본문 바로가기
책갈피

제 치아좀 봐주세요2(사진주의)

아스트레스 |2021.01.05 02:49
조회 712 |추천 0
이전 글링크입니다
https://m.pann.nate.com/talk/356644299
이어쓰는법을몰라서요


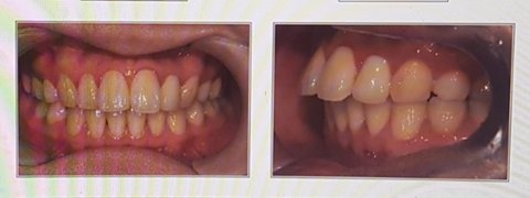
1월3일에 찍은 사진



1월5일에 찍은 사진




지난주 진료때 아랫니를 너무 위로 뽑아올리시고
제기준 아랫니가 왼쪽이 높도록 전체적으로 기울었고
양쪽3번치아가 대칭이안맞으니 왼쪽3번을 내려달라고 말씀드렸더니 왼쪽이 오히려 내려가있다고하시더라구요 자꾸..

그래서 고민하다 첫글 올리던날 찍은 사진 들고 오늘 찾아가서
제가 사진을 찍어왔다 어떻게 보이시느냐 여쭤 보려고ㅜㅜ
원래 4주후에 가야하는데 오늘오후에 예약잡고 갔더니
자꾸 병원에 찾아와서 바꿔달라고 하니 이렇게 된거라고 하시고;;;;

브라켓 파손땜에 한번 갔고

또한번은 박사님이 미스 내셔놓고 다음번에 브라켓 떼면 되겠다고 하셔서 몇주동안 치아 어긋나는거 실시간으로 확인하면서
혼자 엄청 스트레스받다가 찾아간것 까지 총 두번이거든요
(그때는 진상처럼 보일까봐 찾아가기도 부담스럽고 혼자 고민했었어요) 눈물도 나더라고요..치아보다도 평생 쓸 잇몸인데 이게 뭐라고 미스를 내시고 시간을 낭비해야 하나하고.. 잇몸은 치아를 움직일때마다 소실되거든요

현상태는 아랫니 두개를 위로 많이 끌어 올리셔서 앞니로 씹을때마다 치아가 아래로 밀려요. 뭐 자르거나 과일을 씹거나할 수 없고요. 나중에 다시 내려 주신다는데..교정하기 전보다 못한 상태만 안 됐으면 좋겠네요.
참고로 교정 이유는 윗니가 튀어나오고 아랫니가 들어가있어서 밸런스 맞출 목적이었습니다. 재교정이고 비발치였습니다
기록 목적으로 내원 할때마다 계속 글 올릴게요

제가 가장 속상한 부분은
이 모든게 충분히 있을 법한 과정이라 할지라도 진작에 다 끝났어야한 게 아닌가 하는 부분입니다. 윗니 아랫니 거의 수평이동 수준으로 교정하면 되는 거였는데 2년이 넘은 지금 치아 하나하나가 따로 놀거든요.


아래는 18년도 교정 전 사진입니다.



추천수0
반대수0

공감많은 뉴스 시사

더보기

뉴스 플러스