본문 바로가기
책갈피

○나쁜피부 착한피부로의 극뽁 스토리○혐짤주의

짧은수염 |2011.11.24 22:33
조회 628,912 |추천 1,159

안녕하세요.. 요즘 너무 바빠서 간간히 핸드폰으로 댓글들만 죽 지켜봤는데

시간이 없어서 못달다가..

아, 오늘에 톡에 뜬걸보고 놀랬네요 ㅎㅎ

처음 쓴 판인데 새삼 판의 위력을..ㅎㄷㄷ놀람

 

아 참고로 베플올라오신 분들!

정말 스트레스 엄청 심하셨을 것 같아요 ㅠㅠ

극복하신 것 축하드려요! 짝짝짝

참고로 제 피부는 중학교~고1때까지 그랬었어요 ㅎㅎ

화농성여드름과 좁쌀여드름이 (특히 이마 아오쒯) 심했었는데 점차 식습관도 바뀌고 나니 나아졌다가

고3때 한번 수능의 여파로 뒤집어졌다가 살도 빼면서 나아졌는데

화장을 하기 시작하면서 더 나빠진거죠ㅠ 거기에 쌓아온 잘못된 습관들..

뭐 쨋든, 이글은 정말 더럽게 나빴다가 완전 꿀피부 이렇게 된 드라마틱한 스토리는 아니지만,

나름대로 피부가 조금나쁘던 많이 나쁘던 조금이라도 도움이 되는 생활습관으로 더 악화되질 않기를 바라는 마음에서 썼습니다.

화장, 나쁜거 아니지만 습관 처음에 잘 들이셔야해요^^

 

쨋든!!

 

 

그럼 가장 많이 보였던 질문!!

답변 뙇!!!

 

 

 나에게 맞는 기초제품이 뭔가요?

 

네.. 요거.. 저도 쓰고 보니... 죄송해요 ㅎㅎ 어려우셨죠?

먼저 자기에게 맞는 기초제품을 찾으려면 본인의 피부를 정확하게 아는게 중요한 것 같아요.

피부 정말 다양합니다.

피부미용학에서 기본적으로 피부를 아래처럼 나누는데요..

 

1. 정상피부: 모공도 안보임. 연예인피부. 조화를 이룬 가장 이상적인 피부상태 뙇!!! 이건 좀 타고나거나 의학의 힘을 빌려야...

2. 건성피부: -수분부족 건성(표피수분부족,진피수분부족)/유분부족 건성/수분유분둘다부족

3. 지성피부:유성 지루성 피부, 건성 지루성 피부

4. 복합성 피부

5. 민감성 피부

6. 모세혈관 확장피부

7.여드름피부

 

읭? ㅋㅋㅋㅋㅋㅋㅋㅋㅋㅋㅋㅋ

지성인가봐.. 엥? 여드름피부도 따로? 복합성도 따로? 뙇뙇!

본인 피부는 정말..본인도 잘 모르고 며느리도 모르고 ..

그래도 본인의 노력 여하에 따라 알아 낼 수 있는 방법은 있답니다.+_+

저같은 경우는 청소년기에 여드름피부-> 고딩시절 지성피부 :유성 지루성 피부(여드름피부와 비슷, 여드름이 발생하기 쉬운 피부상태) ->기초제품 사용후에 건성 지루성피부(여드름은 줄었는데 트러블이 간혹 생김)  -> 현재는 무난한 복합성 피부를 달리고 있습니다.

 

즉, 피부상태는 여러 내부,외부환경에 따라 변할 수가 있다는 거죠.

저또한 피부상태를 봐가면서 팩, 각질제거등을 해주는 거고,

기초제품 사용하다 계절이 지남에따라 피부가 변하면 그에 맞게 적절히 조치를 취해주고 있답니다.

 

본인의 피부는

본인이 찾아보셔야해요!!

제일 좋은건 에스테틱샵이나 관리실가서 측정받고 얘기듣는거지만..

돈안들이고 자가진단으로도 알아 볼 수 있답니다.

대략적인 피부타입이에요. 보통 간편하게 나누는거죠!

 

대략적인 피부타입과 관리방법이에요.

 

저는 처음엔 여드름 피부였기때문에

여드름에 좋다는 기초제품들부터 찾아서 하나둘씩 일일이 사용해봤습니다.

나중에는 블로그를 운영하면서 제품 신청한 후에 당첨되서 사용해보고 했기 때문에 더 많고 다양하게 사용해 볼 수 있었던 것 같아요.

제가 3년동안 짧으면 2주, 길면두달동안 브랜드를 갈아엎어치워가며 사용했답니다.

대신 학생이라 살 돈은 없으니 주변 분들께 선물받을땐 화장품선물을 갖고싶다 요청했구요.

테스터당첨되기 위해 엄청난 발품을 팔았습니다.

아니면 샘플지를 유명한 화장품 블로거 이웃분들을 통해 받았어요 (그리고 보통 회사에서도 간곡히 요청하면 보내주셔요^^)

 

그래서 그럼 글쓴이처럼 일일이 다 사용해보라고?

어느정도의 노력은 요구가 되는 것 같아요.ㅠㅠ

일단 자기에게 맞는 기초제품은 본인의 피부를 아신 후에!!

사람들의 생생하고 진솔하고 솔직한 후기가 도움이 될 것 같아요.

 

참고로 관리방법에 주 1회 마사지/팩 사용

여기서 피부타입별로도 맞는 팩도 다 따로 있답니다.

팩을 두단계로 나눠서 사용하실 수 있으니 무턱대고 그냥 좋은거라고 덥썩덥썩 집어오시지 마시구요

일단은 피부타입을 알아보신 후에 본인에게 맞는 기초제품을 사용해가면서 추가로 팩을 사용해주시는게 좋아요. 팩도 잘못사용하시면 피부 뒤집혀지는데 아주 큰 공헌을 합니다.

 

아 그리고.. 화장품 사러가서 제가 ~~피부인데요 뭐가 잘 맞을까요?

점원들 중에 피부타입별로 어떤 제품이 어떤라인인지 아는분 많지 않아요.

추천해주시는거 사오시면 대략 낭패..

발품을 팔아야 하는것 같아요 ㅠㅠ

 

그리고 쌤플이 잘맞는다고 무조건 사시면 그것도 낭패

쌤플은 사용기간이 짧아서.. 쌤플써보시고 사시려면 쌤플을 좀 두둑히 챙기셔서

보름이나 2주정도 사용해본 후에 사시는걸 추천합니다.

 

 

제가 쓰고 있는 기초제품?

 

이걸 여기서 말해도 되나요? 진짜 완전 그냥 광고때리는 기분이라 찜찜함..

광고하는거 같아서 삭제했어요^^

이글은 제 블로그에 와서 개인적으로 물어봐주세요 ㅎㅎ

제가 써서 별 효과 없엇던 제품도 정말 많구요.

전체 기초제품셋트는 별로인데 그중에 몇몇 제품만 괜찮은 제품도 있고 그래요 ㅎㅎ

 

두서없이 잠결에 부랴부랴 적은거라 도움이 되실지 모르겠지만..

 

저는 정말.. 여드름,피부 안좋은걸로 겪었던 상처가 너무 컸었기에

 

그분들 마음을 알기에 이렇게 글을 끄적끄적이네요.

 

피부 좋으신 분들 정말 부모님께 감사하셔야해요 ^^..

 

그리고 피부가 정말 화장품으로도 손쓸수 없는 분들은 피부과 가셔야하는게 맞구요..

 

대신 무턱대고 피부과 가는거보다 생활습관을 통해서도 극복이 가능하고,

 

잘만 사용하면 화장품도 보조적으로도 도움을 준다는걸 말씀드리고 싶네요.

 

어릴때 피부과 엄청 다녀봤는데 효과를 보지 못하고 약만 독해서 머리빠지고 그런생각때문에

 

저도 피부과를 가기보다는 화장품에 돈도 들였던 것 같구요.

 

쨋든, 화장품이 주가 아니라 생활습관이 더 중요하다는거!!

 

기초제품은 정말 도움만 주는 보조역할이에요.

 

눈에 반할만한 드라마틱한 효과는 색조제품에서 찾으셔야 하고

아니면 병원가시는 수밖에 없어요.

 

 

더 궁금하신 것들은..

질문 받을게요~

제가 취업준비하다보니 자주 못들어와서^^;

미니홈피도 공개해 두고 가는데 싸이를 잘 안해서 답변이 좀 늦을거에요. (게다가 기말고사 쿨럭)

블로그는 제가 그래도 2일에 한번꼴로는 (더 자주도) 들어가는 편이니

살짝쿵 공개해 둡니다

http://cospecialice.blog.me/

 

미니홈피 방명록이나 블로그 안부글에 오셔서 질문남겨주시면

최대한 성실하게 알려드릴게요~

그치만.. 제 답이 정답은 아니니까요 ^^

정말 필요하고 정말저말 궁금하신것만 물어봐주세요

 

------------------------------------------------------------------------------

 원래판>>

 

안녕하세요

스마트폰으로 간혹 판을 즐겨보다가

너무 공감가는 글에 흥분해서..

 

'제가 베플이 되면-'하는 댓글을 달아버렸다가 덜컥 베플이 되었네요 ㅋㅋㅋ

 

저..4학년 2학기 취업준비생이지만..

완전 요즘 답답하고 바쁘고 힘들고 어쩌고 저쩌고 하여튼 그렇지만

약속을 지키고자 요래요래 제 이야기 보따리를 살짝쿵 풀어놓겠습니다.

머리털나고 판에 처음 쓰는거에요!!

부족한 글이지만 혹시라도 저와 같이 피부로 고민하셨을 분들을 위해 쓰는거에용!

(악플은 자제해주세요 싫으시면 보지마세요ㅠㅠ A형임. 미리쉴드 뿌잉)

 

----------------------------------------------------------------------------------

 

안녕하세요 24살, 취업 앞둔 처자입니다.

 

저는 어렸을 때부터.. 그러니까 어릴때부터 피부와의 질긴 악연을 이어왔습니다.

피부가 워낙 약해서 6,7살에는 모기에만 물리면 곪는.. 피부병에 걸려서

여름철이면 온몸에 주사맞고 피묻은 제 몸들을 보고 울고 소리지르다가 지쳐잠들었던 기억도 있습니다.

물론 크니까 몸은 좀 개아나졌구요 부끄

 

편하게 음,임체로 갈게요 ㅋㅋㅋ

(아 서론 짱길어 ㅋ)

 

초등학교 3학년때부터 여드름이 나기 시작했음

나님..근데 이게 너무 신기했음

뭔가 터트리면 나오는게..

안그래도 엄청 많이 나기도 해서 짜는데 재미들린 내 피부는..

돌아오지 못할 다리를 건너고야 말았음.

 

한 마디로

피부는 Go To the Hell..

귤과 모과같은 피부가 되었음

그래서 중3때 별명이 크레이터 였음. (달표면 파인걸 크레이터라 함)

 

나님 여중, 여고 나와서 그닥 신경쓰지 않았음.

워낙 활발하던 처자라 ㅋㅋㅋㅋ

대학교 가면 예뻐진대서  여드름도 안나고 남자친구도 생길줄 아는 환상에 젖었었음. 

근데 문제의 발단은 대학교 와서 생겼음

 

나님.. 베프가 피부가 정말 고움.

모공이 보이지 않는 타고난 피부를 가졌음.

근데 그친구는 피부관리도 딱히 안했음. 근데 그렇게 좋앗음.

같이다니니까 비교되기 시작한거임!!놀람

 

대학교 가서 새내기 모임이었는데

어떤 사람이 대놓고 (나이 많은 선배였음.) 사람들 많은 곳에서 처음보는 내 피부를 갖고 놀렸음

뭐 그사람이 무례한거니까 지금은 그런사람만났음 뭐라했을수도 있지만

소심한 A형에 어리고, 남자라는 생물을 많이 만난 자리에서 난 한마디도 할 수 없었는데

그 사람 말한게 내 가슴을 아주 파고들었음.

 

20살을 시작으로..

어딜가나 내 피부는 내 특징이 되었음 ㅋ

사람들 앞에선 그냥 아무렇지 않은 척 했지만 진짜 죽고싶을 만큼 속상했음

그때부터.. 거울도 잘 못봤음. 내가 너무 못생겨보인다는 생각땜에.

하도 속상해서 돈모아서 박피를 해야겠다고 했지만

박피 부작용을 보고 두려워 졌음..(A형뇨자)

그러던 차에 친구들이 생일선물로 화장품을 사줬음

나님...!!!!!

완벽 K.이거슨 신세계

내 피부들을 곱디곱게 가려줬음 ㅋㅋㅋ

이때부터 런웨이 백스테이지 아티스트마냥 화장품에 빠졌음.

근데 기초제품 하나도 안쓰고 클렌징도 잘 안하고(해도 폼클?)ㅋㅋ

파운데이션까지 엄청난 커버력을 가진 제품들을 쳐발쳐발 발라댔음. 가려지니 짱조하~~ 하면서 통곡

 

악순환 리싸이클.

가리려고 맨피부에 화장-> 화장독으로 피부 나빠짐-> 화장 더 열심히 함->점점 나빠짐 ㅋ

 

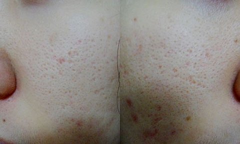
그래서 이때 사진을 찾아봤음.

분명 내피부는 귤피부에 선홍색 잘익은 화농여드름들이 가득했던 피부였음.

근데 없음!!! 왜? 그렇게 나온 사진들 다 자삭해버렸었음ㅋ

브이해서 뺨가리거나 미니홈피 뽀샤시 한 사진이 대부분임 ㅋ

그리고 그렇게 자세히 찍을 일도 없었음 내가봐도 혐오인데 누구보라고 남김? ㅋㅋ

 

 

여차저차 그래도 나름 블로거했던 경력덕분에 제일 안좋을때는 아니고

이제 막 기초제품발라서 관심가지면서 그나마 좀 괜찮아졌었던 사진을 찾았음

두둥

(혐오스러울 수도 있으니 싫으신 분은 스크롤 많이 내리시길)

 

3

 

 

 

 

 

 

 

 

2

 

 

 

 

 

 

 

 

 

1

 

 

 

 

 

 

 

 

 

 

 

이게 그나마 좀 나아보여서 피치 못하게 화장품 후기써야할 일이 있어서 사용했던 사진임.

(내 컴퓨터 사진폴더에 없어서 엄청 찾았음 ㅋㅋ)

 

그러다가 조금씩 나아짐.

 

 

 

 아래부터능

오늘은 아니고.. 최근 피부임.

 

 

 

 

 

 

 

 

 뾰루지나 여드름이 나는 일이 많이 줄었음.

 

어쨋든 내가 피부가 왜 좋아졌냐

초스피드 간략 명료하게 결론을 내드리겠음.

분명 이건 내 피부에 관한 case이지만 나와 같이 잘못된 습관 가지신 분들은 빨리 고치시길 바람.

 

1. 얼굴에 손을 대지 않는다.

나님... 피부 안좋으니까 늘 얼굴을 손으로 가리고 다니고

누구랑 말할일 있으면 뺨 가리면서 얼굴대고 말하는 습관이 있었음

이거..

아주~~~~~~~~~~~ 안좋은 거임

손이 정말 더럽다는거 알지?

손가락을 묶어서라도 얼굴에 손을 대지 맙시다

 

2. 메이크업보다는 스킨케어가, 스킨케어보다는 클렌징

화장. 이거슨 참 신세계임

예쁘게 될 수 있는 아주 혁명적인 것이 분명함

그러나.. 양날의 검임.제대로 알고 사용해야 함.

일단 화장보다는 기초스킨케어가 매우 중요함.

스킨케어가 제대로 되지 않는다면 화장도 잘 안먹음.

또한 1차적으로 그 수많은 커버력의 화장품들에 들어있는 유해성분으로부터보호를 해줌

또한 클렌징..정말정말 중요함.

피부 안좋을때 귀찮으면 걍 자거나 클렌징티슈 쓰거나 폼클렌징으로만 했음

본인 피부에 맞는 클렌징 타입이 있음.

나님은 지성임에도 불구하고 밀크보다는 오일이 잘맞음. 그래서 클렌징만 잘못써도 피부가 좀 달라짐

분명 개개인의 차가 있음.

쨋든.. 피부가 좋아지려면 클렌징이 매우 중요함.

클렌징 티슈는 아무리 면이 좋아도 피부에 면을 닦는거니께 자극이 될거임. 그러므로 사용하지 않는게 좋음. 귀찮은 일임에 분명하지만..예뻐지려면 부지런해야한다는거!!

 

2-1. 자기에게 맞는 제품을 사용한다.

분명.. 본인피부에 최적의 스킨케어 제품들이 존재함.

비싸다고 좋은게 아님.

3년넘게 엄청 많은 브랜드제품을 사용했는데 나에게 잘맞는 제품은 2개였음

근데 또 계절에 따라 바꿔줘야하고 아침과 밤에는 다른제품을 사용하는게 맞음.

고로 나님은 여름에쓰는 기초제품과 겨울에쓰는 제품이 다르고, 아침에 사용하는 제품과 밤에 사용하는 제품이 조금 차이가 있다는 얘기임.그치만 무조건 한 브랜드라인의 제품이 아님.

스킨,로션,아이크림 모두 다른회사들꺼임. 성분이랑 나에게 필요한 것들을 골라서 씀

이거만 잘 찾아도 피부 유지하는데 꽤 도움이 됨!

 

2-2.클렌징 시에 우리가 범하는 오류.

각질제거, 팩도 궁합이 있고 사용시기와 사용피부가 다름.

즉. 팩은 분명 좋은것이지만 본인피부에 맞을경우 효과가 배가된다는거

각질제거.. 각질 하얗게 일어났다고 화장 도중에 클렌징하고 각질제거제, 스크럽제 사용해서

제거한담에 다시 화장하시는 사람이 많음. 근데 이거 참 잘못된거인데 모르는 분 짱많음.

피부는 그럴 수록 더 바싹 말라버림.

원래 피부의 재생주기가 28일이라 각질은 원래 알아서 떨어지고 다시 자람.

근데 그 주기가 길어지면 부석거리는 각질이 안떨어지고 화장을 들뜨게 함.

이런애들은 제거해줘야하는데 건조해서 일어난 피부에다 자극줘서 벗겨내면어쩌자는거임?

각질제거는 지성인 나도 자주 안함. 2주에 1회? 괜찮을땐 1달에 1번 피부상태 봐가면서함

그리고 일단 각질보이면 제거보다는 수분크림을 듬뿍 발라줌. 그럼 진정됨.

사소한거지만 이런거도 영향을 미친다능거!

 

3. 물을 많이 마신다.

피부에 있어서 중요한 건 유/수분 밸런스

유수분 밸런스가 깨지면 피부에 트러블이 나기 십상.

나는 유분이 많은 지성이라 수분공급을 해서 맞춰줘야 함에도 불구하고..

지성이니까 번들거린다는 이유로.. 스킨까지만 바르거나 물도 잘 안마셨음

그럴수록 몸에선 자꾸 유분이 계속나와서 더 안좋아졌는데

피부미용사 자격증 준비하면서 이때 알았음..

유수분 밸런스 ㅋㅋ

그래서 나에게 맞는 수분크림, 로션을 찾아서 잘 발라주니까 오히려 트러블도 줄고 더 좋아졌음.

물론 물도 자주 마시는 습관을 들였음

 

4. 잠을 충분히 잔다.

이거 매우 중요함. 여러말 안하겠음

못믿겠으면 일주일동안 새벽3시넘어서 자거나 밤새거나 해보시길..

피부는 충분한 휴식이 필요함. 나님 올빼미족이었고 게임을 즐기던 신여성이었음

특히 고전 PC게임하느라 날밤샌적 많았음... ㅋ

 

 

 

일단은 이정도로...

 

뭐? 다 아는건데 뭐이리 구질구질 조잘조잘 써놨냐고?

 

뭐를 하던 기초가 중요한거임.

기본이 제대로 되야 팩을 하던 성형을 하던 박피를 하는거임.

맨날 내가 얼굴에 손대고 뾰루지 나면 건드리고 화장안지우고 밤에 늦게자고 물도 안마셔봐

근데 박피해서 잠깐 좋아졌는데 저 습관을 유지했다면..?

 

나는 저습관들을 바꾸고

기초제품을 잘 찾아 사용했더니

이렇게 되었다는 이야기가 이 글의 주제인거임

 

나는 저 습관을 개선하는데 아주 힘들었음.

피부가 좋아지기까지 한 2년이 걸린거 같음 ㅎㅎ

모공은 줄지않는게 분명 정석임.

주름도 없어지는건 뻥이라는것도 정석임.

그렇지만 더이상 늘어나지 않게 하고 여러 노력들로 좁아보이게 할 수 잇음.

전 거칠거칠하기까지한데다가 모공안에 블랙헤드들이 많아서 더 더러워보였음..

 

그리고 나에게 맞는 화장품들을 찾는것도 힘들었음.

이제는 나에게 맞는 팩, 기초제품, 화장법 등등 여러가지를 알고있고

화장품 회사를 목표로 취업준비중임.

 

분명.. 날때부터 피부가 좋은 사람도 있음

그치만 나같이 여드름이 나서 모공이 커진 사람도 있고, 더 안좋은 사람도 분명 있을거임

 

나에게 맞는 화장품을 사용하고

잘못된 습관들만 고쳐도 예뻐질 수 있음.

그걸 말하고 싶었음.

그리고...

피부 안좋다고 놀리지 마세요. 그거 진짜 사람 마음에 큰 상처주는거임..

 

저는 피부 많이 좋아지고 화장도 더 잘하게 되고 간혹 피부좋아보인다는 말도 들음.(화장을 잘해서)

화장스킬까지 얘기해주고 싶지만 그건..극뽁스토리에서 더 오바되는 것이니께 여기서 글을 마치겠음

 

 

덧!!

기초 피부가 좋아야 화장도 더 예쁘게 됨..

 

 

둘다 내피부임!! 뿌잉!!!

 

혹시라도 더 궁금한 분들은 ..

추후 반응 봐서 ㅋㅋㅋ 집짓고 가겠음

 

 

 ---------------------------------------------

참고로!! 기름기 많은 음식들.. 나의 사랑 칙힌, 꼬기, 초콜릿 등등

불타는 집에 기름부어주는 격임 ㅋㅋ 단, 드시고 싶으면 채소도 무한섭취해주셔야함

쓰고나서 생각해보니 저 편식도 좀 했었음

 

그리고 스트레스도 좀 큼..

스트레스 받으면 저는 두피까지 뾰루지가 남..ㅋ

 

 

화장방법이나 뭐가 잘맞앗냐..이건 내가 알려드려도 참고사항일뿐!

그 외에 모공은 어떻게 가렸냐.. 스킨케어 방법이런게 궁금하신분들은

추후 반응보고 다시 끄적거릴게용

저 이제 공부하러가야함 ㅋㅋ뿅♡

 

 

보고 도움되었다!! 그럼 요아래 시뻘건 추천 꾹꾹-

추천수1,159
반대수74
베플|2011.11.24 22:58
이글보고 얼굴만지고있다가 손뗀사람 추천 우앜 ..첫베플 ㅠㅠㅠ집짓고가용
베플아이유동명...|2011.11.25 01:30
링크 클릭해서 콩 기부 부탁드려요! 뼈가 녹아버리는 희귀병.. 이제 14살밖에 안된 성훈이는 오늘도 고통의 비명을 지릅니다. 하나의 희귀병도 모자라 입 천장 살점이 떨어져 나가는 희귀병까지 앓고 있습니다. 성훈이는 학교에서 까지 아이들에게 구타를 당합니다.. 링크의 힘으로 성훈이의 수술비와 치료비를 만들 수 있습니다. 뼈가 녹아버리는 희귀병.. 이제 14살밖에 안된 성훈이는 오늘도 고통의 비명을 지릅니다. 하나의 희귀병도 모자라 입 천장 살점이 떨어져 나가는 희귀병까지 앓고 있습니다. 성훈이는 학교에서 아이들에게 구타까지 당합니다.. 수술비와 치료비가 없는 성훈이에게 용기를 주세요. http://happylog.naver.com/sarangbat/rdona/H000000057048 =--------------------------------------------------------------- 아 지금 그걸 여드름이라고 올린거에요? 저도 올해초만해도 이정도로 심했는데 다 없어졌는데...ㅠㅠ 여드름브레이커라니 정말 너무했다...제 피부가 더 슬프다ㅠㅠ저도 베플시켜주세요 올릴게요!! 지금 얼굴에 여드름 하나도 없음 헐 나 베플됐는데 기분이 참... 저거 진짜 너무아팠어요 저는 이상하게 볼에만나고 이마나 코에는 안남 제 닉네임 아이유동명이인 인데 왜 다안뜨지ㅋㅋㅋ 아무튼 글쓸꺼에요 봐주세요~~ 저거 피부과 사진아니고 저맞아요...ㅠㅠ3월 20일에 찍은사진임 --------------------------------------------------------- 베플이 혐오여서 많이 놀라셨죠!!ㅠㅠ .이 글 제목에 혐짤주의라고 써져있어서 다들 알고 들어오셨을거라 생각했었는데.... .미안해용 때리지는 말아주세요....☞☜. 여러분 제가 지금 시험기간이라 글을 바로 못써서 정말 죄송해요 지금 이 글이 톡된줄은 꿈에도 몰랐네요ㅠㅠ글쓴이님 축하드리구요! 제가 기말고사가 12월 21일에 끝납니다 꼭 크리스마스 전까지는 글 올리겠습니다 약속해요! 제가 핸드폰 요금이 없어서 문자 답장은 못해드려요ㅜㅜ 글올리면 여기에 링크걸테니 조금만 기다려주세요! 그리고 더럽다고 하시는분들...솔직히 저도 이때 사진보면 정말 어떻게 살았나 하는 생각이 들어요 맨날 주위에서 듣는 소리가 더럽다는 말이였어서^^;;; 그리고 지금도 흉터는 남아있답니다 없어진지 겨우 반년이 지났거든요ㅠ 근데 이렇게 많은 관심을 받다보니 나중에 글올리면 실망하시는 분들 계실까봐 좀 두렵기도 하네요... 저는 성공했지만 다른분들은 잘 안되시면 어쩌나 하고..... 그리고 정말 하고싶은 말이 있는데 여드름 많다고 너무 그사람 욕하고 그러지 마세요 저희가 보통 사람들보다 몇배는 더 씻고씻고 하는데도 나는걸 어떡해요... 스트레스가 장난 아니에요 하루에도 거울 한 천번은 넘게 보는거같음 (저는 짜지도 않았는데 흉터 생겼어요 이유는 모르겠어요ㅠㅠ) 피부 관리를 안한다구요? 저희가 피부에 대해서 훨씬 더 잘알껄요... 제가 막 나대고 활발한 성격인데 여드름때문에 대인기피증도 생겼었어요 저는 욕먹을거 각오하고 제사진 올렸지만 그래도 주위사람중에 저같은 사람있으면 그렇게 막말하지 말아주세요 보는사람도 혐오인데 얼굴 주인은 어떻겠어요...얼굴을 떼어버릴수도없고 여드름 심한, 아니 심했던 사람으로써 정말 진심으로 얘기하는거에요 다들 파이팅! 저 꼭 돌아올테니 기다려주세요~^^ --------------------------------------------------------------------------- http://pann.nate.com/talk/313955595 http://pann.nate.com/talk/313955595 http://pann.nate.com/talk/313955595 http://pann.nate.com/talk/313955595 http://pann.nate.com/talk/313955595 http://pann.nate.com/talk/313955595 글올렸어요! -----------------------------------------------------

이미지확대보기

베플ㅋㅋ|2011.11.24 22:59
내가 베플이 되면 ㅋㅋㅋㅋㅋ난 여드름 과정 없어지는거 사진까지 첨부해서 쫘르르다올리겟음 내가 이분보다 더 심함...ㅠㅠ 피부과 안가고 돈도 안들고 ㅋ여드름 없어진거 다 얘기해주겟음 나 별명이 여드름브레이커엿음ㅋ........여잔뎅....ㅎㅎ.. 헐 정말 베플이넹......요새 바빠서 ㅠㅠㅠㅠㅠㅠㅠㅠㅠ내일쯤에 쓰겟음!!ㅋㅋ....내 여드름브레이커 시절ㅋㅋㅋㅋㅋㅋㅋㅋㅋㅋㅋㅋ사진 ㅋㅋㅋㅋㅋㅋㅋㅋㅋㅋㅋㅋㅋㅋㅋㅋㅋㅋㅋㅋㅋㅋㅋㅋㅋㅋㅋㅋㅋㅋㅋㅋㅋㅋㅋ올려줌 ㅋ...........ㅋㅋㅋㅋㅋ아좀 창피한데 내 여드름만올림ㅋㅋㅋㅋㅋㅋ이게 몇개월전ㅋ 그 후사진도 올리겟슴!!! 흐..사실 이것보다 더 나빳는데 사진에서 좋게나옴ㅋㅋㅋㅋㅋㅋㅋㅋㅋ보정한거임ㅋㅋㅋㅋㅋㅋㅋㅋㅋㅋㅋㅋㅋㅋㅋㅋ보정햇는데 ㅋㅋㅋㅋㅋㅋㅋㅋㅋㅋ이정도 나옴ㅋ...키키ㅣ...ㅋㅋㅋ키 ㅋㅋㅋㅋㅋㅋㅋㅋㅋㅋㅋㅋㅋㅋㅋㅋㅋ이게 그 후사진!! 잉?ㅋㅋㅋㅋㅋㅋㅋㅋㅋ사진이 1장 밖에 안되네.......이거 사진 또 어케 올림?2장 안올라짐....ㅠㅠㅠㅠㅠㅠㅠ그후사진이 안올려져!! http://pann.nate.com/talk/313624644 http://pann.nate.com/talk/313624644 http://pann.nate.com/talk/313624644 http://pann.nate.com/talk/313624644 올렸어요~~~~~보러 오세요 아오 창피해 ㅠㅠㅠㅠㅠ

이미지확대보기

공감많은 뉴스 시사

더보기

뉴스 플러스