 아프지만 자문을 구하고 싶어 글을 씁니다...
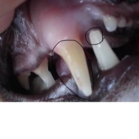
회사일이 바빠 미X 라는 청소 대행업체에 한달에 한번정도 집청소를 맡기는데 저번달에 사고가 발생하였습니다 미X에서 나오신 청소이모님이 집 청소를 하는중에 고양이방에 창문을 다 열고 청소를 하는 바람에 고양이가 5층에서 떨어져서 중상을 입고 병원에 입원해서 지금까지 집중치료 받고있습니다 손상부위는 입천장이 반으로 찢어져 밥을 먹지 몰하고 갈비뼈 2곳 골절 폐출혈 이빨이 부려지는 등 오늘 내일 하는 상황에서 다행히 빠르게 병원에 데려가 겨우 살았는데 중요한건 치료비 문제입니다 1차 치료비용 160만원정도 나왔는데 청소해주시는 이모님이 책임지겠다고 했고 분할납부 가능하냐는 말에 저는 안된다고 말했습니다(오늘내일 하는 상황에 만약에 라도 무지개다리를 건너면 돈 받을때 마다 생각날까봐 도저히 그렇게 할수없었습니다) 그래서 이모님이 5일정도 시간을 달라했고 기다려줬습니다 그런데 5일후 갑자기 태세를 전환하여 돈을 줄수없다는 답변이 돌아왔고 미X라는 청소대행업체는 자기들은 중간에서 중제 및 합의가 원만하게 이뤄질수 있도록 돕는 역활이라며 금전적인 책임을 회피하려 하고있습니다 그 사이 수술과 함께 입원비용까지 합하여 330만원 정도의 금액이 추가 되었고 총 500만원정도의 치료 비용이 나왔습니다 병원이 선결제 시스템이라 그 금액은 제가 신용카드로 결제하였고 곧 결제일이 다가옵니다 그런데 사고에 대해서 청소이모님은 계속 회피와 돈을 줄수없다는 의견이고 청소 대행업체 미X에서는 청소이모님과 얘기중이라는 얘기만 있을뿐 어떤 진전도 없어 답답한 상황입니다 그래서 저는 회사에서 대신 결제 하고 청소이모님께 받으면 안되냐는 말을 했더니 회사는 청소이모님을 중간에서 연결해 주는 역활을 하는거라 그렇겐 할수 없다고 하였습니다(즉 청소이모님은 회사직원이 아닌 프리랜서) 그런데 이 상황을 모르는 고객들은 당연히 회사직원이라 생각을 하고 일을 부탁드리는건데 회사에서 오히려 저렇게 나오니 답답할 뿐입니다
P.S 미X 라는 회사에서 요즘 펫시터 까지 사업을 확장 하려고 하고 시범운영을 하고 있다고 하는데 이런일처럼 애견 애묘의 사고가 났을때도 이렇게 대처 하려고 하는건지 의문입니다

요약
1.글쓴이는 한달에 한번정도 미X 라는 청소 대행업체에 청소를 맡김
2.청소 이모님이 청소도중 고양이 방에 창문을 열어 놓고 청소를 하여 고양이가 5층에서 떨어짐
3.고양이는 중상을 입고 병원에 입원해서 집중치료를 받음
4.청소이모님이 배상하겠다고 했고 1차치료비160만원에 대해 분할납부 가능하냐고 했으나 쓴이가 거절함(이유는 본문)
5.5일의 시간을 달라했고 시간을 줌
6.5일후 청소이모님은 갚을수 없다고 함
7.미X에서는 중간다리 역활이라 대신 갚아줄수 없고 보험처리가 안되서 당사자끼리 합의봐야한다고하고 회사에서 금전적인 피해는 회피하는중
8.총 500만원가량의 병원비를 글쓴이가 납부해야하는 상황이됫고 미X에서는 계속 청소이모님과 접촉을 해보려고 노력중이라는 말만 하는중

추가 클리너 쪽에서 연락이 왔고 클리너는 본인은 잘못이 없고 도의적인 책임으로 병원비에 약간의 도움만 주겠다고 합니다 사실이것도 확정 받은 사항은 아니구여 ㅠㅠ 미X측에서는 법률상으로 회사는 아무런 잘못이 없으며 중재하는 입장에서 도움을 준다면 클리너가 책임을 인정하고 배상을 할때 그 돈이 없으면 회사가 대신 내주고 기간을 둔 후 클리너에게 받겠다는 말을 하고있습니다(회사측에서는 돈을 지불하지 않겠다) 그런데 클리너는 그럴생각이 없고 그렇게 할꺼면 민사로 넘어가라고 말하네요 ....에휴 ㅠㅠ 저한테는 세상 누구보다 소중한 애기인데.... 괜히 능력없는 집사를 만나게 되서 미안한 마음만 드네요...
추후에 또 진행되는 사항 있으면 글 다시 올리도록 하겠습니다 ㅠㅠ

ps 혐오감을 줄수있는 사진은 삭제했습니다










추천수12
반대수0

공감많은 뉴스 시사

더보기

뉴스 플러스