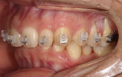
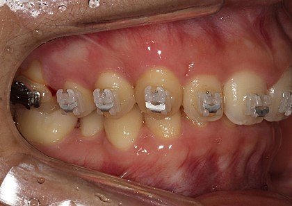
초기진료 때 찍은 잇몸상태 사진을 첨부합니다.
ㄷㅇ치과 원장은 이런 제잇몸 상태를 항상 괜찮다 해왔습니다..사진보고 놀라지 마세요..
저는 있었던 사실만을 적습니다. 저처럼 병원을 잘못선택 하지않았음 합니다..다시는 이런 피해자가 없기를바라구요..진심으로요..
이렇게 교정치료 도중 이유없이 진료거부를 당한 사례가 없어서 일을 진행하기 힘드네요..혹시 도움을 주실 수 있거나 저와 비슷한 일에 처해있거나, 궁금하시 사항 있으시면 연락주세요
010 5489 6354 입니다.
제 거주지는 제주도 입니다.
제주도 치과 여러군대서 상담했지만, 잇몸 뿌리가 거의없어 발치도 못하고 심한 옥니라 교정진행 하기 어려운케이스니 더 큰 병원에 가보는게 좋겠다 라고 솔직하게 얘기해준 치과들이 대부분 이였습니다.
그래서 비용, 시간, 불편함을 무릅쓰고 서울에서 교정 치료를 하기로 결정했습니다.
일단 현재까지 진행사항을 요약하면 이렇습니다.
교정치료 중이던 압구정 로데오 ㄷㅇ치과에서 대표원장의 황당한 진료거부 이후,
이유도 알수없고 환불도 못받은 상태에서 어쩔 수 없이 새로운 치과를 알아봐야 했고, 강남구청역 모 치과에서 검사를 받고 상담 후 교정을 진행중 입니다.
ㄷㅇ치과에 초기부터 잇몸이 항상 아프다. 출혈이 자주있고 양치할때도 아파서 잘 못닦는다 하였지만, 대표원장의 대답은 늘 괜찮다는 말이었습니다.
하지만 강남구청역 모 치과 원장님은 이런 잇몸 상태로는 교정하기 힘들다며 치주전문 병원에 연계해 주어 급히 잇몸이식수술을 받아야했습니다
ㄷㅇ치과 진료거부로 강남보건소에 민원을 냈고,
ㄷㅇ치과에서 전면 부인하는 바람에 강남보건소에서는 강남경찰서에 수사의뢰를 했습니다.
강남경찰서는 한달이 지나도록 피해자 조사는 하지 않고 강남보건소로 사건을 반려했습니다.
결국 제가 직접 고소장을 접수해야 일이 진행되게 생겼습니다.
이 막장극이 이어지는 곳곳에서 강남보건소와 강남경찰서 또한 “지역업체와의 끈끈한 우호와 친선”의 향기를 오묘히 풍겼습니다.
2015년 11월 3일: ㄷㅇ 치과라는 지옥의 시작
서울에 있는 몇몇 치과의 상담을 거친 뒤, 압구정 로데오에서 커다란 치과 간판을 보고 들어가게 되었습니다. 물론 미리 홈페이지에서 서울대 출신 교정전문의가 교정을 담당한다는 내용을 확인했습니다.
대표원장인(대표고 뭐고 알고 보니 이 사람 혼자 하는 치과) Y원장이 치아를 직접 본 뒤, 치위생사가 상담했습니다. 치위생사는 서울대 출신 교정전문의인 L원장이 교정을 맡게 된다면서 상담실에 붙어있는 L원장의 라이센스를 보여주었습니다.
교정비의 일부를 선불하고 18개월 동안 월진료비를 5만원씩 내고 잔금은 끝나고 결제하기로 하고 계약을 했습니다.
계약하고 나서 첫 진료에서는 일단 Y원장이 치아 상태를 확인했습니다. 그당시 교정담당 한다는 L의사가 근무하는 날이 아니라 만나보지 못했습니다. 그런데 다음달에 갔을 때부터 뭔가 미심쩍은 일이 벌어지기 시작했습니다.
저를 맡게 된다던 교정전문의 L원장이 갑자기 그만두게 되어 대표원장인 Y 본인이 치아교정을 끝까지 책임지겠다는 거였습니다.
이미 진료는 시작되었고, 자신있다는 Y원장의 말과 믿을 수 있다는 치위생사의 설명도 있고 해서, 하는 수 없이 그냥 교정을 맡기기로 하였습니다.
2016년 1월 13일: 이상한 징조
한달 전에 예약한 날짜에 맞춰 제주도에서 서울로 도착.
김포에서 지하철로 압구정 ㅇㄷ치과로 가는 중에 치과에서 전화가 왔습니다.
“오늘 대표원장이 갑자기 연락이 안된다. 개인사정이 생긴 거 같으니 오늘은 스케일링만 받고 가라. 교정치료는 다음달에 다시 와서 받으라”는 얘기였습니다.
여러분도 아시다시피, 그렇다고 한달 간격으로 하는 교정치료를건너뛴다는 건 수용할 수 없는 일입니다. 자칫 교정기간이 길어질 수 있죠.
“하루 숙박하고 다음날 치료 받기를 원한다”고 강하게 주장해서 겨우 동의를 얻었습니다.
원장이 스탭도 모르는 개인사로 진료를 펑크낸다? 뭔가 이상한 느낌이 들었습니다.
결국 하룻밤을 자고 다음날 치과에 갔습니다.
Y원장은 어떤 사정이었는지 말하지 않고 간단히 미안했다고만 했습니다.
이날도 왼쪽 잇몸이 너무아프고 출혈이 심하게났어서 얘기했지만 괜찮다고 하며 어떤치료도 없었으며, “뿌리가 3개 있는 쪽이라 괜찮다”하길래 믿었습니다.
2월 17일
지난 달 이래로 잇몸이 더 아프고 자주 출혈이 있고, 교정을 시작한 뒤 두 달 사이에 윗니가 더 돌출된 것 같아 질문하였으나, Y원장은 주관적인 느낌이지 전혀 문제 없이 진행되고 있다고 대답했습니다. 그러면서, 비교를 위해 다시 촬영을 하고 다음날(02. 18.) 결과를 보러 오라고 해서 또 불의의 1박.
2월 18일: 1차 진료거부!
전날 촬영한 결과를 보러 오전 10:30에 치과를 방문했습니다. 그런데Y원장이 진료실이 아니라 치과 깊은 곳에 있는 원장실로 불러서 의아한 생각이 들었습니다.
그곳에서 전날 촬영 결과를 들었습니다.
그리고는 Y원장 입에서 놀라운 얘기가 나왔습니다.
“나는 이민 갈지도 모르고 거취가 불안정해서 당신의 치료를 끝까지 책임질 수 없으니 다른 병원에 가보라.”
저는 너무나 당황하여 대답도 못하고 병원을 나왔습니다.
왜 아무 항의도 못하고 나왔느냐고요?
Y원장은 미국에서 대학과 치과대학원을 나왔음을 자랑하는 인물입니다.
상담실과 원장실에는 그런 이력을 보여주려는 전시물들이 가득합니다.
국적은 모르겠지만, 한국말도 좀 어눌하죠.
그런 사람이 한국을 떠날지도 모른다고 하니 있을 수 있는 일이라고 믿을 수밖에요.
정말 얼마든지 하루 아침에 “바람과 함께 날라버릴 수 있는” 인물이라는 생각이 문득 들었습니다.
이렇게 사정이 있어 진료를 못하게 되면서 다른 치과로 가라고 하면 진료거부가 아니라는 거, 이번에 알게 되었습니다.
그러나 Y원장은 저에게 진료를 거부한 뒤에도 여전히 1년 이상 걸리는 교정치료 환자를 받아주고 있었습니다.
그래서 진료거부의 진짜 이유를 알고 싶었습니다.
다음날 저는 다른 곳으로 옮겨야 할지도 모르는 상황에서 고통스러운 잇몸과 이상한 모습으로 돌출한 치아 상태가 걱정이 되어 일단 다른 곳에 갈 가능성은 있는지 확인해보기로 했습니다.
그래서 치과에서 가까운 강남구청역의 어느 치과를 방문하여 상담과 촬영을 했습니다.
이곳에서 “현재 잇몸 상태로는 교정을 진행할 수 없으며, 치료와 잇몸 수술 후에 교정해야 하므로 연계 병원에서 수술부터 해야 할 일이다”라는 설명을 들었습니다.
이곳 원장은 저의 상태를 내버려둔 채 교정을 진행해온 사실에 경악하더군요.
결국 비용과 기간이 일반 교정환자보다 더 오래 걸리게 될 것이라는 얘기를 들었습니다.
불안해진 저는 ㅇㄷ치과에 다시 상의하기 위해 전화로 Y원장과 토요일 오전 11시에 만날 약속을 했습니다.
하지만 이때가 ㅇㄷ치과의 진정한 지옥이 시작된 시간이었습니다… <계속>

