본문 바로가기
책갈피

제 치아좀 봐주세요(사진주의)

아스트레스 |2021.01.03 06:06
조회 2,728 |추천 2

망설이다 글을 씁니다.

재교정을 하고자, 지역의 유명한 치과에서 2018년 겨울에 교정을 시작해서

어느새 2021년이 됐네요.


재교정이고 앞니 약간 넣고, 아랫니 전체를 약간 앞으로 빼는 느낌으로 발치 없이 진행하는 교정이라 1년 정도면 끝날 줄 알았는데 지금 2년이 넘어가면서 많이 초조합니다. 

제가 아무래도 이전에 5년간 교정을 한 경험이 있다보니 시간과 돈을 또 들여 교정하는 만큼

제 치아의 미세한 틀어짐도 다 체크하고 확인하고, 아무래도 까다로운 시각으로 담당 선생님의 진료를 바라보고 있는데요

제가 예민한 것인지에 대해 여쭙고 싶어 글을 쓰게 되었습니다.


전공의이시거나, 교정에 일가견이 있으신 분들의 댓글 꼭좀 부탁 드립니다.

아래 사진은 제가 2018년 재교정을 하기 전 찍은 사진입니다.


 

앞에서 볼 때 윗니 아랫니 수평 수직배열이 무난히 맞으나 

옆에서 보면 윗니는 튀어나오고 아랫니는 안쪽으로 누워 있어서

누운 치아를 펴고 윗니는 넣고 아랫니 전체를 앞으로 끌어내는 진료를 시작했습니다. 



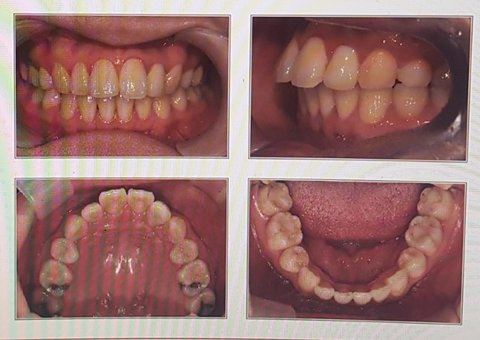
아래는 2021년에 찍은 제 치아 사진입니다.

  

 

 

 

 

윗니와 아랫니 모두 수평이며 수직이며 대칭이며 무엇도 맞지 않습니다.

제기준 왼쪽 아랫니 블랙트라이앵글 부분은 6달 전부터 내원 할때마다 처리해달라고 한 부분인데

이리저리 이동시키시더니 3일전 내원했을 때 `처리 못해주겠다, 불가능하다`는 식으로 말씀하시더군요. 말씀만 그리 하시고 다시 또 뭔가 조절은 해주셨는데

스펙은 좋으신 원장님입니다. 경력도 많으시고 프로페셔널한 부분도 있으십니다. 

그렇지만 제가 느끼기에는 내원해서 제가 원장님을 마주 보는 그 순간까지 저에 대한 전체 진행 상황에 대한 이해 없이 오셔서 그냥 그 순간 본대로, 또 치위생사로부터 전해들은 직전 진료만 참고하셔서 진료하시는 것 같았습니다.

자꾸 이전에 무엇을 했는지, 지속적으로 무슨 요청을 했는지 기억을 못하신다거나

6개월간 제자리에서 왔다갔다만하다 

검게 뚫려버린 블랙트라이앵글이 제가 그렇게 느낀 이유입니다.(블랙트라이앵글은 치아사이 검은 공간을 뜻합니다)


여기에 들어간 돈보다도 시간이 더 아깝습니다. 교정이야 원래 천천히 하는 게 좋지만 그것을 감안하고서라도 불필요한 치아 이동을 너무 많이 해서

잇몸도 자꾸 소진되고, 치아 뿌리가 길게 보여질까봐 걱정도 됩니다.



지금 원장님도 정말 명예 있으시고 유명하신 분이지만, 또 내원객이 많아서 바쁘시겠지만 

개인의 진료 진행 전반에 대한 이해를 가지고 조금만더 조심스럽게 접근해주시고, 불만 사항에 좀더 적극적으로 바로 처리해주셨으면 얼마나 좋았을까하는 마음이 들고, 

초기부터 제가 아니다 싶었을 때 적극적으로 불만을 표시하고 치과에서의 좀더 성의있는 대처를 얻어낼 것을 하는 후회를 합니다.(제가 이 지지부진한 상황에 대한 불만을 전달하기 시작한 것은 몇 달 되지 않은 것 같습니다.)



덧붙여, 앞에서 찍은 사진은 저렇지만

안쪽에서 위아래로 보면 뾰족하던 부분은 많이 둥글어지고 위치도 조금더 안정되었습니다.



일단 이 상황에 대해 이렇게 반응하는 제가 보통보다 예민한 것인지

보시기에 어떤지

제가 어떻게 해야 할지 조언 좀 부탁드립니다.



자주 내원하지도 않는데 한번 갔다와서 나아진 게 없고

이게 나아지면 저걸 건드려 저걸 또 고쳐야 하고

저걸 고치면 다시 원래의 것이 틀어지는 이 상황에

시간적으로 얼마나 더 길어질지 상당한 스트레스를 받고 있는데

제가 배경 지식이 많지 않고 대표원장님께 제 얘기 들으시라고

자꾸 시간 뺏을 수도 없어 답답합니다.

각도기나 줄자 없이, 치아 번호도 잘 모르겠고, 의자에 앉으면 눕고 나서 원장님 오시고

이 치아 저 치아를 놓고 이만큼의 각도라든가, 이만큼의 높이라든가 조절을 요청할 때

충분히 피력할 수가 없어서도 

답답하네요. 또 이 모양으로 4주 후에 내원합니다.



여러 명 앞에서 입을 사용하는 직업이고, 외모나 차림새에 신경을 써야 하는 일을 하고 있는지라 큰맘 먹고 재교정을 시작했고 그동안 불편을 감수하며 일해 왔는데 속상하네요.

발치 없이 저 상태에서 시작한 재교정을 

21년도까지 하게 될 줄 몰랐습니다..


사진 보면 그냥저냥 별로 안이상한데? 나름 괜찮은데? 싶으신가요?

아니면 저게 뭐야...2년간 교정한 결과물 맞아? 싶으신가요?


제 일이라 객관화가 잘안되네요.ㅜㅜ

글 읽어주셔서 감사합니다.


 

 

 

 

 

추천수2
반대수2

공감많은 뉴스 시사

더보기

뉴스 플러스